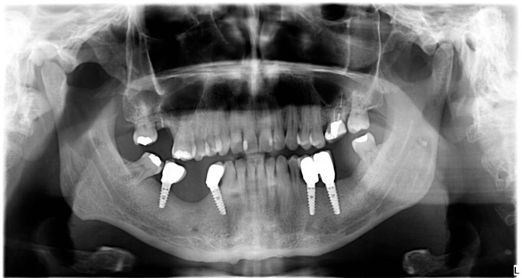
No se que implante y conexiones compatibles puedo utilizar para reponer la corona.
Se trata de un implante de conexión interna colocado hace mas de 20 años nos comenta el paciente.
Hola me podrian decir que implantes son estos? Gracias
Hola me podrian decir que implantes son estos? Gracias
tipo de implante
hola, quisiera saber tipo de implante,marca...
Ayuda con este Implante
Me han derivado este pte y no se por donde comenzar. Agradeceria ayuda con la identificacion . Gracias!
¿Qué implante es?
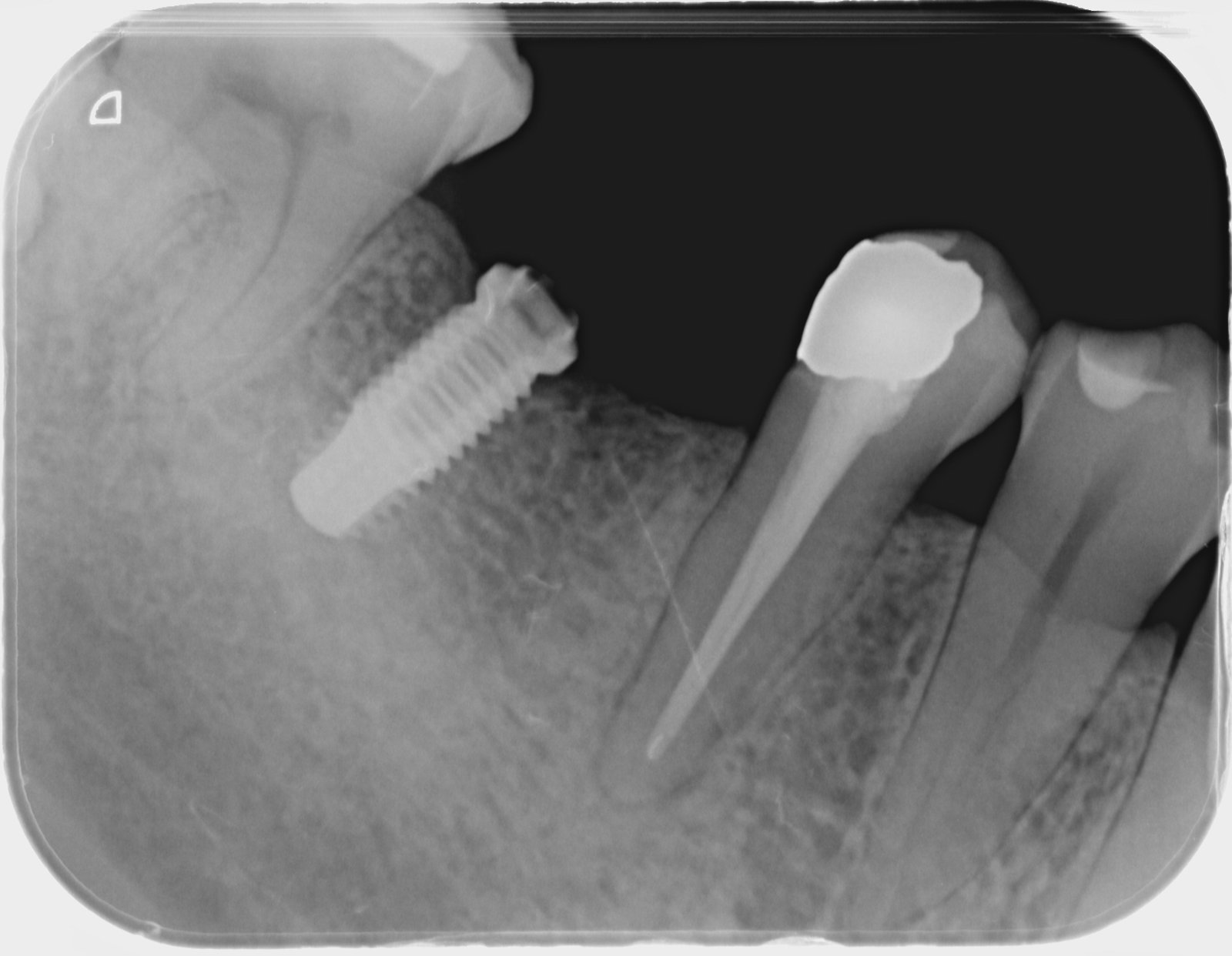
Necesito averiguar el tipo de implante de la siguiente radiografía.
No se que implante es.
aporto imagenes un abrtazo.gracias.
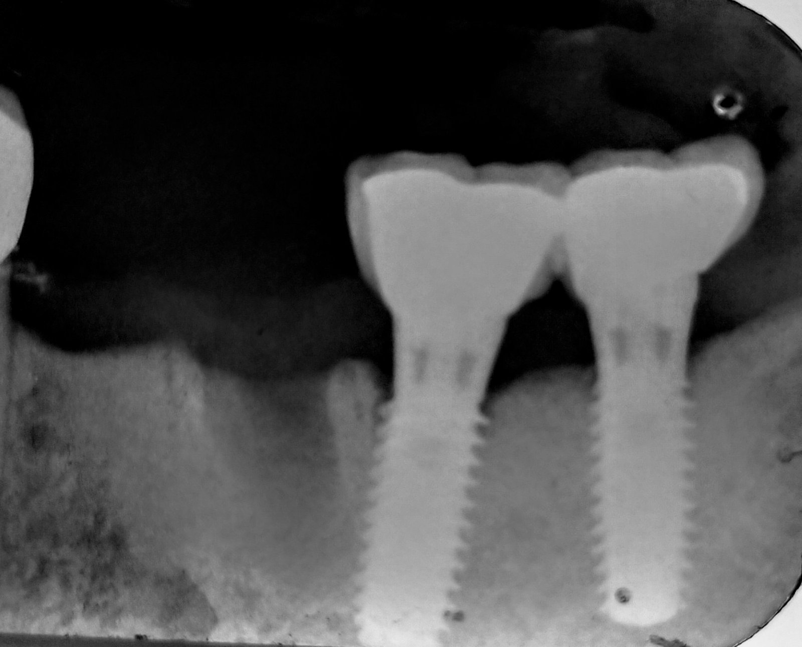
Buscando Conexión y Compatibilidad de dos implantes.
Buenas tardes!! tengo un caso que necesito restaurar pero no logro identificar bien los implantes se que es una conexión octagonal pero no se con que sea compatible , los [...]









