implantes 1 cuadrante
Estimados compañeros me podeis ayudar con la marca de implantes del 1 cuadrante? ,os adjunto una periapical y una imagen obtenida de la pano, 1 saludo y muchas gracias
Estimados compañeros me podeis ayudar con la marca de implantes del 1 cuadrante? ,os adjunto una periapical y una imagen obtenida de la pano, 1 saludo y muchas gracias
Buenas tardes compañeros!podríais ayudarme con la marca de estos dos IOI?! Gracias!!
Buenos días compañeros, me gustaría saber que implante es. Un abrazo a todos y gracias.
Buenos días: Tengo una paciente que necesito rehabilitar pero desconoce marca del implante y medidas.A la paciente le suena que pueden ser marca Straumann Podéis ayudarme a saber marca y [...]
La paciente se realizó el implante en Francia hace 20 años y quiere cambiar La Corona. ¿Sabéis que marca es y diámetro? Y ¿ donde puedo conseguir transfer?. Gracias
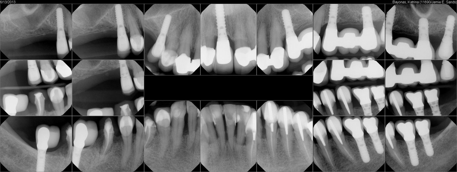
Buenas, esta paciente acude a nuestra consulta porque quiere rehabilitarse los implantes del primer y cuarto cuadrante. Viene desde Idental, porque las coronas que le colocaron (provisionales de resina) se [...]
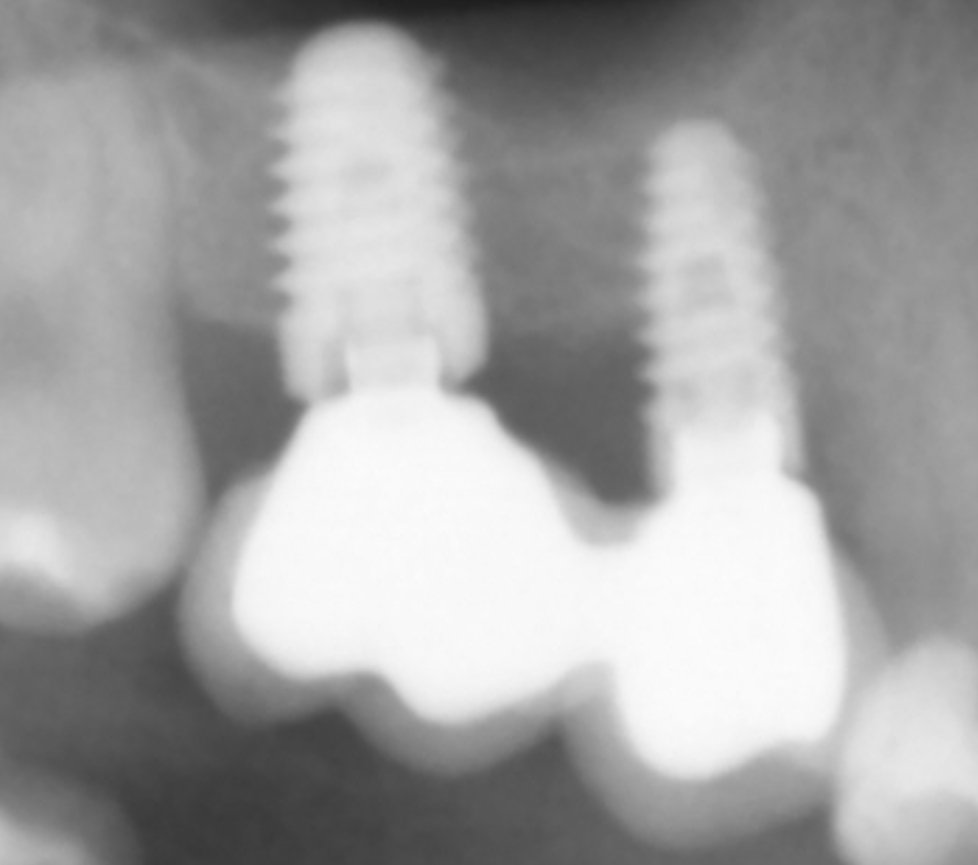
Necesito saber el tipo de implante que tiene este paciente en piezas 26,27
Hola, es un implante monobloque, que se ha colocado hacer 15 años, no es imbiodent. Alguien que sepa de qué casa comercial es?? Muchas gracias
buenas tardes. tengo este caso y necesito saber los aditamentos posibles compatibles. podrían echarme una mano? adjunto foto de la pegatina,pano y periapical un saludo y gracias