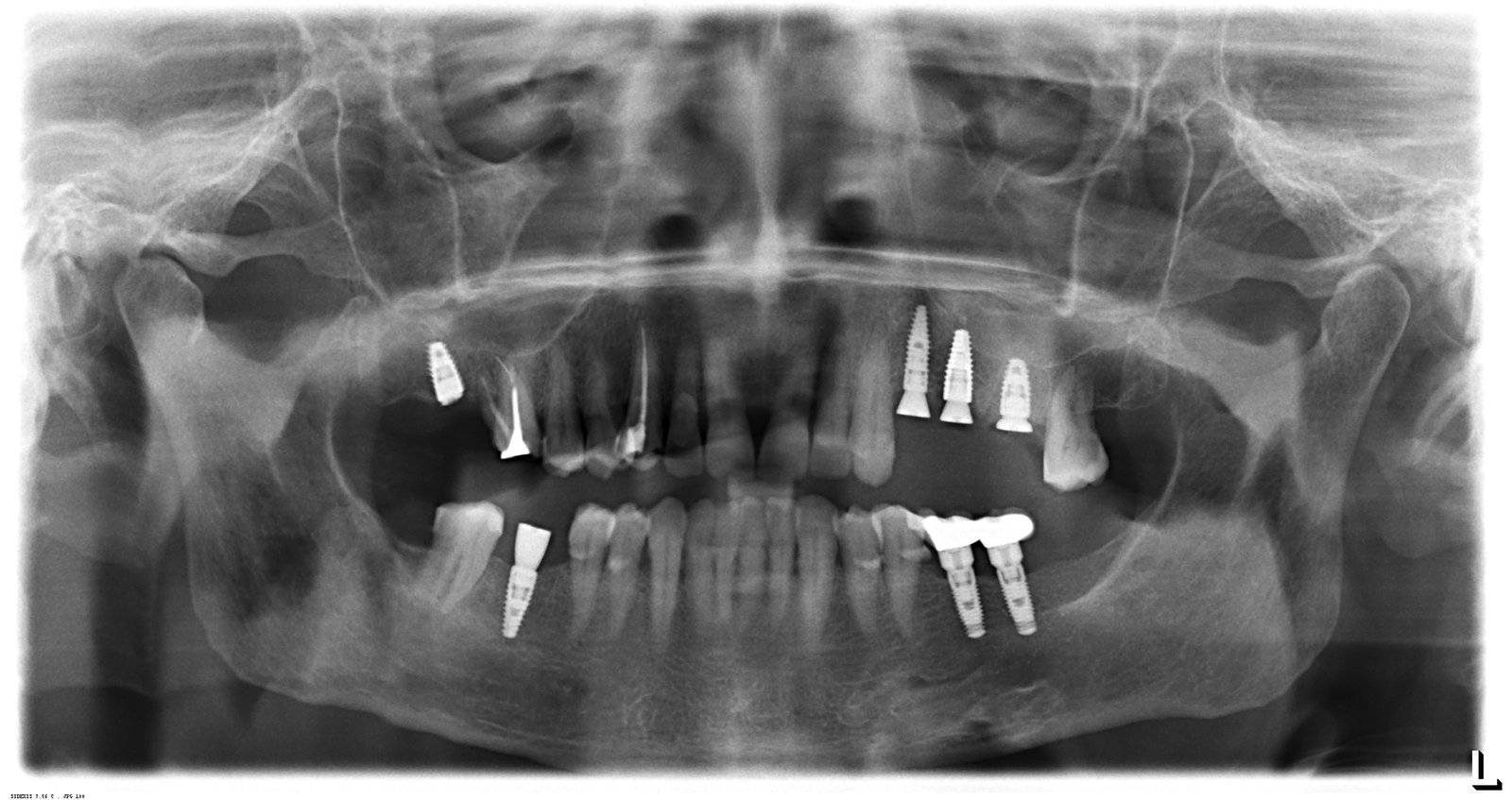
Implantes en 41, 46 y 47
Implantes en pieza 41, 46 y 47, dos son de hexágono externo y uno de conexión interna. Todos ellos el tornillo interior es de métrica 2. Deben de tener al [...]
Implantes en pieza 41, 46 y 47, dos son de hexágono externo y uno de conexión interna. Todos ellos el tornillo interior es de métrica 2. Deben de tener al [...]
Acude el paciente con prótesis realizadas tipo all on4 de la clínica I-DENTAL. Tenemos que realizar las prótesis nuevas por fractura, necesitamos saber qué implantes son y la marca para [...]
TENGO UNA PACIENTE CON UN IMPLANTE DE HACE AÑOS, QUE ES DE OTRA CONSULTA. NO PUEDE CONSEGUIR DE NINGUNA MANERA EL TIPO DE IMPLANTE QUE LLEVA. NECESITO SABER QUE TIPO [...]
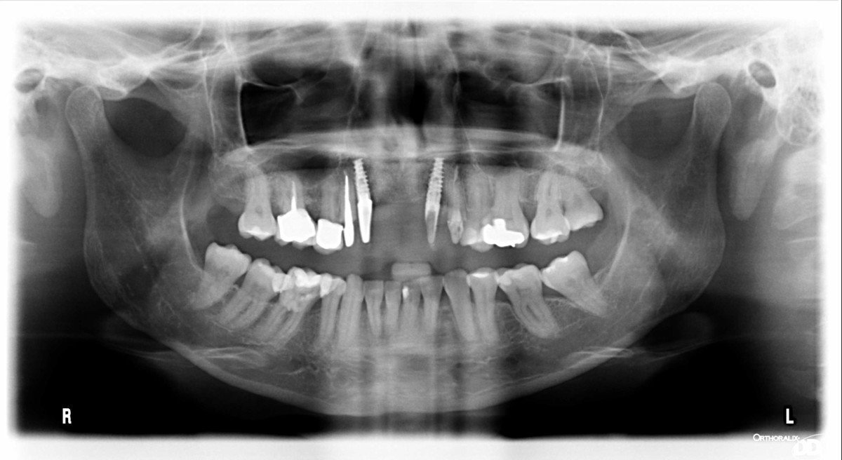
Estimados colegas, paciente llega refiriendo ligera rotación de 45, no sé qué implantes son porque no fueron colocados aquí y agradecería si alguien me puede dar una idea de cuáles [...]
Saludos estimados colegas, les comparto este caso para que me puedan ayudar a resolver una incertidumbre de la marca de estos implantes. Paciente femenina que acude a nuestra consulta [...]
Hola 🙂 La paciente acude a consulta porque se le mueve La Corona cementada sobre el implante (conexión externa). Le pusieron ese implante hace 20 años, hay que cambiar La [...]
Necesitamos identificar el implante en 34 porque es necesario cambiar la corona. La paciente lleva otros 14 implantes repartidos entre arcada superior e inferior, que le colocaron hace unos 15 [...]
Hola a todos!escribo porque me ha llegado un caso a mi consulta con Protesis cementada que tenemos que repetir y sabemos que son unos implantes monobloque pero no sabemos que [...]