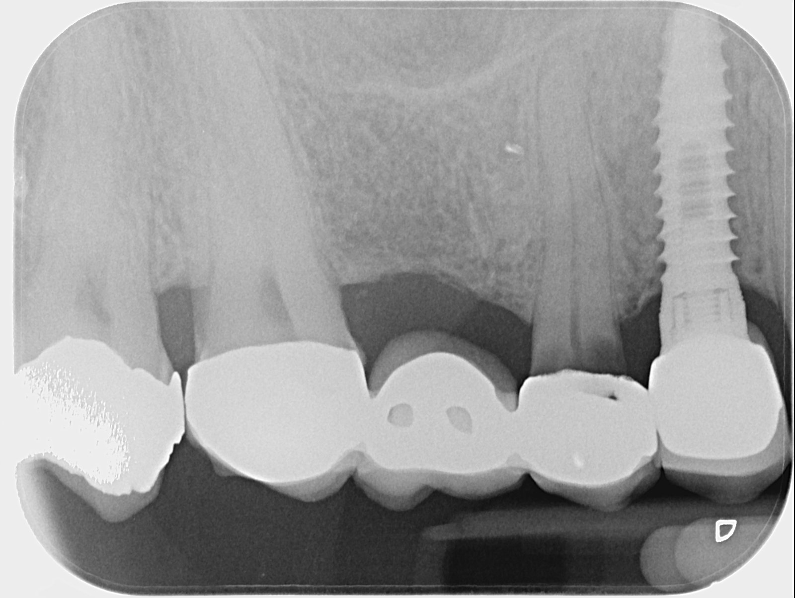
No sé qué tipo de transepitelial es el de este implante
Necesito conocer el transepitelial que está atornillado a este implante. Un saludo.
Necesito conocer el transepitelial que está atornillado a este implante. Un saludo.
IOI 41 colocado en España (Zona Levante)hace unos 3 años. La métrica del destornillador es 1.2 hexagonal ¿Alguien canta bingo?
Paciente lleva 15 años aprox con este implante en boca de Conexión interna hexagonal. Plataforma de aprox 4.2 mm. Pude desenroscar el tornillo con una llave “L” de 2.5 mm. [...]
Buenas tardes, agradecería que me identificaran estos implantes. Los pilares además parecen diferentes. Es una paciente con sobredentadura con una antiguedad de 18 años que se hizo en Colombia. Muchas [...]
La paciente ha acudido a la clínica en numerosas ocasiones porque se le mueve la corona del implante del 46. Ninguno de los destornilladores que tengo en la clínica termina [...]
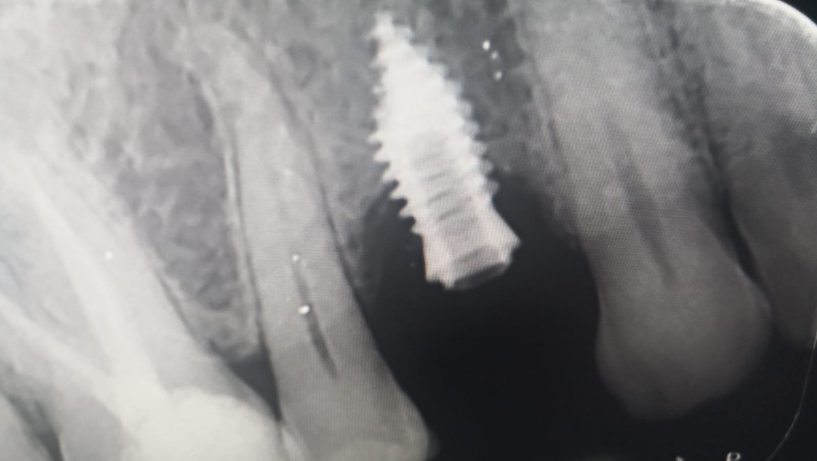
buenos días,alguien sabría decirme de que implante se trata? Muchas gracias
Paciente acude a consulta para rehabilitación,creo que todos son de Ziacom,el que no se identificar es el implante del segundo cuadrante,el más posterior que lleva injerto,si podéis ayudarme a identificarlo,la [...]
Buenas tardes compañeros. Agradecería si pudierais identificar los implantes en posiciones 24 y 26. Muchas gracias!!