El implante del 46 no se cual es
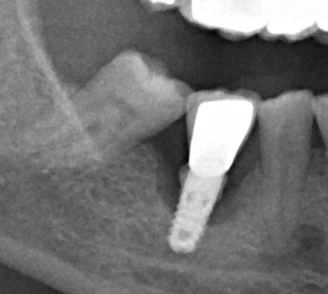
Hola a todos, Voy a realizar una cirugía regenerativa en el implante del 46 , no se que implante es y necesito saberlo para localizar el tornillo de cierre, su [...]
Hola a todos, Voy a realizar una cirugía regenerativa en el implante del 46 , no se que implante es y necesito saberlo para localizar el tornillo de cierre, su [...]
Hola! Me llega a la clínica este paciente sin ningun tipo de información sobre los implantes que lleva, con los pilares puestos y sin las coronas porque las ha perdido. [...]
Este paciente acude a nosotros porque desde que le colocaron la corona hace dos años se le afloja cada dos o tres meses. No nos facilitan la información del implante [...]
Buenas tardes: Tengo una auxiliar de las clínicas en la que trabajo, que le pusieron este implante hace 7 años aproximadamente, la clinica en la que se la pusieron han [...]
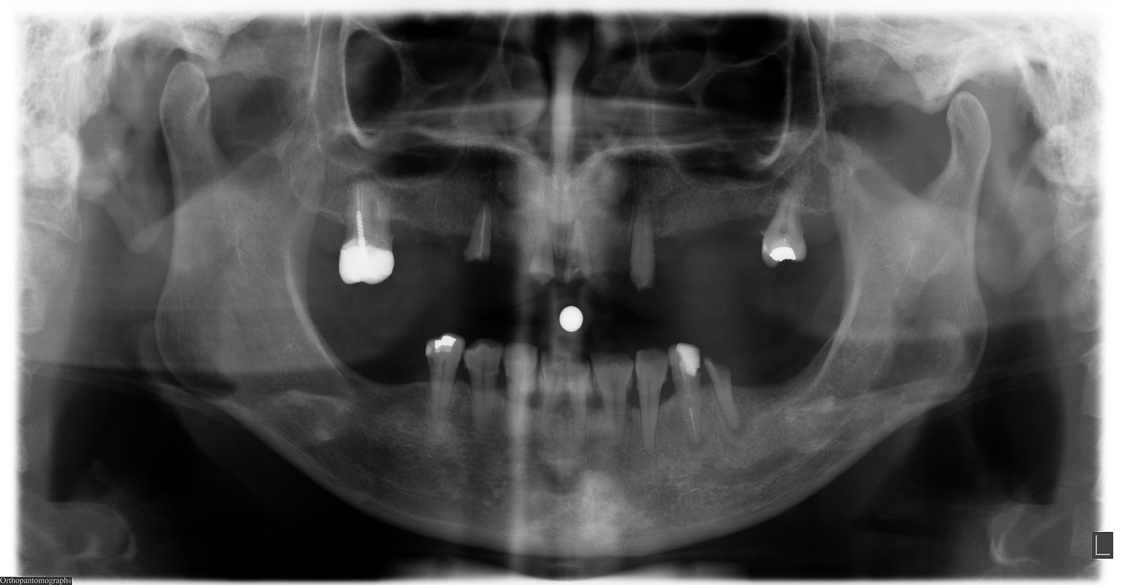
Hola. Esta paciente acude a mi consulta para recibir tratamiento. Los implantes mandibulares sé que son Avinent hexágono externo de diámetro 3.8 y compatibles con hexágono tipo Bränemark universal, sin [...]
Buenas. Me gustaría saber si alguien reconoce estos implantes. Son de hexágono externo y llevan multiunit. Es una paciente de iDental. Muchas gracias Un saludo
paciente llega a consulta con implantes desconocidos, al laboratorio nos llega fotos de radiografía
Podrían ayudarme con estos implantes. Fueron colocados en Madrid hace aprox 6 años para una sobredentadura con locator. Muchisimas gracias
Paciente que viene para nueva rehabilitación superior, necesitaria saber qué tipo de implante son estos dos que os mando en la foto y radiografía, pues me interesaria usarlos en la [...]
Hola compañeros me ha llegado este caso de idental y por supuesto no tiene nada que haga referncia a sus implantes parece que tiene dos tipos diferentes en el segundo [...]