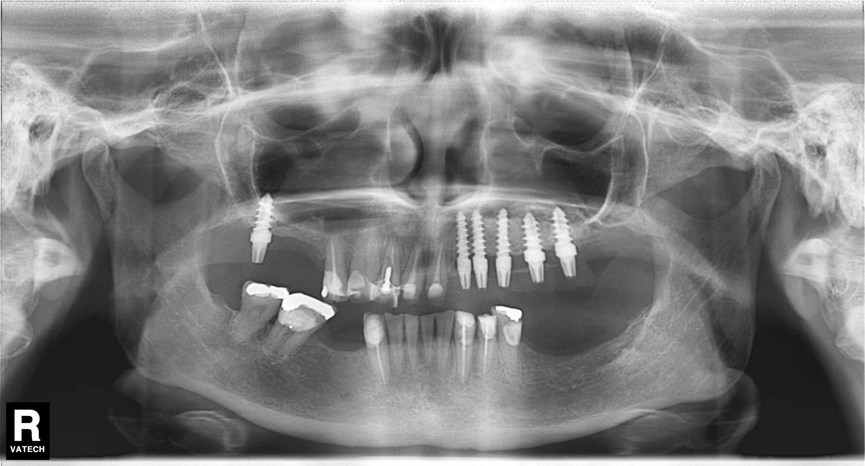
Implantes colocados en el 2004
La paciente se colocó en el 2004 los implantes ...ayuda porfavor necesito saber que sistema son para poder rehabilitarlos
La paciente se colocó en el 2004 los implantes ...ayuda porfavor necesito saber que sistema son para poder rehabilitarlos
SOS. Me mandan de clinica estas fotos. Ayuda! Muchas gracias.
Hola Me gustaría saber la casa comercial y métricas, Muchas gracias por ayudar
Hola, me gustaría saber la marca de estos implantes, y si es posible el sistema de bolas para sobredentadura, Gracias.
Hola buenos días adjunto Rx Panorámica para ver si me pueden decir que marca de implantes es, a la paciente le dijeron que eran implantes españoles, pero eso no es [...]
Buenas tengo está paciente que viene de iDental. El implante del 26 es conecxio externa universal, así que no hay problemas. La cosa está en el 24 que es un [...]
Buenas compañeros , me podriais ayudar con la marca de este implante? 1 saludo y muchas gracias