Paciente nueva
Hola detectives ! Me llegó esta mañana una paciente mayor con unas coronas rotas en 4 cuadrante, tienen muy poca altura oclusal, los tornillos están al aire e incluso uno [...]
Hola detectives ! Me llegó esta mañana una paciente mayor con unas coronas rotas en 4 cuadrante, tienen muy poca altura oclusal, los tornillos están al aire e incluso uno [...]
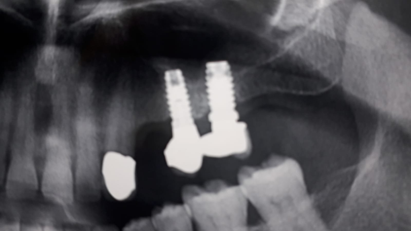
Buenas dias compañeros, saludos a todos tengo a este paciente con unos implantes ajenos en molares y tras haber realizado exo de 15 me gustaría hacerle un nuevo puente con [...]
Curso de ácido hialurónico en Madrid organizado por Lusobionic Formación, donde contaremos con el Dr. David Valero y Dr. Alexandre Rovisco.
Buenos días. Estos casos que mando son de pacientes que vienen de una clínica que ha cerrado, y no se cuales son. Muchas gracias por su ayuda.
Abbiamo bisogno di conoscere la marca degli impianti nella foto in allegato per poter riprotesizzare.
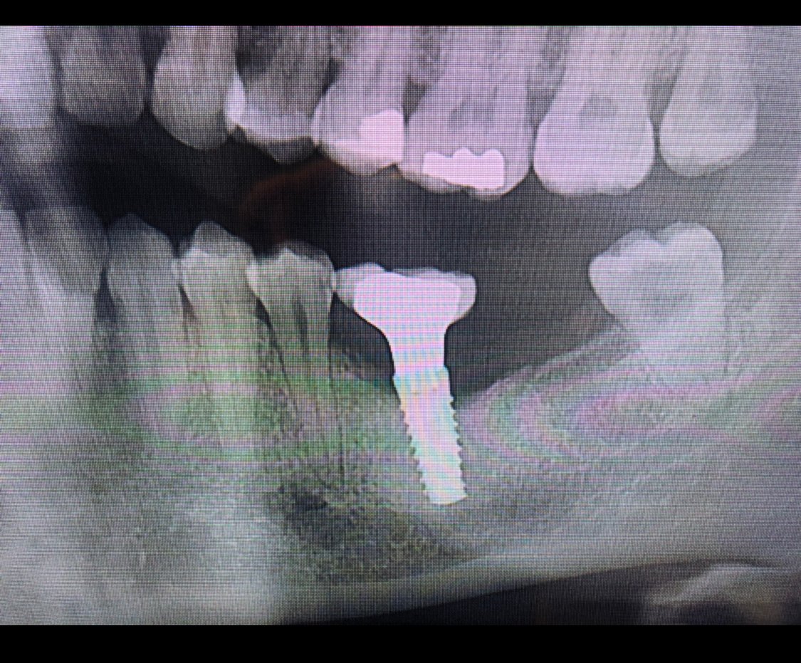
Este es el caso del Implante que quiero saber cual es pues la paciente no pudo darnos la información. El que he intentado subir ala plataforma y no me deja [...]
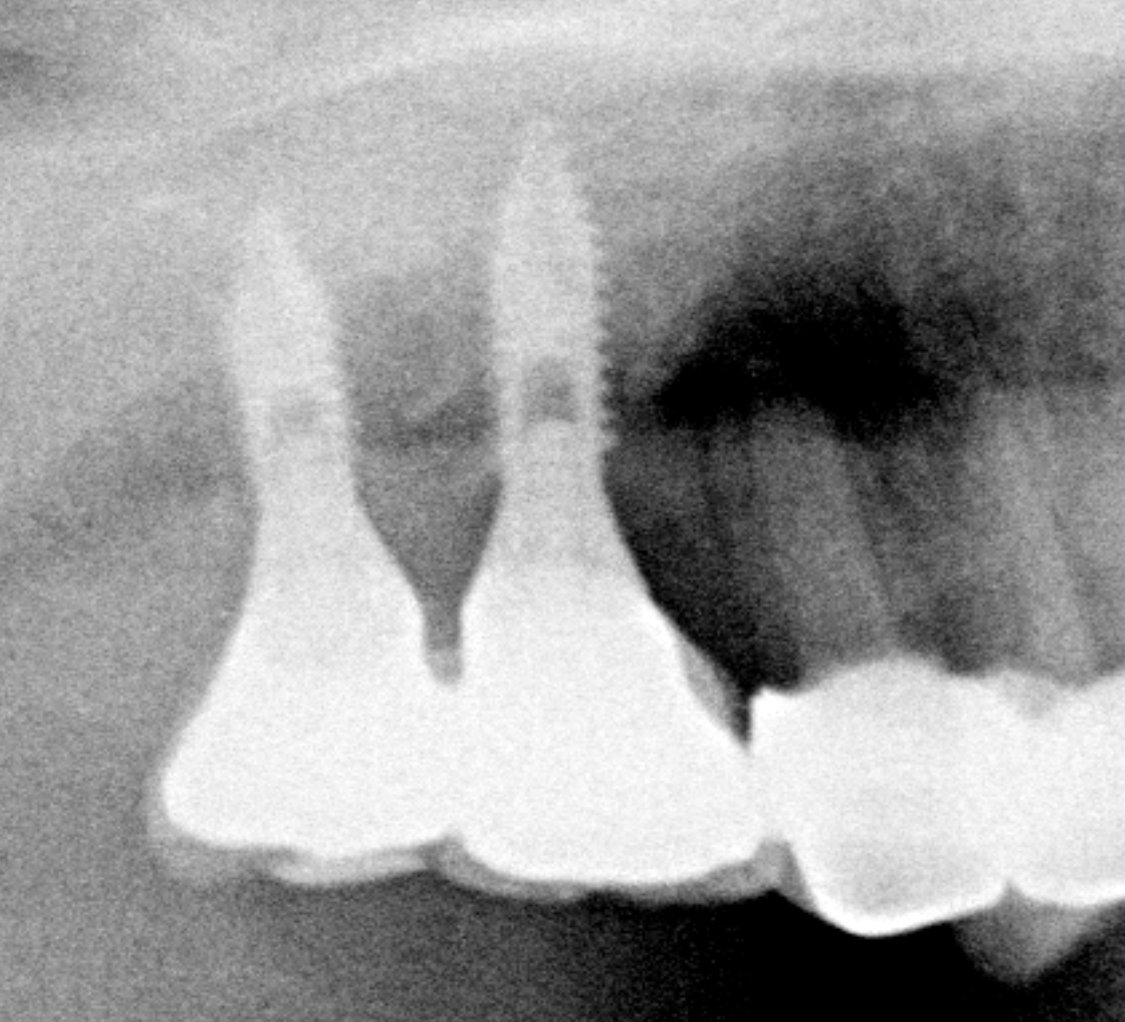
Buenas tardes, Acude a nuestra consulta un paciente para valoración de rehabilitación oral. Hacemos panorámica y presenta estos implantes con pilares para cementar. Necesitamos saber que implantes son los que [...]
Los implantes de la zona anterosuperior, son implantes de conexión interna y tienen las coronas atornilladas directamente al implante sin pilar intermedio. Son implantes que se hizo hace unos 12 [...]