QUE IMPLANTES ES ESTE?.
HOLA, buenas tardes, esta paciente es de ibiza y no tiene ni una sola información acerca de su implante. mil gracias
HOLA, buenas tardes, esta paciente es de ibiza y no tiene ni una sola información acerca de su implante. mil gracias
Buenos días compañeros! Me ha llegado una paciente de idental que desconoce la marca y tamaño de los implantes que lleva en boca. Se algunas marcas que usaron en idental [...]
Necesitamos realizar a la paciente una cirugía de periimplantária y no sabemos el tipo de implante que lleva, ya que se lo colocaron hace años en una clínica dental en [...]
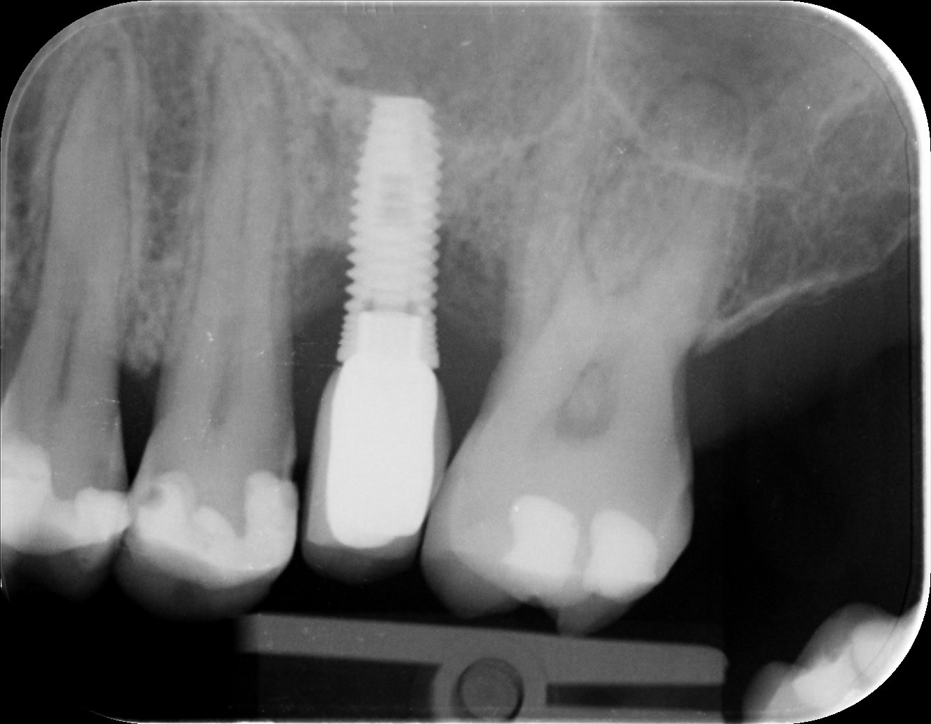
alguien puede decirme que implante es el posicionado mas o menos a la altura de la p.14? viene con el de otra clínica y nos gustaría poder contar con el [...]
Curso para odontólogos de acido hialurónico. Este es un curso de Medicina Estética orientado a Odontólogos. En él, aprenderás fácilmente a complementar tratamientos odontológicos con innovadoras técnicas de rejuvenecimiento facial. Semás, te permitirá potenciar la capacidad para ampliar servicios en tu consulta odontológica, dando a tus pacientes un tratamiento integral de calidad.
Agradecería , si me podéis ayudar con este caso de un paciente sin historial, muchas gracias de antemano.
Good afternoon. A pacient recentely came to our clinic with a broken hybrid on his implantes which he had placed in Brasil around 2003 if I´m not mistaken. Anybody know [...]
Buenas tardes, agradeceria que me ayudaran a indentificar esos 2 implantes para poder rehabilitarlos. Muchas gracias Un saludo!
Quisiera saber conexion o si es posible marca y modelo de este implante Gracias