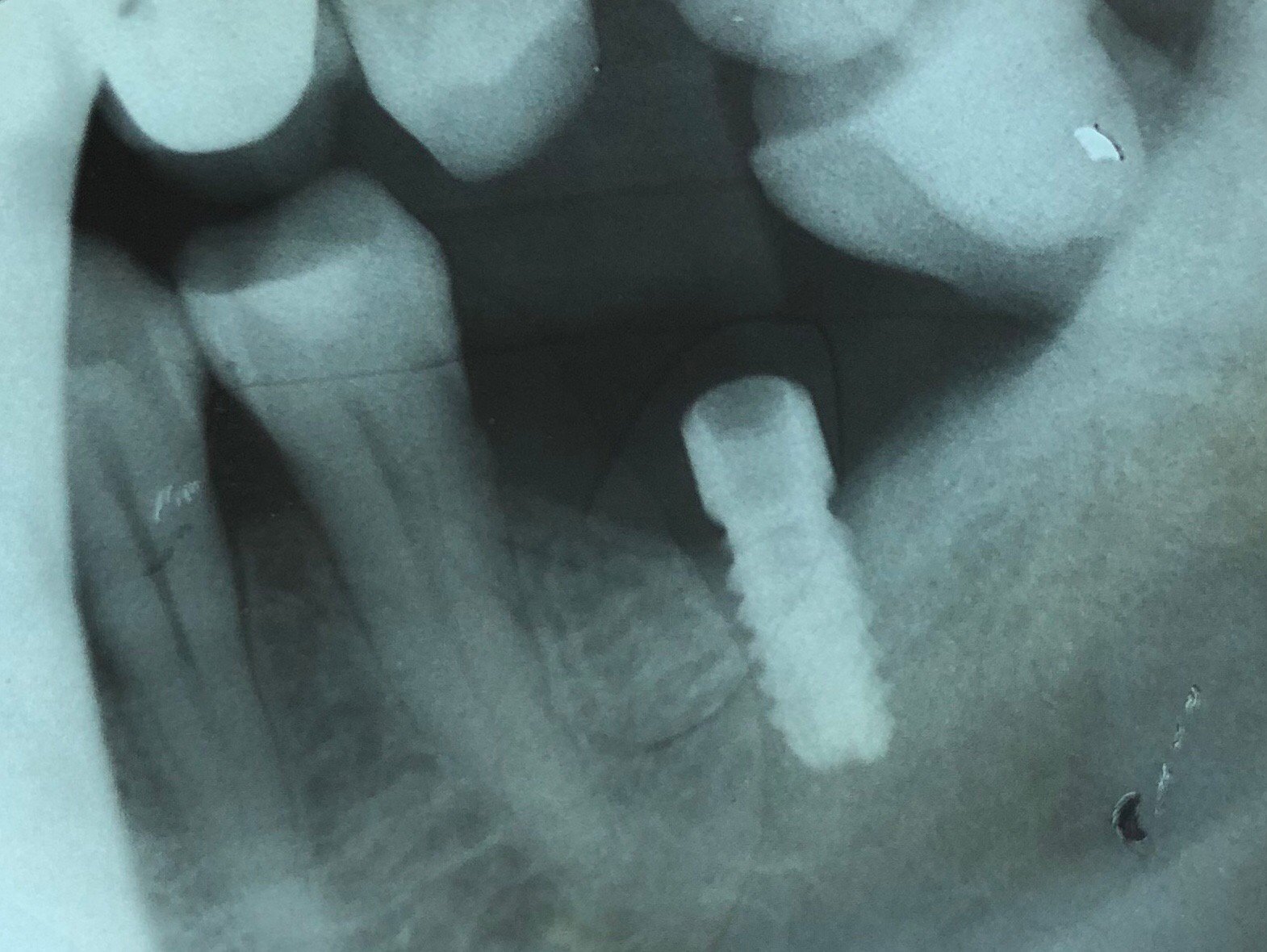
¿Podrían ayudarme a identificar el implante de la 36 ( mas mesial)?
Buenas tardes! Paciente que viene con corona floja, era cementada y um compañero intentando apretar el tornillo del pilar ( que se había aflojado) fresó la cabeza del tornillo. Necesito [...]








