SOS con los Implantes inferiores!!
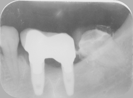
Buenos días detectives! Me podeis echar una mano con los implantes inferiores de este paciente? Se los pusieron hace muuuuuchos años impactándolos. Muchas gracias de antemano!
Buenos días detectives! Me podeis echar una mano con los implantes inferiores de este paciente? Se los pusieron hace muuuuuchos años impactándolos. Muchas gracias de antemano!
Estos implantes fueron colocados en Bélgica hace 7 años, actualmente lleva una prótesis cementada, agradecería que me pudieran ayudar con la marca de implantes que lleva (lo único que puedo [...]
Hola a todos. Tengo dificultades con este implante. Fue colocado en Canarias hace más de 20 años. Se trata de un hexágono externo alto y no he podido conectar ninguna [...]
Hola , buenas : Quisiera que me ayudeis en el caso de un amigo , no sabe que implantes son , yo creo que son ex. externo , puede [...]
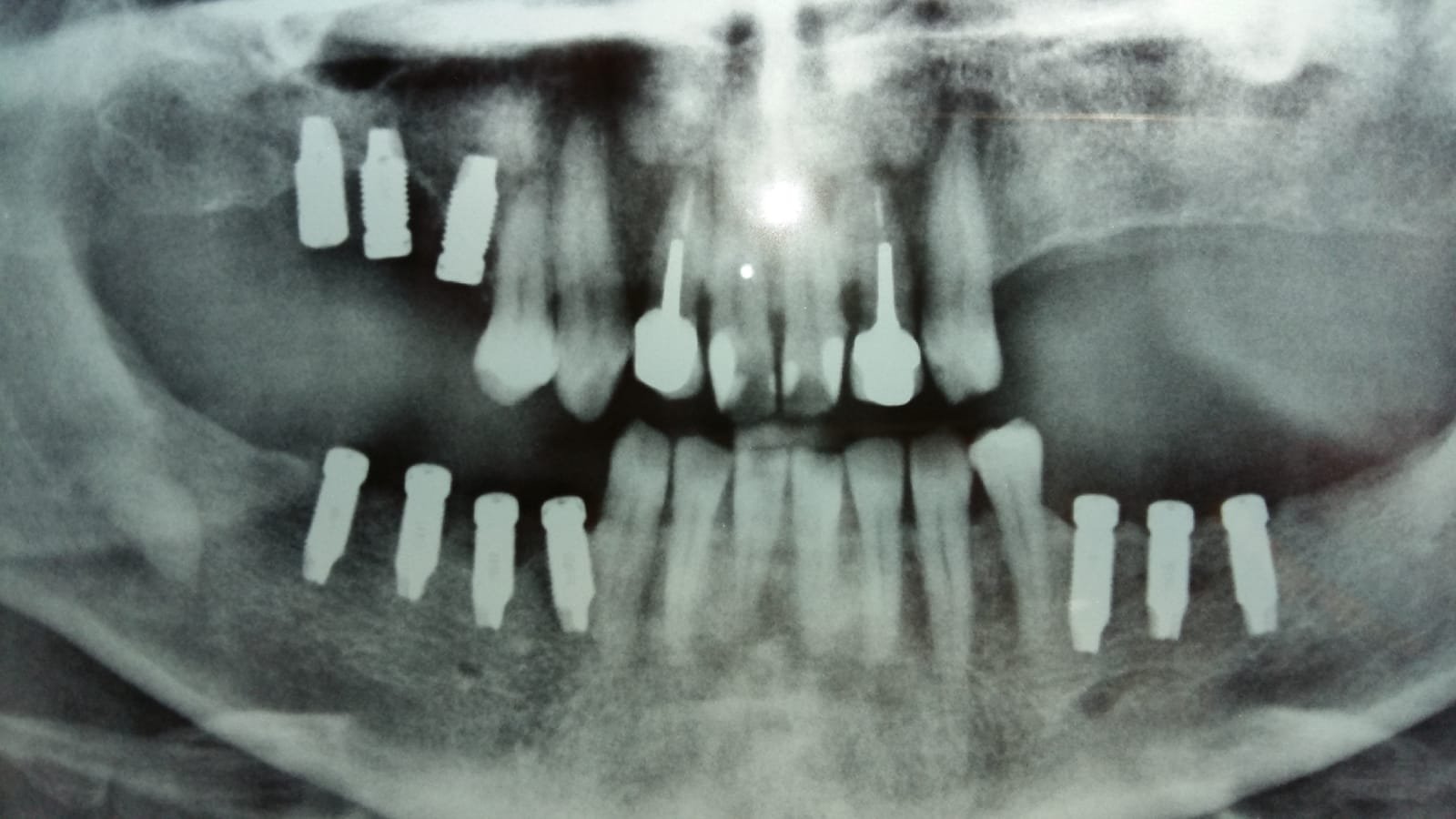
Buenas tardes. Me pongo en contacto con ustedes para saber su opinión sobre los implantes de este paciente. Son implantes colocados hace muchos años, el paciente tiene 83 años de [...]
Buenos días. El otro día llegó a la consulta una paciente con implantes uno de ellos con movilidad de la corona. Se consiguió descementar pero no sabemos con qué apretar el [...]
Paciente con implante en 26 acude para cambiar la corona. Es un hexágono externo pero la distancia entre lados del hexágono es entre 3.2 y 3.5, métrica 1.8, creo que [...]
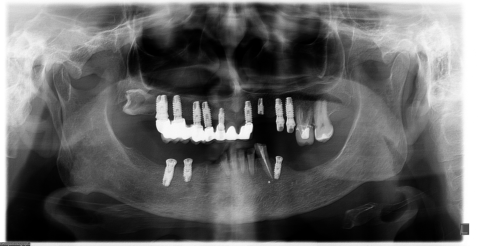
Saludos a todos. Implante (2.4) que sustentaba un puente cementado de 24-27 que partió debido a que el pilar en el que se cementaba era incompatible con la conexión del [...]
Implantes colocados hace alunos años en Vitaldent en una consulta en Barcelona que hoy no existe