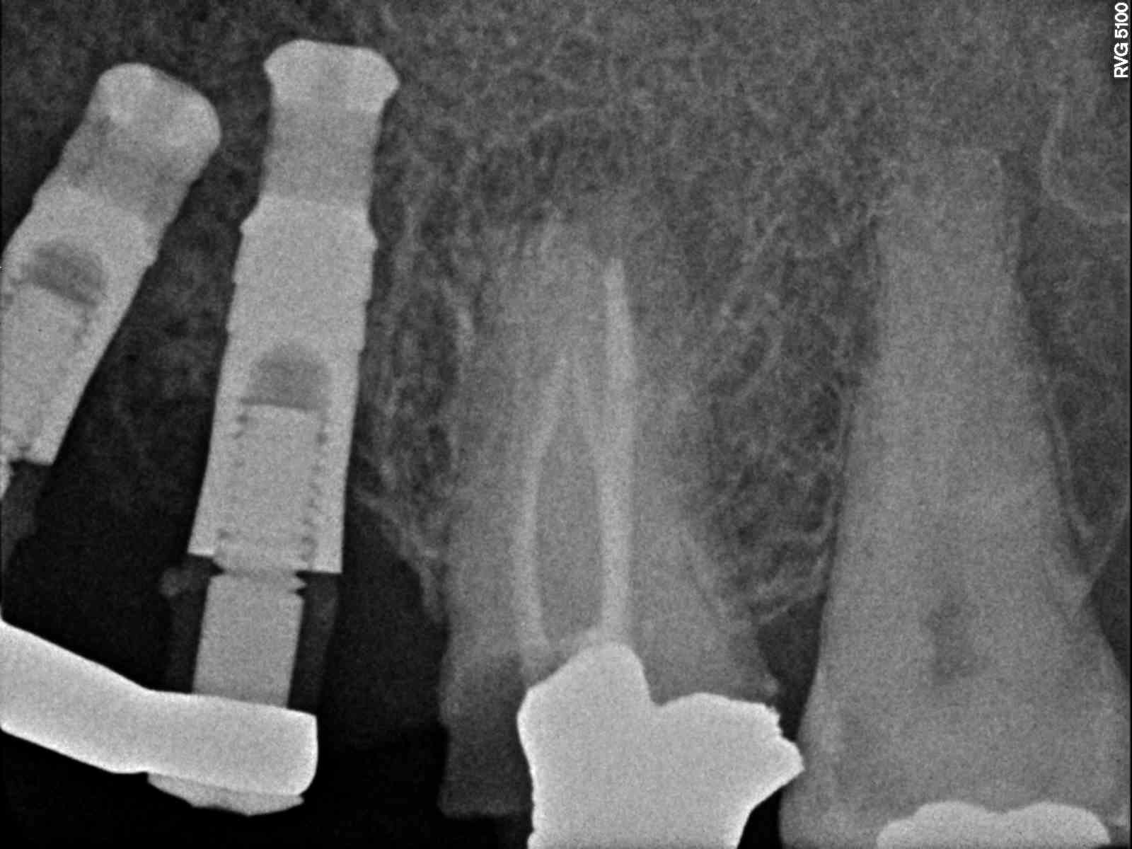
El implante del 35 no se cual;el 34 es Microdent
Las coronas son cemento atornilladas. Vamos a cambiar el diseño de la prótesis. me gustaría saber marca y medida de implante para pedir transferís de impresión del 35 .
Las coronas son cemento atornilladas. Vamos a cambiar el diseño de la prótesis. me gustaría saber marca y medida de implante para pedir transferís de impresión del 35 .
Implante colocado en sagun, Cordoba colombia hace 10 años, no es IMETI, el destornillador fue compatible con bh.
Hola chicos, podríais ayudarme a saber que marca es este implante, la paciente quiere cambiar la estetica de la protesis. se lo hicieron como en 2008, despues se hizo la [...]
Buenos días apreciadxs compañerxs! El otro día acudió a la consulta una paciente, indicando que hacía 3 años que llevaba los implantes en boca. No tiene pasaporte, y la clínica [...]
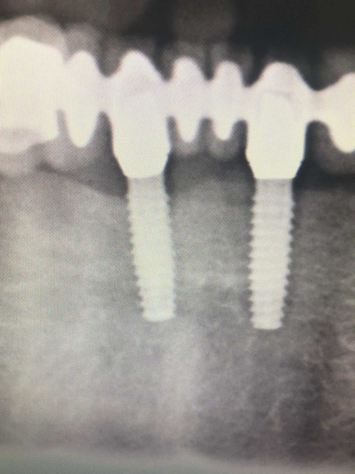
El 13 es compatible con Sweden & Martina Outlink 3,3. Los otros he probado distintos transfers y no consigo que adapten. Tiene prótesis fijas sobre ioi cementadas y necesito levantarlas [...]
Buenas tardes! Tengo que explantar los implantes de 37, 15 y 16. No sé qué implantes son ni qué método sería mejor para la realizarla. Muchas gracias por vuestra ayuda!
La paciente lleva más de 15 años con la rehabilitación superior en boca. Hace un mes perdió el implante de la pieza 17 y desde entonces tiene movilidad en la [...]
Hola, necesito saber qué marca son los tres implantes de este paciente. En uno el tapón pone un cuatro como marca la foto y en el inferior un cinco. Gracias [...]
Buenas tardes. Muchas gracias por esta iniciativa, varios compañeros me lo habían comentado y aquí os presento mi caso. Se trata de un implante antiguo que presenta una paciente. Necesito [...]