implante en piezas 46
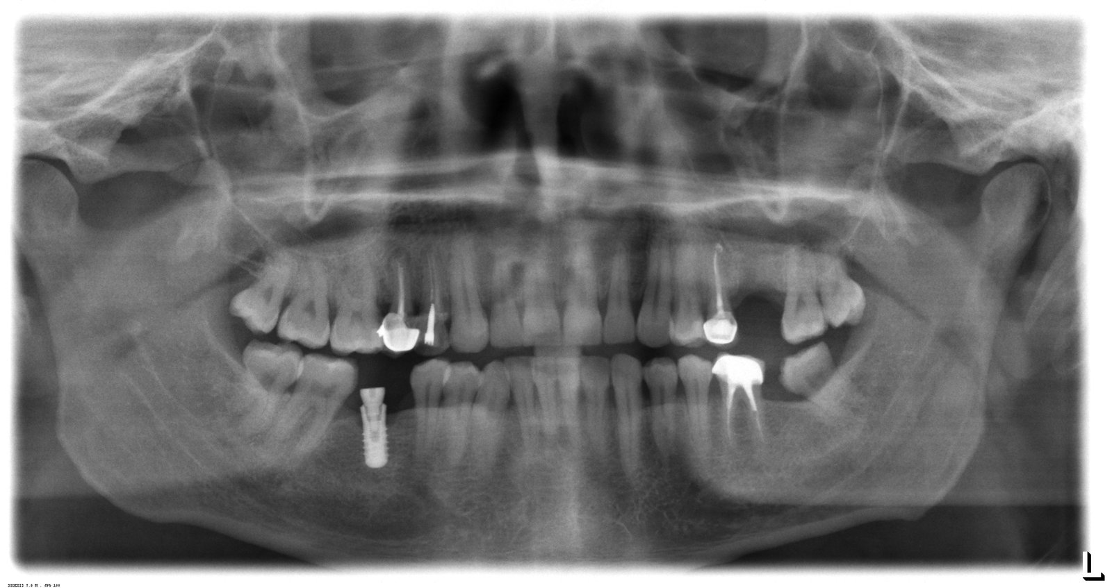
buenos dias, querria ver si podeis ayudarme a saber que marca de implante es la de la pieza 46. gracias
buenos dias, querria ver si podeis ayudarme a saber que marca de implante es la de la pieza 46. gracias
Hola, buenas tardes. Me ha llegado un caso para cambio de prótesis metal-porcelana atornillada y parcialmente cementada. Aparentemente los implantes son Tissue level de Straumann con pilares angulados y un [...]
Saludos compañeros, adjunto foto de implante puesto en I dental en espera de rehabilitación. Hubiera apostado por que esra una conexion externa universal, pero los aditamentos que tengo para otros [...]
Buenas tardes, solicito ayuda para identificar el implante del 26, puesto en Idental hace 3 años, es un hexágono externo pero no es el branemark de 5.0 Gracias
Hola compañeros, El paciente es un hombre de 70 años. Se le colocaron estos implantes en Francia hace unos 10 años aproximadamente. En las fotos vemos el implante mesial con [...]
Hola, me ha venido para restaurar el 23. Es un implante tipo bone level pero no puedo quitar el tapón de cicatrización. No me vale el destornillador de 1.2 ni [...]
sabeis qué tipo de implante es? muchas gracias!