Que implante es?
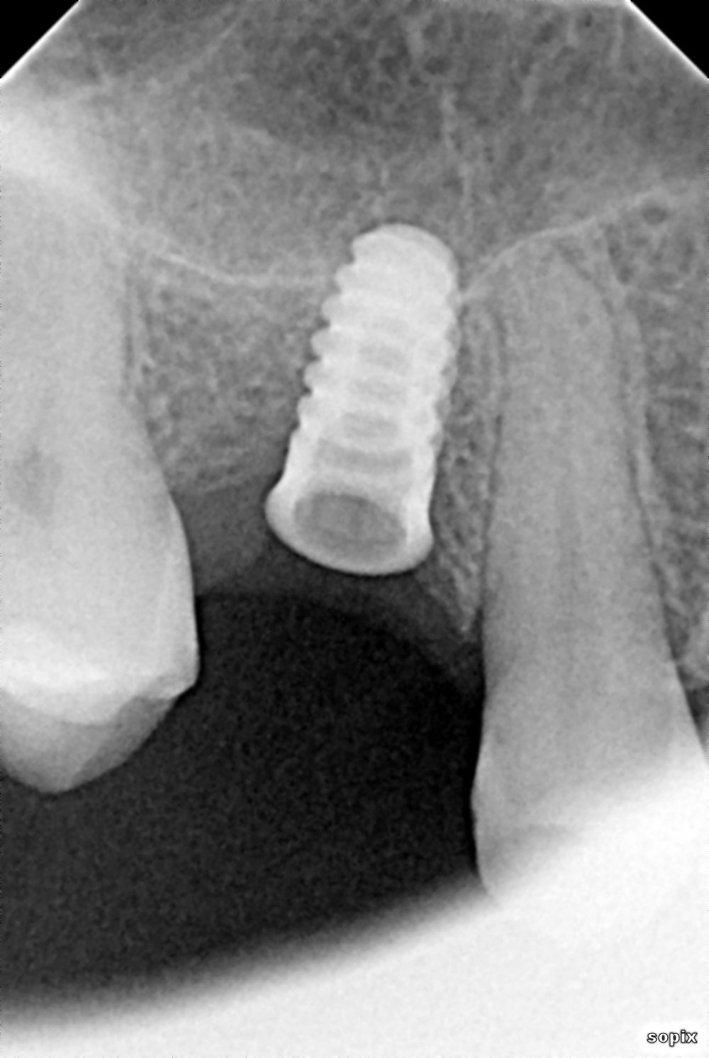
La paciente acude a consulta para rehabilitar el implante de la rx periapical. Es de conexión externa a hexágono. Creo que se puso en un FunnyDent. ¿Alguien podría reconocerlo o [...]
La paciente acude a consulta para rehabilitar el implante de la rx periapical. Es de conexión externa a hexágono. Creo que se puso en un FunnyDent. ¿Alguien podría reconocerlo o [...]
Buenas tardes Necesito saber si reconocen el implante de la radiografía. Fue colocado hace años en una clínica Dental Line en Bilbao, calle Zabalbide que ya no existe. En caso [...]
Tiene flojos los implantes superiores derechos colocados hace más de 20 años
Paciente acude tras la colocación de un implante postextración hace mas de un año en una clínica a la cual no quiere volver por referir una mala experiencia. Tras la [...]
Buenos días. Quería rehabilitar el implante del 2.6. Colocado en dentalis hace 12 años. Me podéis decir cuál es? Gracias.
Impalnte en pieza 24 (con corona puesta en la radiografía y foto de conexion). Tendrá como 20-30 años
Me gustaría saber qué implantes son los que vemos en posición de 36 y 46. La paciente se los colocó en otra clínica y solicita su rehabilitación. Muchas gracias
Implante colocado por médico brasileiro em Portugal.