No se de que marca son los implantes
paciente que viene de iDental tengo que detectar los implantes para rehabilitarlo. Muchísimas gracias de antemano
paciente que viene de iDental tengo que detectar los implantes para rehabilitarlo. Muchísimas gracias de antemano
Buenas. Me gustaría saber qué marca de implante, conexion y tamaño. ccHe conseguido desatornillar Corina y poner pilar de cicatrizacion GRACIAS
Que marca de implante es el de la foto? el caso es de Argentina.
Hola , me gustaria saber donde puedo compra el tornillo que va a ese multiunit porque no es compatible los que tengo!! me pueden decir que multiunit es, que tornilleria [...]
Buenas compañeros, me podríais ayudar con la marca de los implantes ? podrían ser bti? muchas gracias y 1 saludo
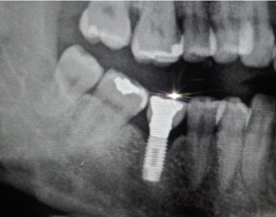
Hola, pcte me llega a la consulta con implante sumergido de la pza 1.1, quisiera saber marca y más importante conexión y diámetro de esta. Gracias
buenas noches compañeros, este implante se lo colocaron a un chico hace 7-8 años y desde entonces va con el provisional, alguien podría ayudarme con la marca y el tipo [...]
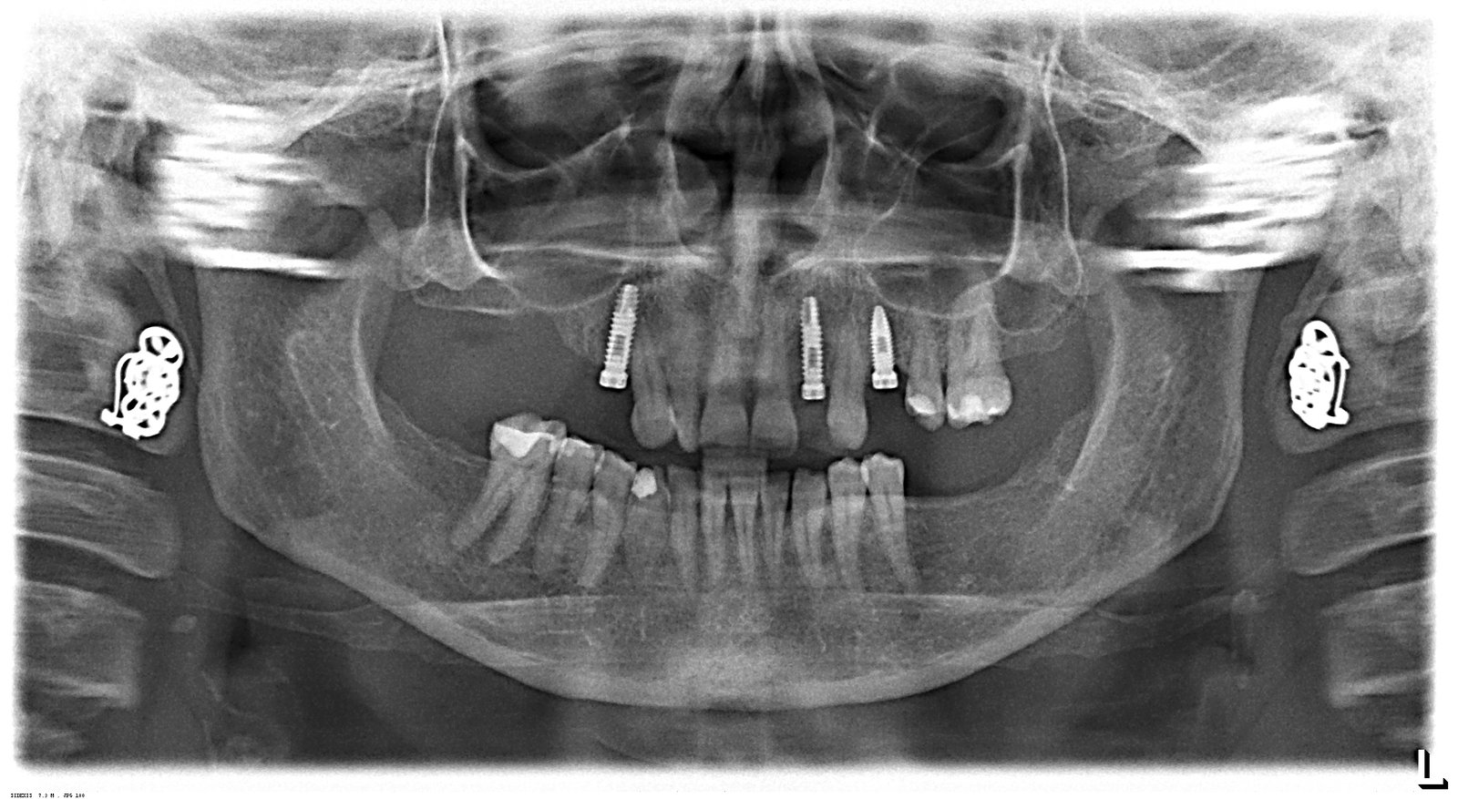
Buenas tardes, Necesito ayuda con este caso. Es un paciente de idental, los implantes superiores se los colocaron antes del cierre. Hace unos 6 meses. Acudió a consulta con los [...]
Tenemos una nueva paciente que le es imposible averiguar el tipo de implante que lleva, su odontólogo falleció y cerraron la clínica. Agradecería me indicasen el tipo de implante que [...]
Buenas compañeros me podriais ayudar con la marca del implante del 36? y tambien con el destornillador y compatibilidades, muchas gracias