Implante desconocido y tornillo incompatible
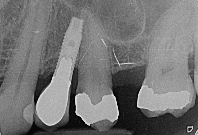
Hola compañer@s necesito vuestra ayuda. Este paciente tiene movilidad en el puente implante-diente, mis destornilladores de 1.20, 1.25, 0.90 y dinámico no son compatibles. No sé ni qué implante es [...]
Hola compañer@s necesito vuestra ayuda. Este paciente tiene movilidad en el puente implante-diente, mis destornilladores de 1.20, 1.25, 0.90 y dinámico no son compatibles. No sé ni qué implante es [...]
Buenas noches, Os envío este caso...
Buenas! Acude un paciente con una enfermedad periodontal avanzada, y debido a el pronóstico imposible de las piezas mandibulares se decide darle la opción de sobredentadura, sin embargo lleva un [...]
Hola a todos, Una paciente se puso implantes hace aproximadamente 6 meses, cuando le tocaba revisión y fue a la clínica donde se estaba haciendo el tratamiento, estaba cerrada. Ahora [...]
Implante puesto en Vitaldent hace unos años, quiero cambiar corona para mejorarlo estéticamente. Muchas gracias por la ayuda de antemano
implante de conexión trilobular tipo Nobel o implant direct de color amarillo pero con un tornillo pasante de multiin muy largo gracias por vuestra ayuda
creo que el 21 es straumann tissue level pero os agradeceria que me lo confirmaseis. Tampoco tengo idea de cual es el 1.1. necesito una ayuda profesional gracias de antemano
Buenas, tengo un hombre mayor unos 80 años con problemas de salud, que ha perdido la prótesis, llevaba una barra con atache tipo CEKA en los extremos. Tiene alguno de [...]