IMPLANTE NO IDENTIFICADO
PACIENTE QUE TIENE UN IMPLANTE DESDE HACE MUCHO TIEMPO, TENIA VARIAS COFIAS GUARDADAS EN EL CAJON Y AL PROBAR ME ENTRO ESA.. QUERÍA SABER SI VEN LA CONEXIÓN ESTA BIEN, [...]
PACIENTE QUE TIENE UN IMPLANTE DESDE HACE MUCHO TIEMPO, TENIA VARIAS COFIAS GUARDADAS EN EL CAJON Y AL PROBAR ME ENTRO ESA.. QUERÍA SABER SI VEN LA CONEXIÓN ESTA BIEN, [...]
para cambiar coronas sobre impkantes
implantes de conexión externa de 0,5 de altura y 2 de dismetro
Tornillo roto en un implante de conexion interna cuyo cuello tiene un color verdoso, posible diametro 3,5??¿Qué marca de implante puede ser? Muchas gracias por vuestra colaboración
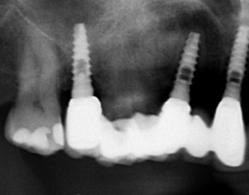
hola buenos días , me podríais decir cual es la marca de esos implantes? y si existen compatibilidades? muchas gracias y recibid un cordial saludo
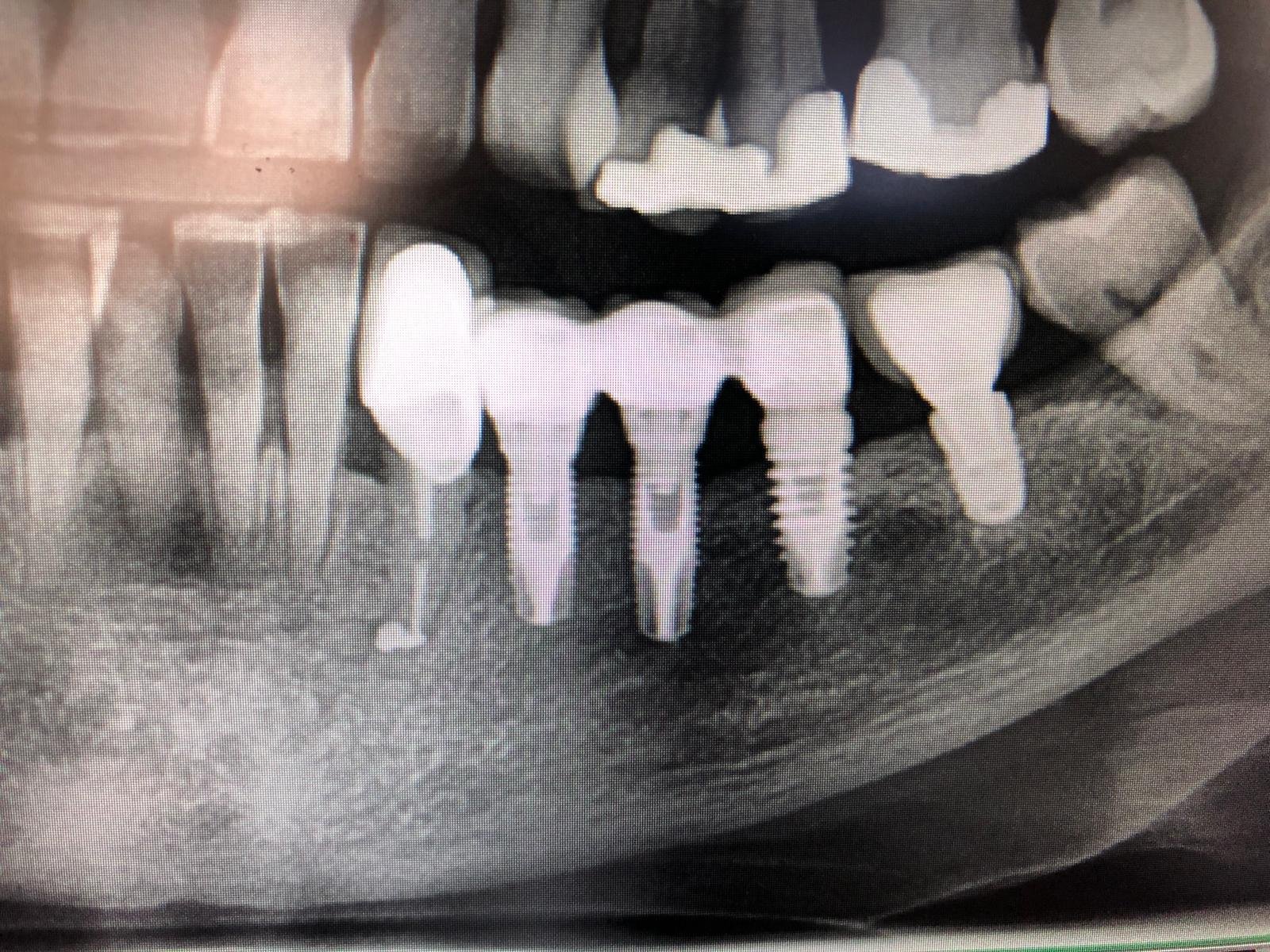
Buenas noches compañeros, me estoy volviendo loco buscando los aditamentos para estos implantes.
Acude con Corona sobre implante cementada suelta, hay que realizar csi nueva y no sabemos qué tipo de implante es para buscar los aditamentos
Buenas tardes, me podéis ayudar con esta marca de implantes ? Gracias a todos
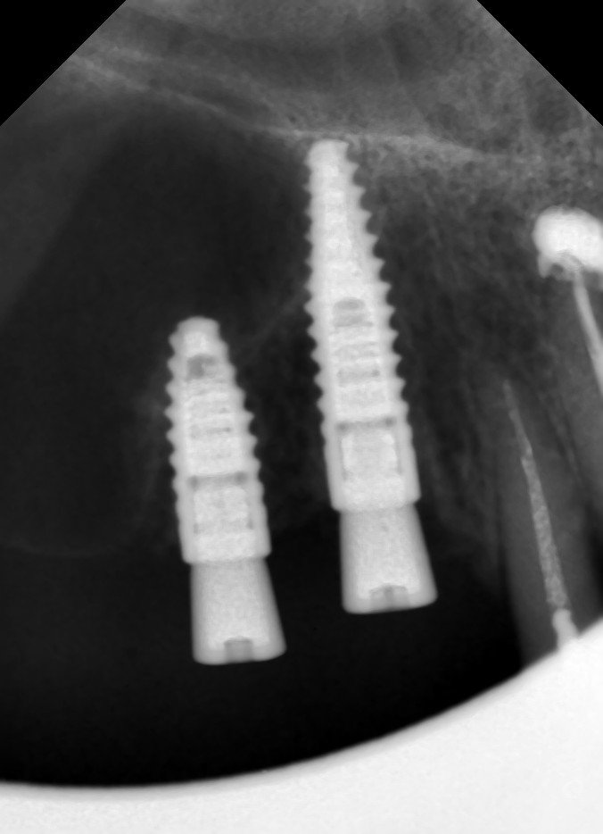
Esta paciente nos llega desde Rumania con un gran popurrí de implantes colocados y que usaremos para su rehabilitación oral. Estos dos no los tenemos identificados. Espero que me podáis [...]
Paciente acude a consulta con implante en posición del 35, colocado hace 9 años en una clínica que ha cerrado. No lleva pilar de cicatrización. Si me pudieseis ayudar a [...]