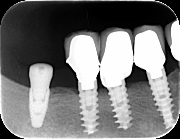
IMPLANTE 12
Hola, nos gustaría saber que implante podría ser el de la posición 12. Este Paciente fue tratado en Vitaldent del sector 1 y presenta implantes 3i en posterior. Respecto al [...]
Hola, nos gustaría saber que implante podría ser el de la posición 12. Este Paciente fue tratado en Vitaldent del sector 1 y presenta implantes 3i en posterior. Respecto al [...]
Buenos días! Me podéis ayudar con la marca de estos IOI puestos hace unos 20 años?! Gracias !!
Sabéis que implantes son?Muchas gracias!!
Buenas noches colegas!! Me podriaip ayudar con este caso? Necesitaría saber que implantes lleva esta paciente. Gracias!!
BUENAS TARDES, VAMOS A CAMBIAR LAS CORONAS DE ESTA PACIENTE Y ELLA NO SABE QUE IMPLANTES LLEVA COLOCADOS.
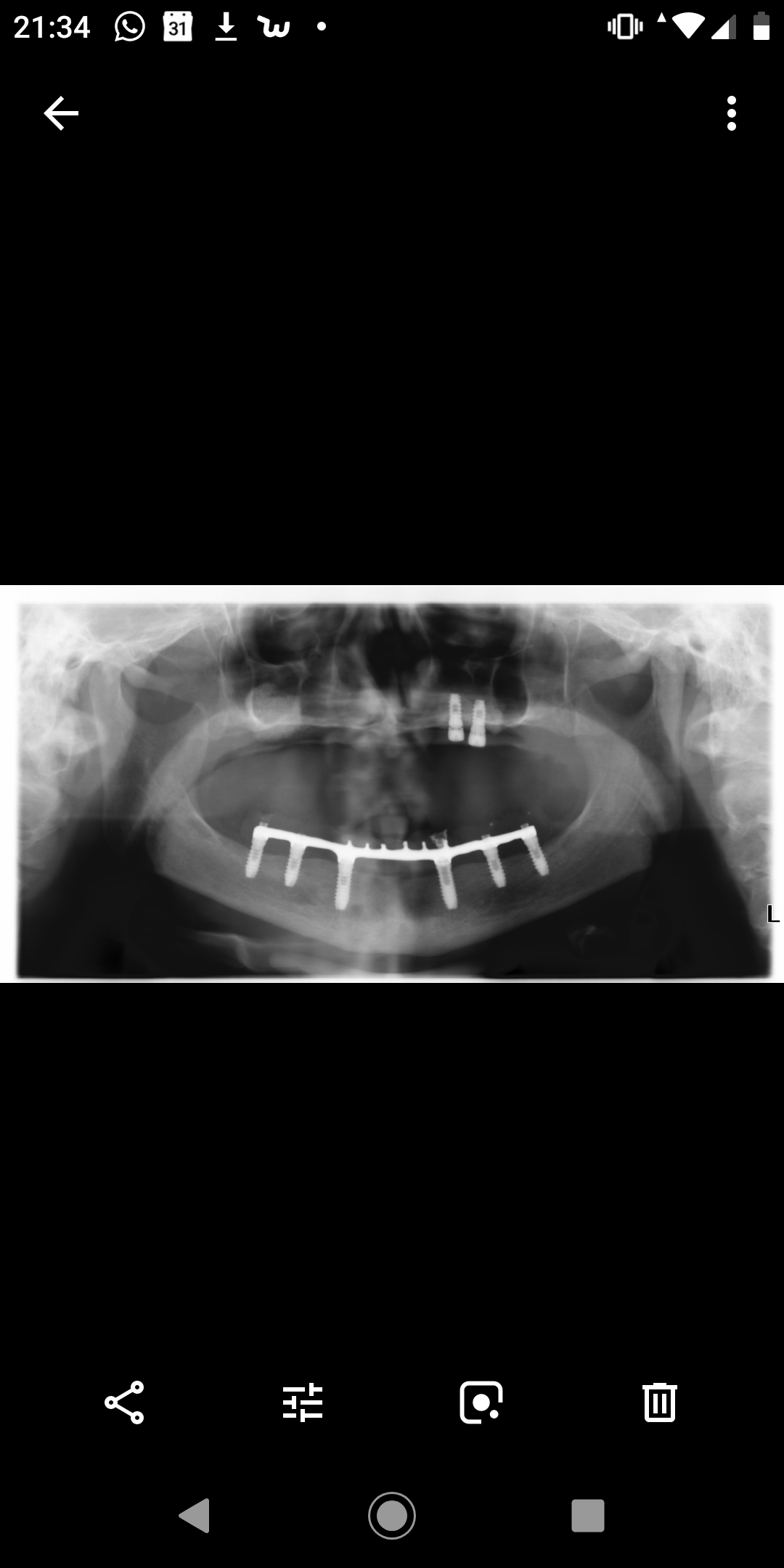
A paciente fraturou a protese superior e precisa de reabilitar com uma nova. Já pedimos ajuda a vários tecnicos e especialistas, para identificar os implantes mas só conseguimos solução de [...]
Paciente de 68 años con impantes en 4º cuadrante que al realizarle la extracion del 47 ha saltado parte de la corona del implante del 46. Necesito saber que tipo [...]
Buenas. Sabriais que implantes son estos? Necesito cambiarles el tornillo, y no se cuales son. Muchas Gracias!
Jesús López Espinosa, odontólogo de 37 años, empezó como voluntario en la Clínica Solidaria de Madrid hace dos años y medio. Estudió la carrera en la Universidad Europea de Madrid. En la actualidad tiene su propia clínica en la ciudad, y también colabora como especialista en otros centros. Esta es su experiencia y opinión acerca del trabajo que desarrolla Odontología Solidaria.