implante en posición 33 y 43 mandibular
Es uno de 2 implantes colocados en mentón para una sobredentadura inferior hace unos 2 años...
Coronas cementadas sobre implante colocado en murcia hace 8 años
Hola compañeros, me ha llegado este paciente con dos coronas cementadas sobre implante, además con la cerámica completamente reventada. Quiere cambiarse la prótesis pero su antiguo dentista ya no está [...]
Implante #35
Buenos días, me gustaría confirmar si el implante que os presento es un Phibo TSA RP y, si no es así, qué implante debe ser. se colocó hace más de [...]
Hola! Quería saber tipo de implante para rehabilitarlo. Gracias
El paciente viene con el implante enterrado. Y quiere rehabilitarselo
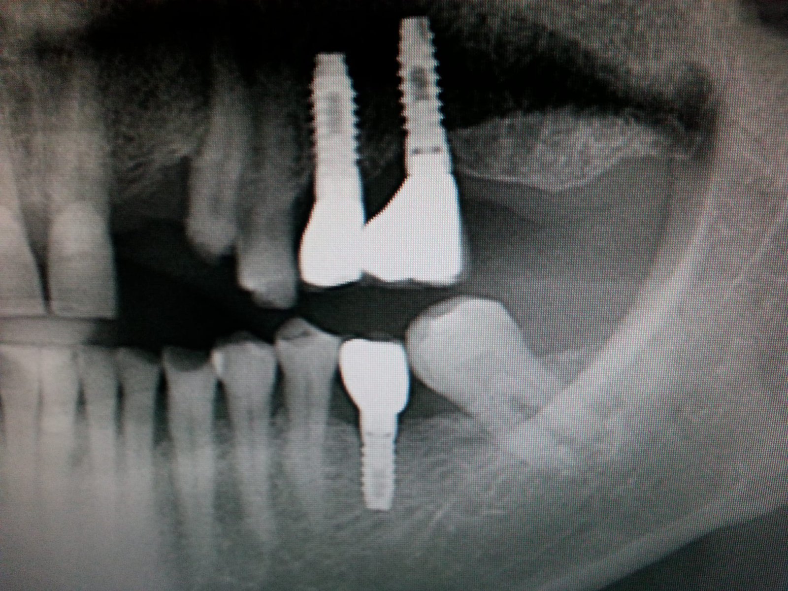
qué implantes son #46, #47, #41 y #31???
Paciente acude a clínica con implantes inferiores sin cargar. Conocemos el tipo de implante que está en posición de #33 y #43 , los otros implantes ( #46, #47, #41 [...]
Implantes superiores
Buenos días, quería saber la marca de los implantes superiores. Gracias.
IMPLANTE 2.6 TORNILLO ROTO
El paciente acude con corona con movilidad. Era una corona cemento-atornillada. Al levantar la corona vemos que la cabeza del tornillo estaba rota. ¿Qué implante puede ser?. He probado con [...]
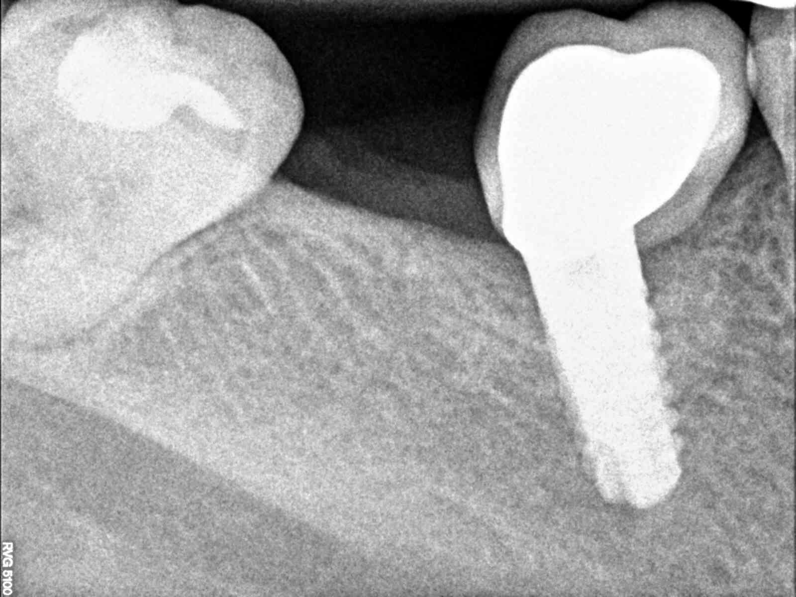
implante desconocido
Hola. Daros las gracias por esta web, me estreno en ella y espero que nos veamos en más ocasiones. Les mando la periapical de un implante que me ha llegado [...]









