marca del implant
¿Alguien conoce la marca de este implante dental? Muchas gracias !!
¿Alguien conoce la marca de este implante dental? Muchas gracias !!
Conexión octógono interno de 2’5mm con plataforma de 4’4mm
Sabéis q implante es ? Tiene una plataforma externa circular .
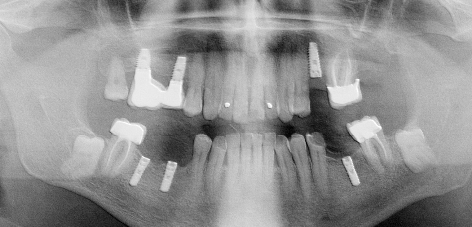
El paciente acude a la consulta por problemas en sus prótesis sobre implantes, colocadas en los cuatro cuadrantes. No sabemos la fecha de colocación de los implantes. El implante en [...]
Paciente femenino llega a rehabilitación de sus implantes que fueron colocados en el pais Nicaragua C.A necesito saber qué tipo de implante y su marca para poder rehabilitarlos. Ella no [...]
Hola!, El paciente me indica que se puso estos implantes hace unos 30 años en una clinica de Madrid centro... Alguna idea de marca y modelo ? Muchas gracias [...]
Buenas tardes, muchas gracias por vuestra labor, creo que estos dos implantes son eckerman all spiral, me podríais ayudar respecto a la plataforma y compatibilidades?? saludos
necesito saber la marca y medida si es posible de esos cuatro implantes inferiores muchas gracias