desconozco implantes
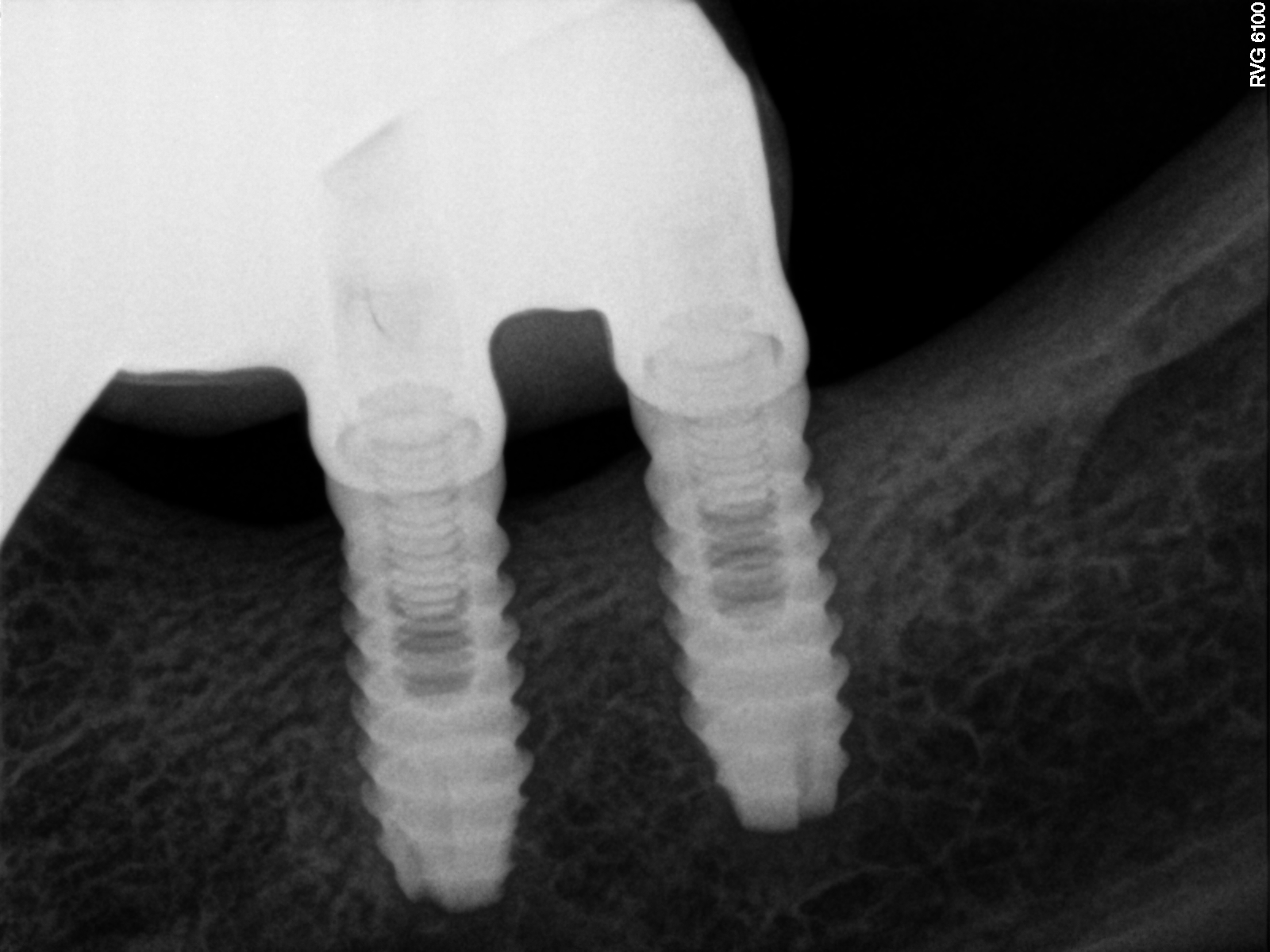
Implantes colocados en clínicas UNIDENTAL, actualmente clínicas Vivanta. La paciente le han dado como nombre de los implante SUAT. ? Alguien sabe que implantes son?. gracias.
Implantes colocados en clínicas UNIDENTAL, actualmente clínicas Vivanta. La paciente le han dado como nombre de los implante SUAT. ? Alguien sabe que implantes son?. gracias.
Buenas, podríais ayudarme con la marca, modelo y medidas de los implantes que lleva el paciente en boca. Cualquier ayuda es válida, muchas gracias!!
Podéis ayudarme a descubrir la marca de estos implantes. Puestos en españa hace 10 años. Llevan unos muñones enroscados con un tornillo bastante grueso, de color azul, implante conexión interna. [...]
hola ! Me llego a mi consulta una paciente q se colocó estos implantes pero nose que marcan son para rehabilitarlos
Hola! Agradecería que me pudieran ayudar con estos implantes colocados en Francia. Muchas gracias de antemano!
Implante colocado hace 8-11 años en Barcelona. se le cayó la corona cementada al poco de colocársela y se la cementaron de manera que no volvió a caerse hasta hace [...]
Paciente acude con implante en posición de 16. No conoce el nombre de la casa comercial. Agradecería ayuda para identificarlo y poder rehabilitar dicho implante. Muchas gracias
Hola, tengo dudas, creo que es bti conexión interna pero parece que lleva conectado un pilar... La corona por dentro tiene uan retención en forma de "estrella" parecid a synocta. [...]
Buenas tardes. Necesito saber que implantes son. La paciente tiene los teflones de la sobredentadura muy gastados. No tiene retención y está muy incómoda. Se los cambiamos hace un par [...]