No se que implantes son. Piezas 34,35,44 y45
Buenas tardes. Paciente acude a consulta con implantes colocados en otra clínica en 34,35, 44 y 45. No le llegaron a colocar las coronas. Traspasaron la clínica y al ir [...]
Buenas tardes. Paciente acude a consulta con implantes colocados en otra clínica en 34,35, 44 y 45. No le llegaron a colocar las coronas. Traspasaron la clínica y al ir [...]
Buenos días. Paciente acude a consulta con movilidad en corona cementada sobre implante de la pieza 26. No sabemos que implante es y necesitamos saberlo para poder apretar el muñón. [...]
Implante colocado hace más de 15 años en Pamplona en posición 35 (a la izquierda en la rx), con Corona atornillada. Desconozco marca, modelo y conexión. Se necesita información para [...]
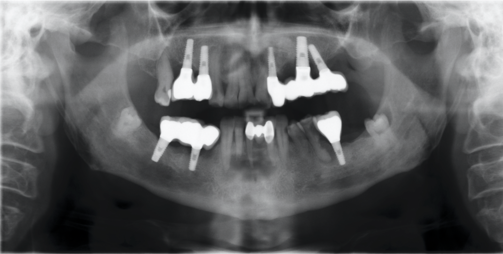
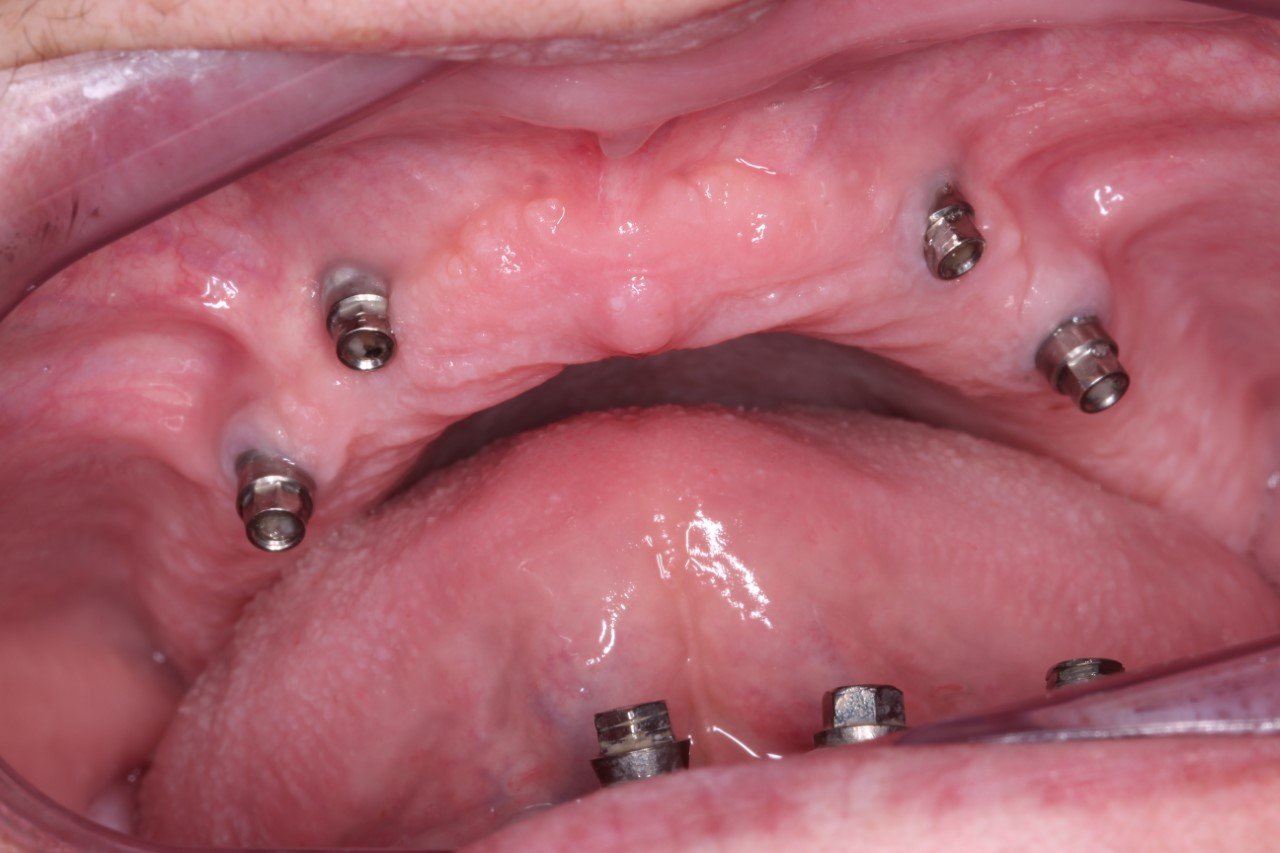
Paciente varón que acude a consulta por pérdida de retención de la prótesis sobre implantes realizada 8 años atrás. Informado del estado de sus implantes necesito colaboración para poder identificar [...]
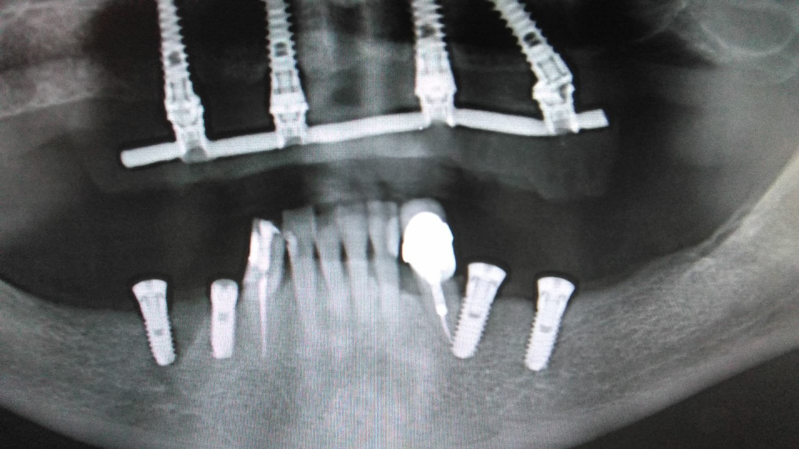
Paciente que comienza tratamiento de implantes en iDental en Enero'16, las prótesis sup e inf terminadas las colocan en Noviembre'17. Adjunto periapicales y fotografías de las prótesis.
La verdad es que la paciente no refiere muchas cosas sobre el caso. Estarán colocados aproximadamente hace 4-5 años quizá algo mas nos refiere. Nunca se llegaron a cargar y [...]
Buenos días compañeros , me ha llegado este caso a la consulta, me podríais ayudar con la marca de los implantes inferiores? 1 saludo y muchas gracias por vuestra ayuda
Buenas tardes, compañeros. Hace algunos meses me llegó este caso y no consigo averiguar que implantes lleva la paciente en la parte superior. Os cuento, mujer de 54 años [...]
los clásicos implantes hexa ext no son
Buenas tardes. Me gustaría que me ayudaseis con la identificación de este implante. Esta colocado en el año 1999, y la clínica donde estuvo la paciente me insistieron en que [...]