Rotura de tornillo protésico
Paciente con un puente de 3 piezas sobre implantes 23 y 25, con pilares transepiteliales en ambos. Son de marca Biomet 3i, T3 Certain, diámetro 3,4 en ambos. Se le [...]
Paciente con un puente de 3 piezas sobre implantes 23 y 25, con pilares transepiteliales en ambos. Son de marca Biomet 3i, T3 Certain, diámetro 3,4 en ambos. Se le [...]
Buenas tardes, Adjunto radiografía periapical con y sin tapón de cicatrización y foto de la conexión interna. El tapón de cicatrización es de Straumann pero no parece ser su tapón. [...]
Buenas tardes, Adjunto la Radiografía panorámica y periapicales de los 3 Implantes superiores ( sector 2 ) . Necesitamos por favor, saber la marca para poder explantar el Implante 23 [...]
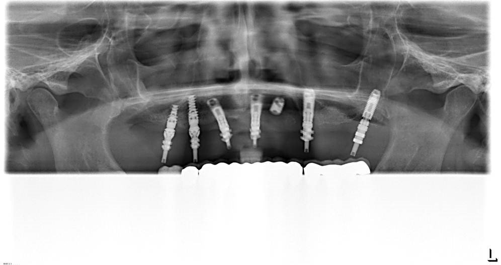
Buenos días: implantes conexión interna hexagonal np y rp, no sabemos la marca de estos implantes ( no son nobel,3i, straumann , galimplant). Arcada superior.
Hola, necesito saber qué implantes lleva mi paciente para cambiar sus coronas, me echáis una mano? Gracias, compañeros!
Hola buenos dias chicos, necesito que me ayudeis a saber que marca es este implante y la conexión, muchas gracias y un saludo. Os adjunto Rx Periapical
Buenos días. Paciente acude con puente implanto soportado en la mano. Conexiones de la prótesis en mal estado y solo preservamos 1 tornillo. ( el otro esta fracturado en el [...]
Son dos implantes con conexión hexagonal algo mas estrecha que la conexión de zimmer.
Buenos días, Si me podría ayudar con mi duda y detectar que implante es.
buenos días Hola por favor quisiera ayuda con la marca y medida de este implante . Gracias