Duda implantes
Quiero cambiar pilares locators y teflones de ambos implantes, pero desconozco la marca. Podrían ayudarme? Gracias de antemano.
Quiero cambiar pilares locators y teflones de ambos implantes, pero desconozco la marca. Podrían ayudarme? Gracias de antemano.
paciente viene con implante en posición 3.6, tiene años de colocado. Quiere rehabilitarlo y no sabe que implante es. envío Rx periapical haber si me podéis ayudar ? Gracias
Buenos dias, me podriais decir de que marca son estos implantes? muchaa graciad..
Implantes colocados en posiciones #12 y #22 hace mas de 20 años. Envio foto de hexagono y plataformas y periapicales. Una de ellas es el implante con un aditamento de [...]
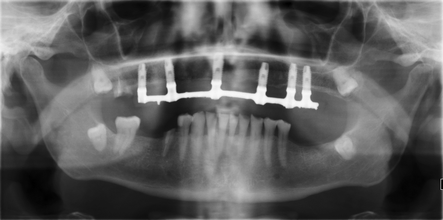
Buenos días, Adjunto enviamos RX panorámica y serie periapical superiores para identificar implantes en híbrida superior. Estamos especialmente interesados por la métrica del destornillador, porque tenemos que atornillar la misma [...]
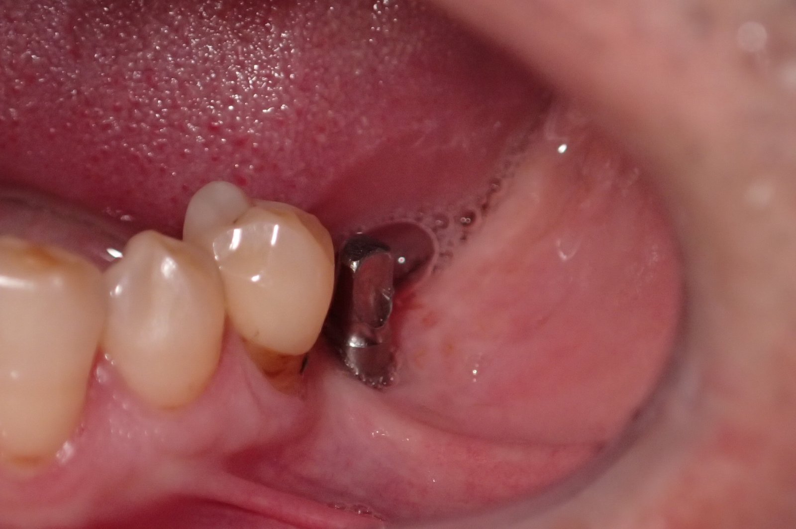
hay que repetir corona sobre implante del 24, se lo puso en otra clinica hace más de 15 años. No se qué implante es
Tem cerca de 20 anos. Alguem sabe que implante e pilar sao estes?
Hola buenos días,cuelgo este caso para ver si me podéis ayudar a saber de qué implantes de trata. El plan de tratamiento es sobredentaduta pero desconocemos que implantes son al [...]
Buenas tardes, me llega para rehabilitar este implante y la señora viene de idental, el pilar se lo han puesto en otra clínica, gracias de antemano. Saludos.