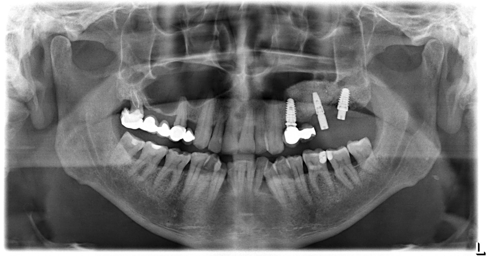
primer y tercer implante no se que marca son
EL paciente ha venido con el primer y tercer implante que se ve en la periapical y no se cuales son? conocéis esa marca de implantes? gracias.
EL paciente ha venido con el primer y tercer implante que se ve en la periapical y no se cuales son? conocéis esa marca de implantes? gracias.
Aúpa Compañeros!!! Este es el caso, se trata de un implante francés, no sabemos métrica del tornillo, sin embargo por la emergencia estrecha del pilar será de 1,4 o 1,6 [...]
Buenas tardes. Acude una paciente en la clínica para rehabilitar, tanto como los implantes y también la parte estética de toda la boca. En su caso hemos subido la dimensión [...]
Paciente que acude a nuestra consulta con 8 implantes puestos en Brasil. En el traslado ha perdido la cartilla de id de los implantes y la clinica ha cerrado. Pudo [...]
Hola compañer@s!! Acude paciente referida con implantes puestos en Francia. Son conexión hexágono interno bastante profundo y el del 4o cuadrante tras destapar el pilar de cicatrización se ve plataforma [...]
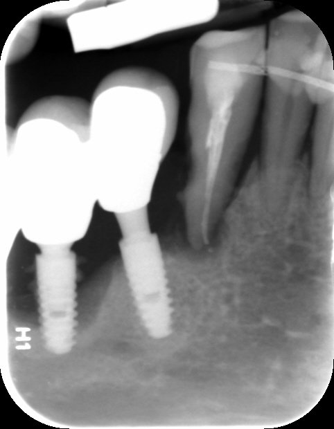
Hola. Tengo este caso con esta radiografía, y desconozco el tipo de implante que es, así como la metríca usada, diámetro de implantes.. La conexión parece hexagonal, y parece compatible [...]
Hola a todos, a ver si me podéis ayudar. Necesito saber qué implantes lleva este paciente en el maxilar superior. Son unos implantes cortos puestos en Venezuela. El paciente me [...]
Buenos días, adjunto el caso de una paciente que acude a la clínica con 4 implantes colocados hace años y con una barra y sobredentadura. La sobredentadura solo apoya en [...]
Necesito saber que implantes son estos colocados en 4 cuadrante por iDental en Granada. Gracias
Buenas tardes! Tengo una paciente que vino de idental y refiere que la corona del implante del 22 esta "floja". Efectivamente a la palpación se le mueve. Me gustaría saber [...]