Implante de conexión interna no identificado
Buenos días. Me llegó a la consulta un Live te con un ioi de conexión interna colocado en MADRID hará unos 3 años. Nunca se llegó a poner la corono [...]
Buenos días. Me llegó a la consulta un Live te con un ioi de conexión interna colocado en MADRID hará unos 3 años. Nunca se llegó a poner la corono [...]
Queremos rehabilitar este implante pero desconozco marca, conexion y diametro. Alguna ayuda? Muchas gracias de antemano
Es una conexión interna
Implante 25 desconocido. Me han confirmado de las propias casas comerciales ASTRA y AVINENT que no es un implante de los suyos. Si resultase difícil la identificación, probaré a perforar [...]
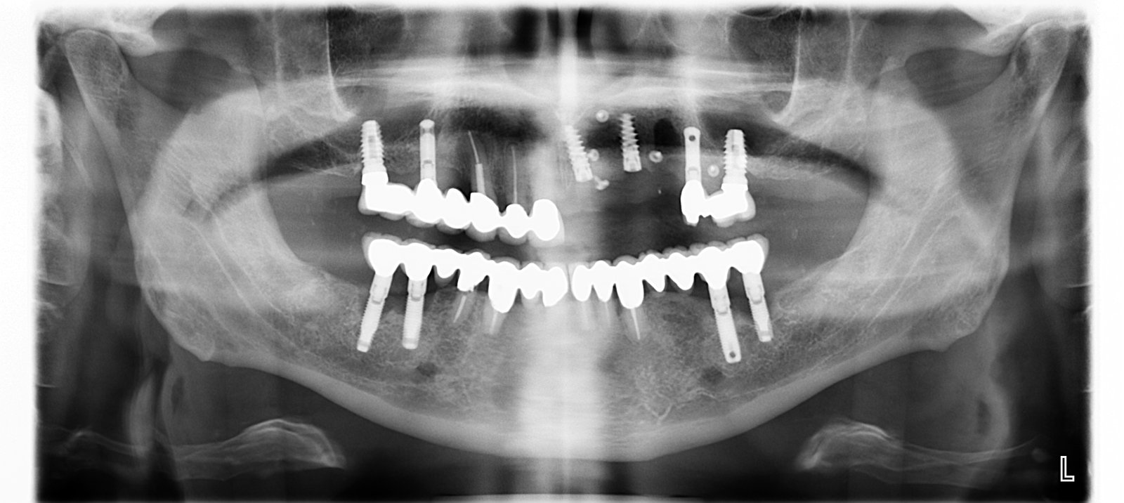
hola buenos dias, necesitamos saber que ¡implante es el 31 .
hola buenos dias, necesito saber los implantes 35 y 36 cuales son.
Queridos compañeros, me llega este caso de una persona muy especial y amiga de Barcelona. No manejo más información pero la panorámica es excelente. Gracias
Buenas tardes compañeros, Paciente que acude a la clínica con movilidad sobre corona cementada sobre implante 27. Tras hacer la ventana de acceso consigo llegar al tornillo del pilar que [...]
Buenas compañeros: IOI colocado en Madrid en Febrero de este año. La clínica ha cerrado sin dar señales de vida. Me han chivado que podría ser un BIO Horizon de [...]