Marca implantes
hola me podríais ayudar con la marca de estos implantes, es una sobredentadura con dos implantes de bola.
hola me podríais ayudar con la marca de estos implantes, es una sobredentadura con dos implantes de bola.
Necesito saber que implantes es.
Buenas, compañeros. Pretendo rehabilitar a esta paciente “nómada de clínicas”. Cómo podréis ver tiene al menos 3 tipos de implantes, todos colocados en España desde hace unos 10 años los [...]
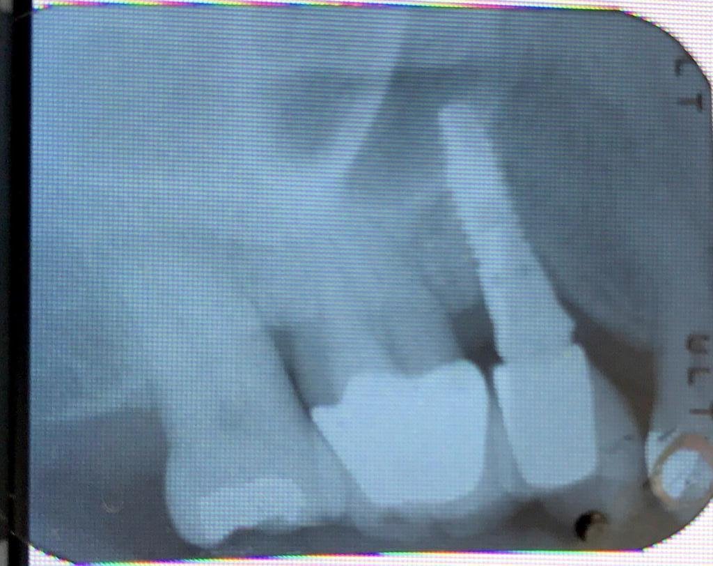
Necesito ser la marca del implante del 25
Paciente procedente de franquicia cerrada, sin carnet de implantes ni documentos que acrediten tipo de implante que lleva por supuesto, necesita rehabilitar los implantes . Nos da pista, cree que [...]
Paciente viene a consulta manifestando que se le salio la corona del implante, que se realizó en Venezuela hace 3 años, se evalúa clínicamente la situación y se procede a [...]
No se que marca de implante es, se lo colocó en idental.gracias
Me gustaría saber la marca de los implantes que se ven en la ortopantomografía adjunta, colocados hace unos 10 años en la clínica del doctor Ignacio Corral Pazos. Llevan tapones [...]
Hola. Necesitamos identificar estos implantes. Se colocaron según la paciente hace más de 20 años. Gracias
Necesito identificar los implantes que lleva puestos este paciente para planificar el caso. Creo que son todos iguales. La radiografía es de hace unos años pero el paciente ha reaparecido [...]