PACIENTE CON DOS IMPLANTES EN SECTOR ANTERIOR. CLINICA CERRADA
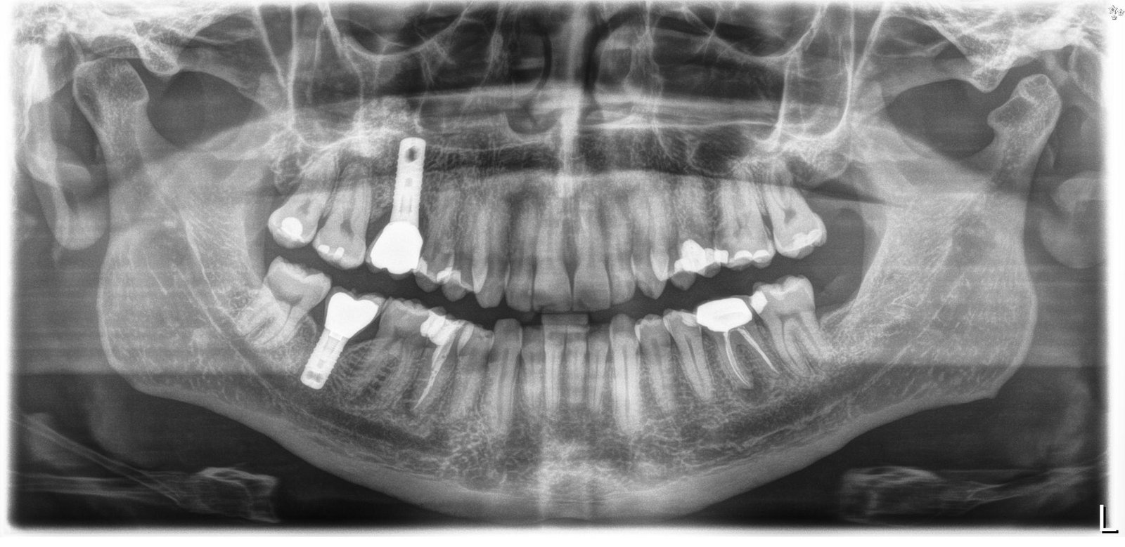
Hola, me ha venido un paciente sin piezas en el sector anterior y con dos implantes. La clínica suya esta cerrada y no sabe que implantes son. Necesito ayuda! [...]
Hola, me ha venido un paciente sin piezas en el sector anterior y con dos implantes. La clínica suya esta cerrada y no sabe que implantes son. Necesito ayuda! [...]
Hola, Tengo un paciente que tiene un implante de la marca ospol que le pusieron en el 2012. En su día no se puso la corona sobre el implante, su [...]
Buenas! Quería saber qué implante tiene la paciente en posición #14 y qué tipo de pilar lleva. Parece que es un pilar para cementar y fresaron la cabeza del tornillo [...]
Buenas tardes. Me gustaría saber el tipo de implante que está cargado. La paciente no ha podido pedir la informacion porqué me dice q donde se lo pusieron ha cerrado. [...]
Buenas tardes, me podríais ayudar con la marca del implante? esta sacada de la orto , pero si no se ve claro puedo hacerle una periapical, muchas gracias de antemano
Necesito ayuda para identificar que implantes para restaurar las coronas que están con la porcelana fracturada por favor.
Implante anterior
Buenas tardes, ¿me podria algun decir que tipo de conexion y marca de implante es? muchisismas gracias de antemano!
Por favor! Alguien sabe que marca de implante es? Gracias!