Implante desconocido
Buenas tardes. Muchas gracias en primer lugar por esta web, os subo mi primer caso por si sabríais decirme este implante que me ha llegado a la clínica y no [...]
Buenas tardes. Muchas gracias en primer lugar por esta web, os subo mi primer caso por si sabríais decirme este implante que me ha llegado a la clínica y no [...]
En la clínica donde le pusieron los implantes no tienen la Pegatina de la marca en su historia y necesito saber la marca de los implantes porque al paciente se [...]
Paciente con distintos tipos de implantes y odontólogos que los instalaron no tienen registro.
Estimados compañeros , me podeis echar una mano con este implante? 1 saludo y muchas gracias
Implante con 20 años, dice el paciente. el tornillo de cicatrización no es el suyo, le pusieron uno que tenia por ahí. muchas gracias compañeros.
Paciente que acude a mi consulta con los implantes ubicados en el tercer cuadrante, los cuales son pilares de una prótesis fija sobre implantes. He decidido cambiar dicha prótesis pero [...]
Necesito rehabilitar el 16 y no sé qué marca y modelo es; es Hexágono externo pero de más de 1 mm de alto el mismo y el hexágono del tornillo [...]
Paciente acude por molestias en segundo cuadrante. En la exploración detectamos prótesis sobre implantes en 22 y 23 con movilidad. En la rx periapical observamos que es una prótesis cementada [...]
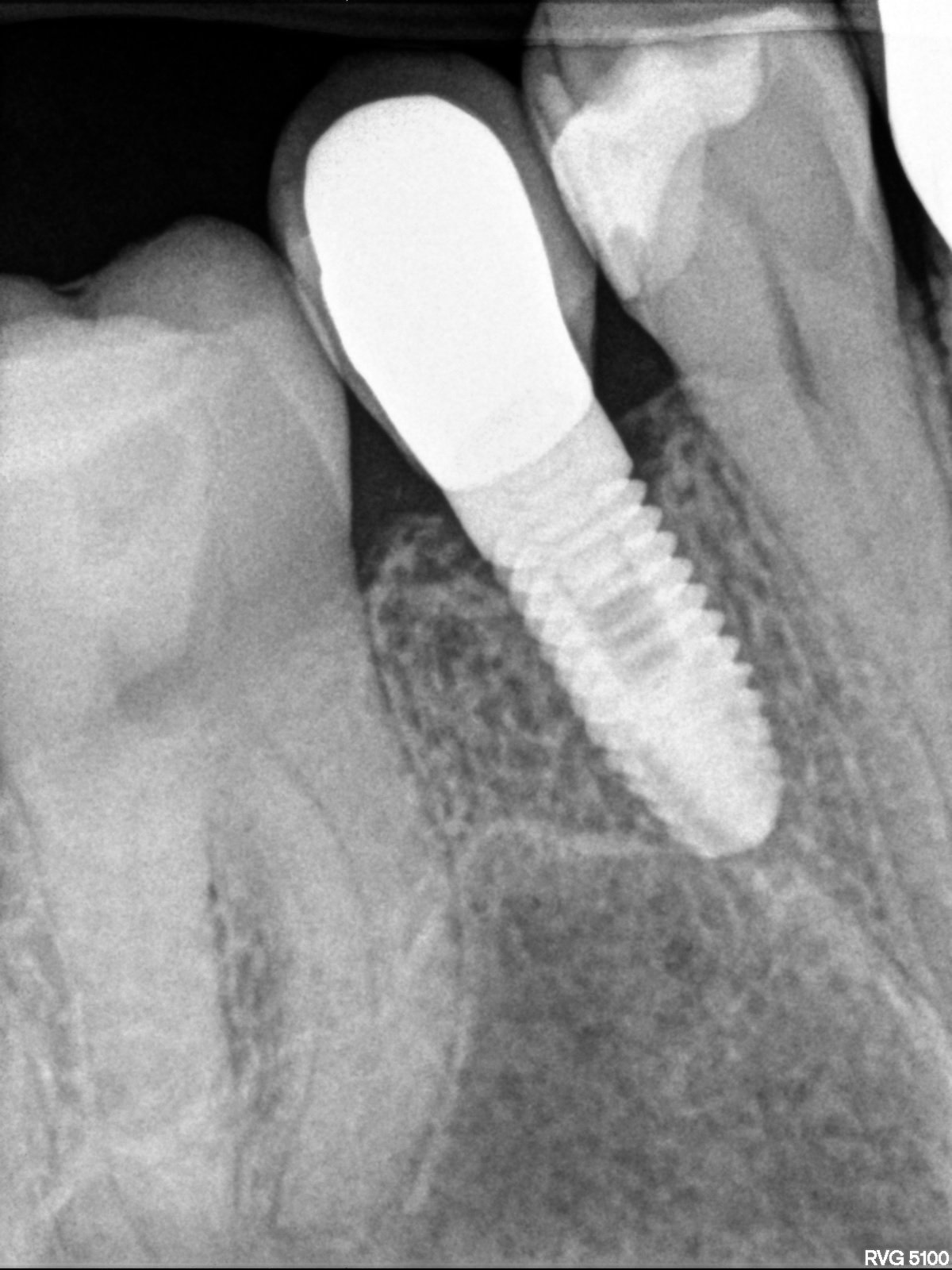
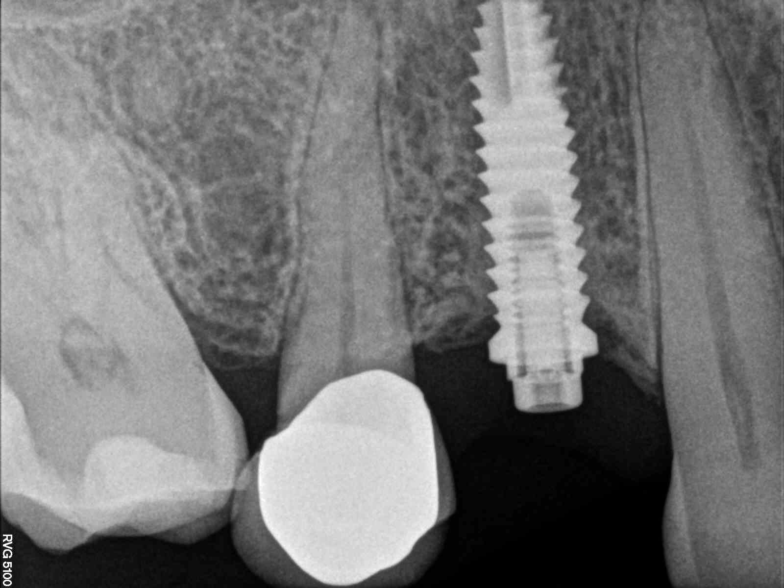
Buenas tardes!! Podríais ayudarme con este implante en p. 21, marca y diámetro?? Muchas gracias!!