Implante conexión externa
Muy buenas! Ha acudido a la clinica un paciente rehabilitado hace unos dos años en Barcelina con una híbrida muy poco higienica que he tenido que retirar junto con un [...]
Muy buenas! Ha acudido a la clinica un paciente rehabilitado hace unos dos años en Barcelina con una híbrida muy poco higienica que he tenido que retirar junto con un [...]
Paciente que acude con implante colocado en posición de 12 en el año 2018 en Tenerife. Viene con una especie de Maryland cementado por lo que no soy capaz de [...]
Hola , subo un caso que nos llega de otra consulta con dos prótesis híbridas superior e inferior sobre unos implantes que según le han dicho en su clinica son [...]
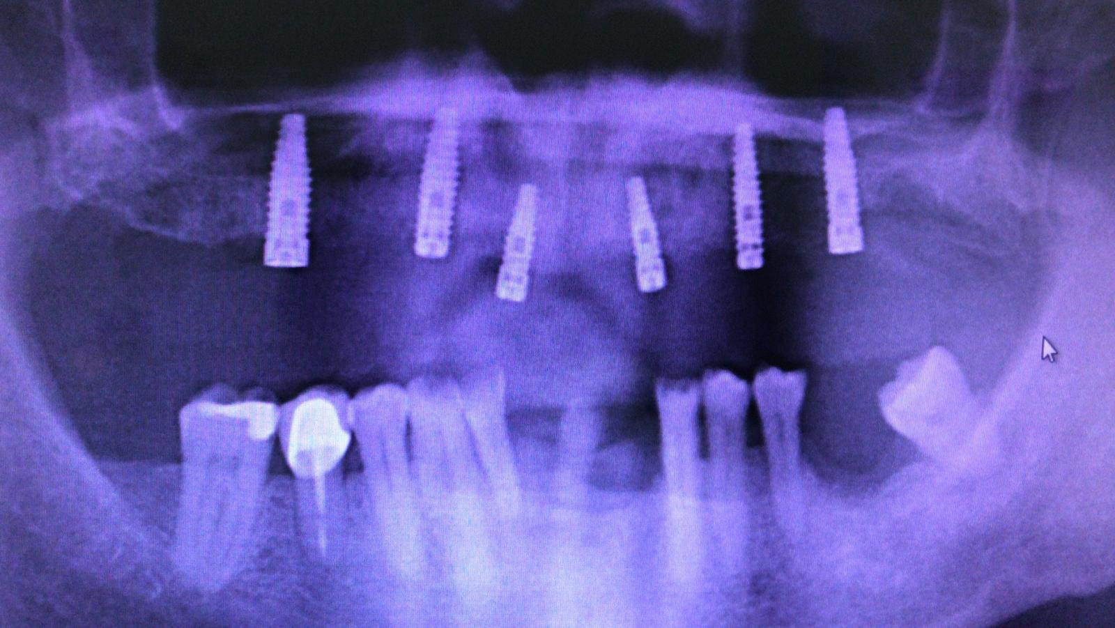
Paciente que tiene que rehabilitarse los implantes y no sabe qué implantes son, me gustaría vuestra ayuda por favor.
Paciente acude con implantes colocados en Rusia. Conexión interna. Enviamos fotos y radiografías.
Buenas, tengo este caso que quiere ponerse una prótesis completa usando los implantes antiguos. Por desgracia no tengo ni idea de qué tipo de implantes se trata. A simple vista [...]
Tengo que rehabilitar unos implantes marca NEOBIOTECH, de plataforma 4mm y conexión interna cónica. No encuentro aditamentos, alguna idea sobre compatibilidad??? gracias!!!
Necesito saber la marca de este implante para poder rehabilitar el caso. La corona continuamente rotaba, porque creo que el aditamento que le pusieron, no es el que le corresponde, [...]
Buenas noches,de nuevo por aqui,me ha llegado este caso rehabilitado hace unos 20 años,con las coronas protesicas del 1º cuadrante para cambiarlas. Se lo pusieron aqui en Sevilla,pero la clinica [...]
Buenas. Me ha llegado una paciente con este implante colocado en Madrid hace 8 años aproximadamente. Me dice que la clínica está cerrada. Llevaba una corona cementoatornillada que se le [...]