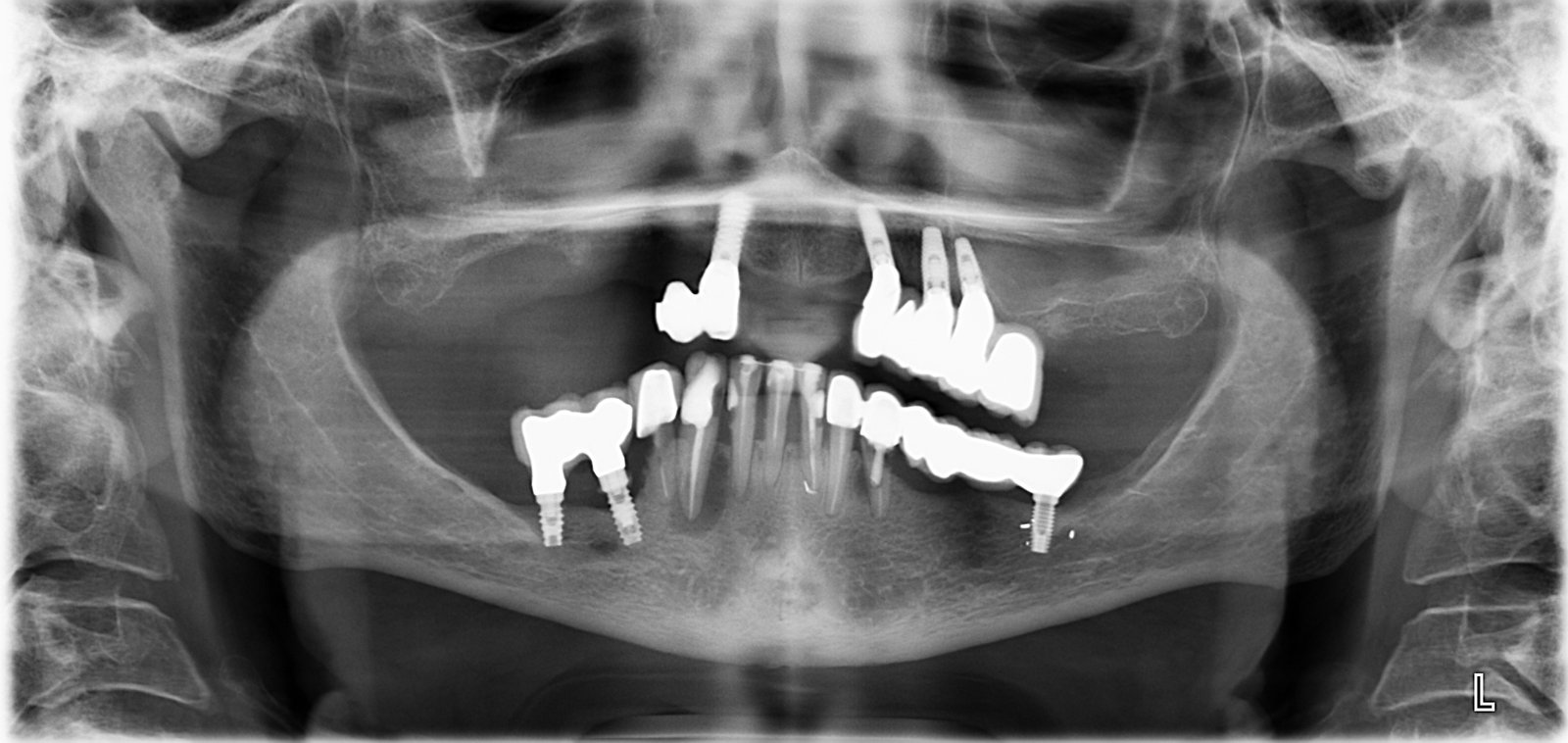
Protesis hybridas sobre 6 implantes y 5 implantes
Buenos días compañeros, Tengo este paciente al cual se le colocaron implantes entre 2012 y 2014 en Brasil, se visita en nuestra clínica para rehacer sus prótesis sup e inferior [...]
Buenos días compañeros, Tengo este paciente al cual se le colocaron implantes entre 2012 y 2014 en Brasil, se visita en nuestra clínica para rehacer sus prótesis sup e inferior [...]
No sabemos la marca del implante. Conexión interna, espiras mixtas, cambio de plataforma. Se colocolocaron hace 2 años. Adjuntamos periapical. Muchas gracias.
Me piden ayuda. No es mío. El implante es conexión externa y el cicatrizador se pudo quitar con el destornillador de Sweden&Martina. Ahora mismo no poseo más información. Espero que [...]
Buenas tardes compañeros, me podeis ayudar con la marca y compatibilidades de este implante? ha fracturado la corona. Creo que es un astra pero no se la métrica, muchas gracias
Buenos días. Muchas gracias por vuestra web, es muy interesante. Me estreno por fin en ella tras varias recomendaciones de amigos. Os envío la ortopantomografía de 3 implantes de mandíbula [...]
Muy buenas , hace unos días me llego una paciente con un implante en la pieza 24 al cual se le está cayendo continuamente La Corona cementada porque el pilar [...]
Buenos dìas, me podrìan ayudar diciéndome que implantes son los que la paciente lleva en el segundo cuadrante?
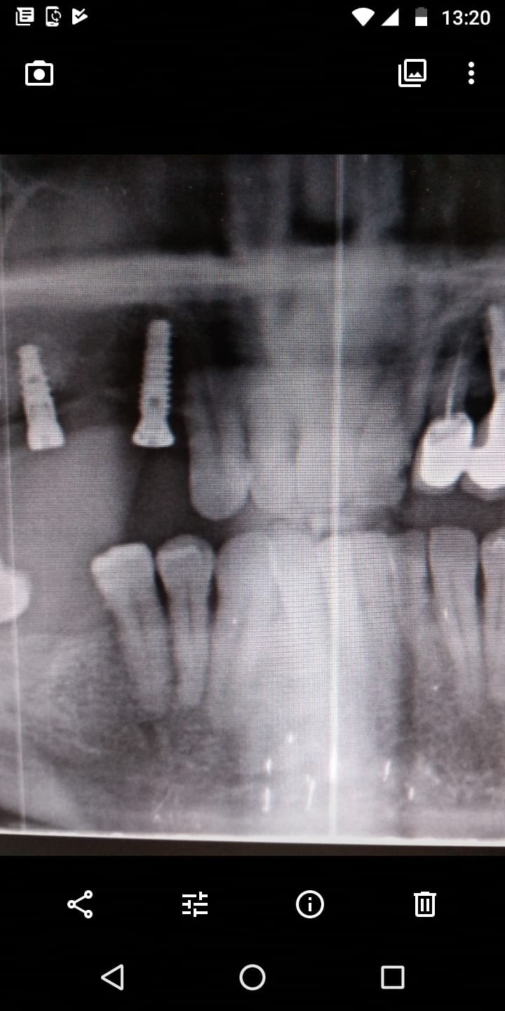
Hola Envie el caso de esta Paciente respecto un implante del 37 hace unos dias. Resulta que la misma Pacientes solicito una solucion en el Maxilar superior y la Paciente [...]
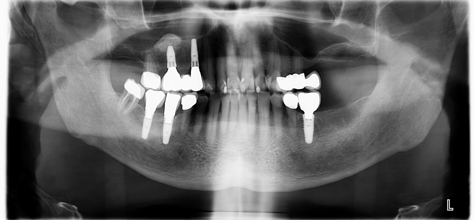
FAVOR VALORAR IMPLANTES 45 46 PARA CONOCER LA MARCA DE LOS MISMOS
Se trata de unos implantes bifásicos colocados en Alemania hace unos 8-10 años. Varios le cayeron o se fracturaron. Se trata de una conexión interna formada por un cilindro y [...]