Implante desconocido
Acude a nuestra clínica una paciente que se ha colocado dicho implante hace un par de años en la zona de Alicante (cree que era una franquicia , pero no [...]
Acude a nuestra clínica una paciente que se ha colocado dicho implante hace un par de años en la zona de Alicante (cree que era una franquicia , pero no [...]
Buenas tardes! Me podéis ayudar con la marca de este implante porfavor?
La paciente tiene la corona del 46 en infraoclusión, y necesito modificar la corona de la misma para llevarla a una oclusión correcta. No he levantado la corona, por si [...]
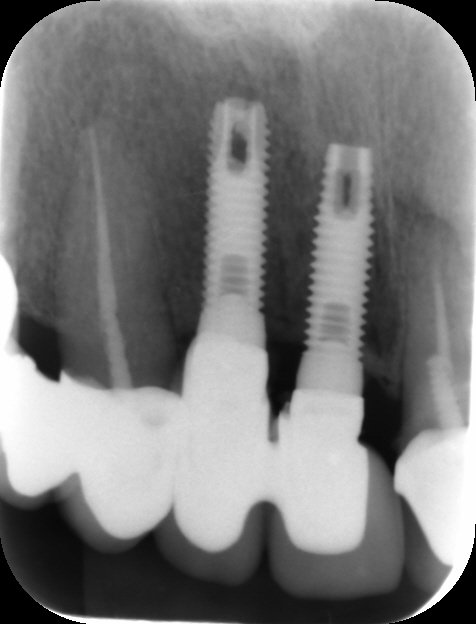
Acude un paciente con un implante puesto hace unos meses, no sabiendo que tipo de implante es. Necesito saberlo para la elaboración de la corona.
Buenos días: Tengo una paciente con implantes colocados en el 2003 en una clínica que ha desaparecido y no sabemos ni la marca ni la medida.Necesito levantar la prótesis y [...]
Queremos cambiar prótesis aprovechando los implantes
Se ha fracturado el tornillo pasante
Buenos dias, Me ha llegado esta paciente que quiere renovar su protesis sobre barra, y no se que implantes lleva. Muchas gracias
paciente proviniente de otra consulta ya cerrada ( por fallecimiento del titular ) imposible obtener datos de historia clìnica . Varios van al cubo pero al menos dos intentaremos recuperar [...]
Un amigo dentista me pide rehabilitar un paciente que le colocaron estos implantes en el oeste de Los Ángeles en 2017 ya que el paciente no puede regresar a EU. [...]