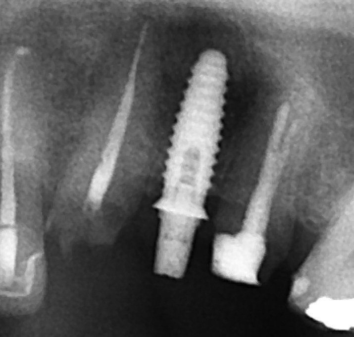
Implante en 24
Hola, necesito restaurar un implante en 24 y no se modelo ni marca. Necesito vuestra ayuda. Un saludo y gracias!
Hola, necesito restaurar un implante en 24 y no se modelo ni marca. Necesito vuestra ayuda. Un saludo y gracias!
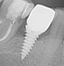
Hola compañeros/as, sabeís que marca de implante es ? Muchas gracias
Buenas, Este paciente quiere cambiarse la corona del 37, además de rehabilitarse la pérdida del 36. Este implante se lo colocaron en Vitaldent hace unos 6 o 7 años. ¿Qué [...]
Hola! Alguien sabria que marca son estos implantes? Se colocaron hace 5-6 años en la Clinica Dentimax de Palma de Mallorca pero la clinica cerró y el paciente no tiene [...]
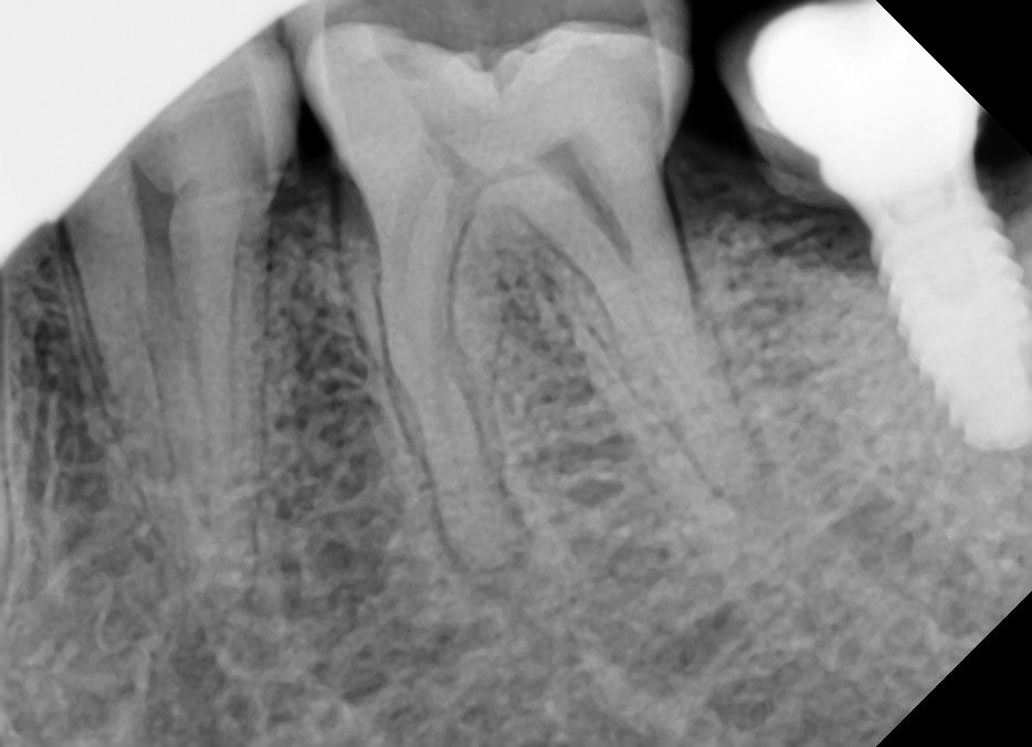
¡Hola! Tengo un paciente con unos implantes de hace unos 20 años según me comenta. Uno de ellos se le ha fracturado como se ve en la rx. ¿Alguien podría [...]
Hi I need this IMZ product. can anyone help me find it ? IMZ Titanium post 3.3 non-hex. small implant diameter order catalog 56301200 Thanks, David
Paciente asiste para cambiar su sobredentadura. Necesito identificar los implantes para poder comprar nuevos retenedores a bola + cazoletas y gomas. Gracias
Implante en zona de 35 sin tornillo de cicatrización compatible con rosca interna de tornillos estrechos tipo p2 de Ziacom y nobel. Conexión interna, dudo si es tipo cono morse. [...]
Hola, me ha venido una mujer con 2 implantes sin cargar, de la clinica fresh dent. alguien me puede decir que marca podria ser? muchisimas gracias!