NECESITO SABER QUE IMPLANTES LLEVA.
se necesita rehacer la barra que lleva esos implantes. Lo que se observa desadaptado, es que la prótesis se confecciono con una entrada redonda, y asienta "sobre el hexágono externo" [...]
se necesita rehacer la barra que lleva esos implantes. Lo que se observa desadaptado, es que la prótesis se confecciono con una entrada redonda, y asienta "sobre el hexágono externo" [...]
Buenos dias , ¿Alguna idea de la marca de implantes superiores o conexion compatible? Muchisimas gracias de antemano, Un saludo, Rocio
Buenas tardes compañeros. Nos envían este caso de los compañeros de LUSOBIONIC ESPAÑA a ver si les podemos echar un cable y averiguar qué implantes son. Gracias!
Buenas tardes, Necesitamos averiguar la marca del Implante en 46. Según nos dice el Paciente se lo puso en 2017. Muchas gracias. Un saludo.
son de conexión externa pero desconozco qué marca y con qué serían compatibles para tomar medidas y hacer protesis
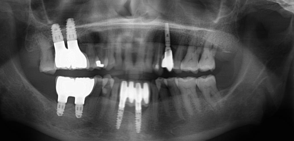
Implantes de conexión externa cuya marca desconozco. Necesito los superiores para terminar de rehabilitar el caso. Muchas gracias
Paciente viene a la consulta para cambio de coronas y no sabe que implantes le colocaron. Ayudenme a identificarlos. Gracias.😊
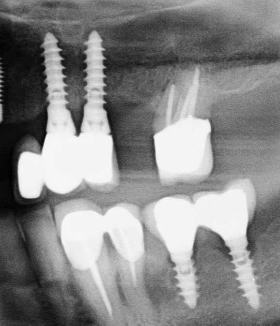
Son implantes de conexión externa, y necesito saber qué tipo de pilares corresponde a estos implantes, gracias
Paciente Venezolano que tiene temporales y aun no ha ido a la consulta para iniciar tratamiento.