Indentificar implante distal
Hola! Necesitaría saber qué marca es el implante distal, con el pilar que sale en la foto. Compatibilidad para los aditamentos, etc. Y si me decís también que tipo de [...]
Hola! Necesitaría saber qué marca es el implante distal, con el pilar que sale en la foto. Compatibilidad para los aditamentos, etc. Y si me decís también que tipo de [...]
Buena tarde, me podran ayudar con la marca de este implante? ya intente compatibilidad con MIS, Neobiotech, Nobel y no fue compatible Gracias
Buenos dias , me pueden ayudar a saber que implante es? al parecer es de 5mm de diametro , tiene conexion interna de color verde, no tiene tapon de cierre [...]
Buenas tardes: me ha llegado este caso para cambiar corona, no sé qué implante es. Cuando retiro el transepitelial queda un aditamento de interfase que no se como retirar. Gracias
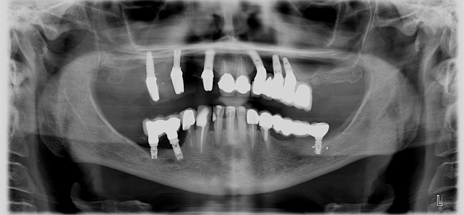
Hola compañeros, tengo esta paciente con implantes en posición 14 y 15 colocados hace alrededor de 20-30 años en Argentina. Tiene las coronas con la porcelana en malas condiciones y [...]
Lleva estos implantes de hace 5 años, en el tornillo de cierre pone R-2.7. Se los pusieron en Madrid en una policlínica. Gracias
Me gustaria conocer la marca y referencias de estos implantes colocados para en un principio rehabilitar un 36, fueron colocados en francia hace unos 6-7 años.nunca han sido rehabilitados. gracias!!
Buenas tardes, Solicito por favor, averiguar la marca del Implante en posición de la pieza 37. Muchas Gracias.
Buenas tardes, me gustaria saber la marca y demás informacion de implantes en posición 21-22 para realizar nuevas coronas metal cerámica. La conexión es interna la paciente no tiene posibilidad [...]