Implante Idental
Buenas, Me gustaría que me ayudarais a identificar que implantes son los de cuarto cuadrante. Un comercial de Neodent me ha descartado que sea de esa marca. Si sabéis con [...]
Buenas, Me gustaría que me ayudarais a identificar que implantes son los de cuarto cuadrante. Un comercial de Neodent me ha descartado que sea de esa marca. Si sabéis con [...]
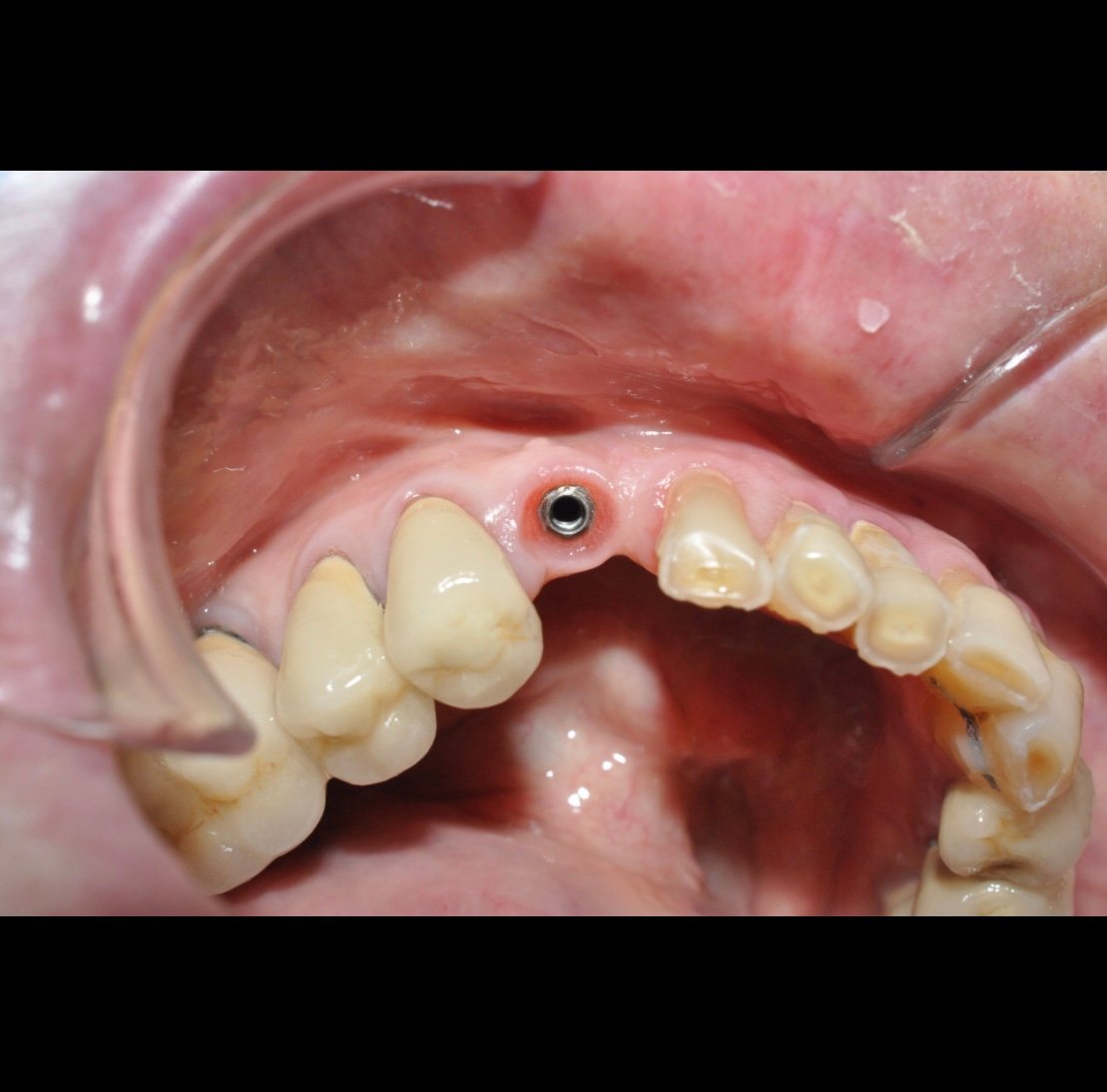
Paciente se presenta a mi consulta con un implante en posición de 2.4 el cual fue colocado hace 7 años y nunca se rehabilitó.
Hola, a las este paciente se le afloja la corona y no conseguimos dar con el destornillador apretarlo. Hemos intentado con un destornillador klockner pero no hemos podido. Os adjunto [...]
Me gustaría saber la marca, modelo y medidas de un implante número 15, que fue colocado en Francia.
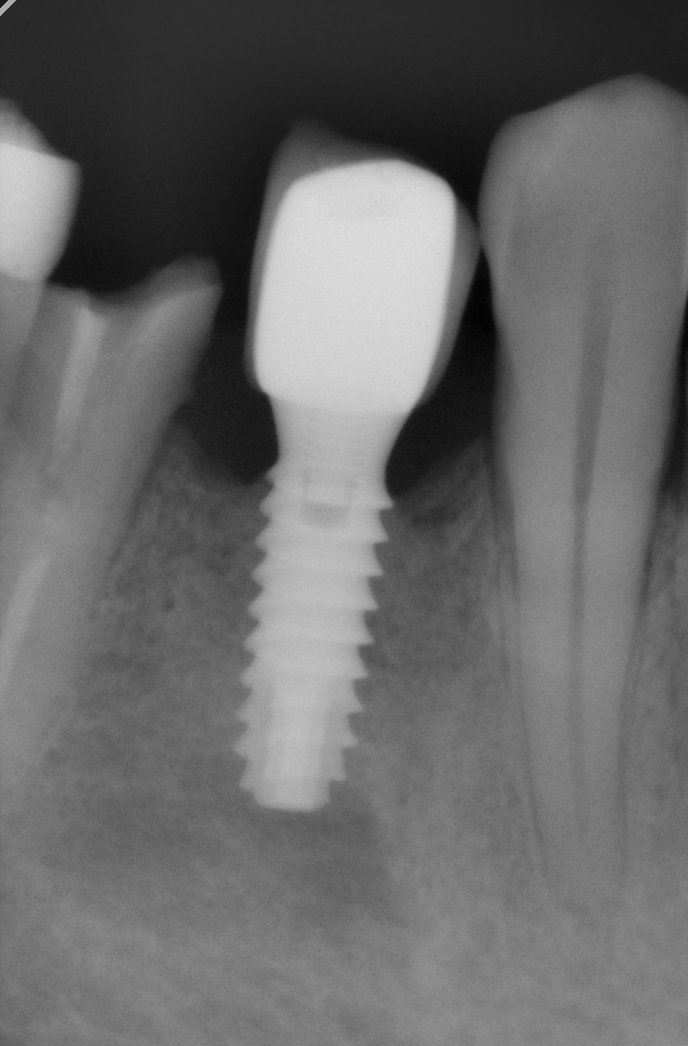
Buenas tardes, Necesitamos averiguar la marca de Implante de la pieza 44. Sabemos que es una corona atornillada. Muchas gracias.
Muy buenas compañeros, necesito ayuda para averiguar que implante es en la posición 33. El ioi se colocó en iDENTAL y está integrado. Presenta una conexión hexagonal externa. El paciente [...]
Buenas compañeros, me podríais resolver esta duda? creo que es un implante de osteoplus , y dentro de este dudo entre un iridium y un argentum, el apice me decanto [...]
La paciente lleva un implante de hace 10 años de una clínica de Madrid que ya no existe, la paciente no ha podido a acceder a su historial y tiene [...]
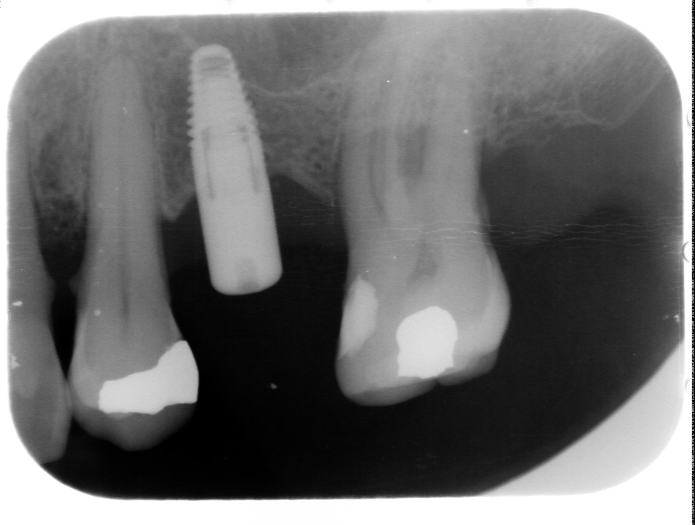
Buenos días otra vez. Tengo a este paciente que tiene el implante colocado hace un monton de tiempo pero por miedo y porque es un descuidado no se ha cargado [...]