Implante Argentino 1994
Paciente que acude a la consulta con implante en posición del 36 sin corona ya que le fracasó un puente dentoimplanto soportado en 34-36 colocado en 1994 se trata de [...]
Podéis identificar el implante?
Tengo que cambiar varias coronas a un paciente y quisiera saber la marca y métrica de los implantes. A ver si me podéis ayudar. Muchas gracias.
Implante desconocido en 46
Buenas tardes compañeros, tengo una paciente que había acudido por primera vez a realizarse una higiene en Diciembre e hicimos Rxpan para revisar su protesis fija superior y sus implantes, [...]
marca de implantes
Buenas tardes: Quisiera saber la marca de implantes que lleva esta paciente. parece ser que son diferentes los del primer cuadrante y los del segundo. es una paciente que se [...]
paciente con sobredentadura. solo le queda ese implante
hola, nos ha venido un paciente con solo este implante en boca. llevaba sobredentadura. le hemos colocado varios implantes nuestros tambien, pero nos gustaria añadir este implante a la [...]
Implante en 24
Buenas a todos, No sabemos qué implante puede ser este que muestro. Es una conexión hex interna sin cono morse y con algo azul en la rosca que no se [...]
Identificar implantes
Necesito identificar para rehabilitar
implantes en el sector anterior. que son?
hola chicos, me ha venido este paciente con los implantes en el sector anterior y no sabemos que son. el hombre no lleva protesis y el no se acuerda en [...]
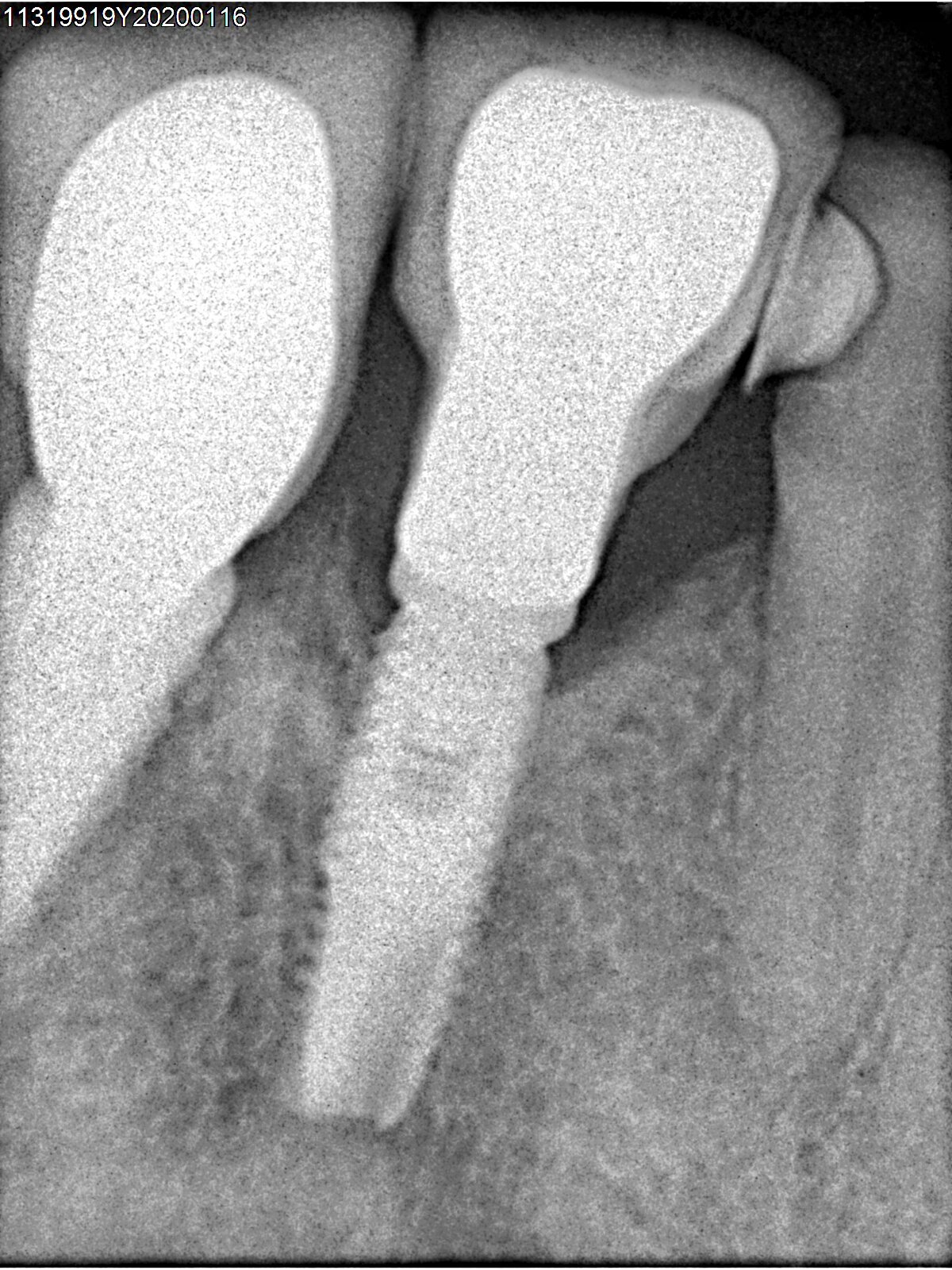
Que implante es el 36?
Buenas tardes compañeros. Acudo a vosotros para ver si me podéis ayudar. Sabríais decirme marca y modelo? Gracias!








