Pilares Locator
Buenas tardes. Tengo un paciente al que le tengo que reemplazar sus pilares locator pero desconozco fabricante. Os dejo fotos del caso. Muchas gracias de antemano.
IDENTIFICAR IMPLANTE 25
BUENAS TARDES...EL IMPLANTE DEL 24 ES ZIMMER Y NECESITO SABER EL 25
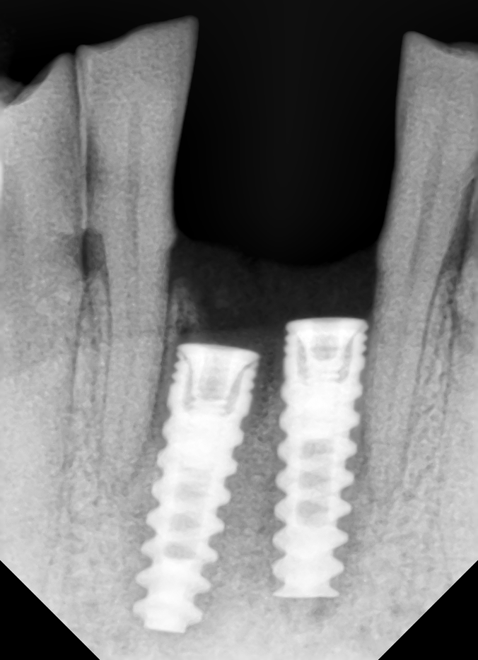
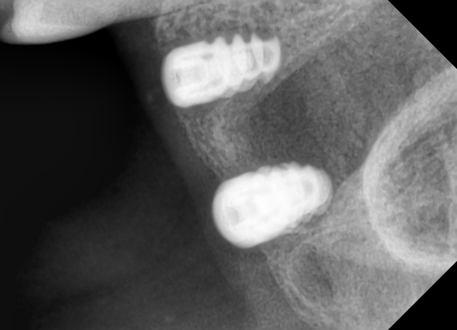
implantes en 4 cuadrante
Paciente de Idental que ha llegado a nuestra consulta. Colocados hace 2 o 3 años en Madrid
Paciente_Hermina Vintiu
Implantes colocados na Roménia +/- à 5 anos. Saber marca e modelo para poder reabilitar. Obrigada
implantes 2º parte!
El caso anterior no está solucionado,ha sido un error.¿Podríais ayudarnos?.Gracias
implantes
Me gustaría saber si alguién sabe de que marca son estos implantes,ya que han venido a mi consulta dos pacientes con los implantes sin rehabilitar,y la clinica donde se los [...]
Ayuda para reconocer el Implante
Buenas noches, hace 2 meses le colocaron este implante con ese aditamento protesico para una protesis total removible, pero ese aditamento no ajusta bien y se desaloja del implante, pudieran [...]
No sabemos implante en pieza 12
Buenas tardes; La paciente presenta implante en 12. La paciente quiere cambiar pilar por uno más estético y una corona nueva cementada. un saludo.









