¿DE QUÉ IMPLANTES SE TRATAN?
Hola a todos, Me estreno con este caso que entra por la puerta. La clínica donde iba la paciente cerró y le quedó pendiente un puente sobre implantes en el [...]
Hola a todos, Me estreno con este caso que entra por la puerta. La clínica donde iba la paciente cerró y le quedó pendiente un puente sobre implantes en el [...]
ACUDE PACIENTE DE IDENTAL CON IMPLANTES COLOCADOS EN AGOSTO DE 2017 SIN CARGAR. LA PACIENTE VIENE PARA COLOCAR CORONAS, NO PUEDE ACCEDER A SU HISTORIAL CLINICO. CONEXION HEXAGONAL. PROBAMOS ADITAMENTOS [...]
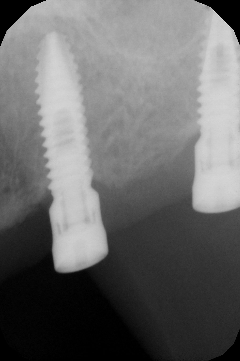
Hola, me ha llegado este paciente con los implantes del sector anterior he conseguido levantar el puente y es conexion interna pero no se la marca ni la medida para [...]
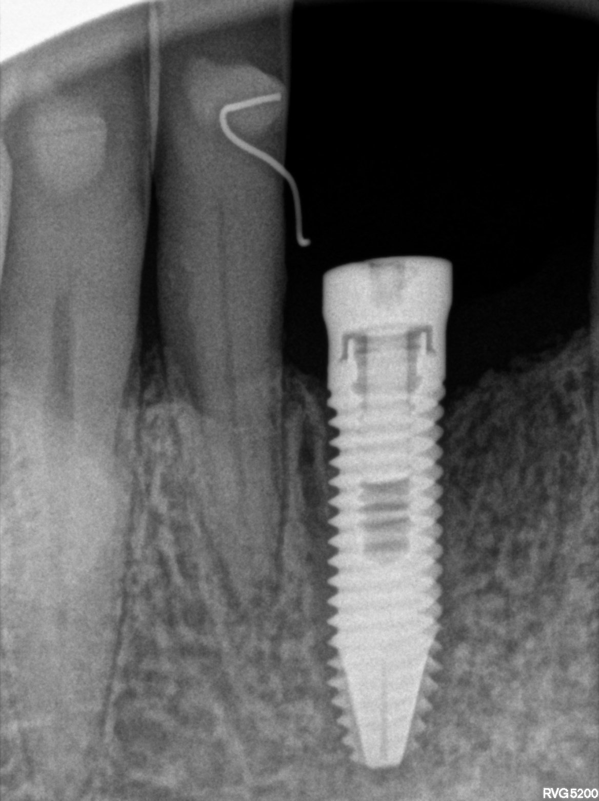
El Paciente me viene con la pròtesis en la mano . Implantes Straumann RN . Pilares intermedios . Fractura del implante del 24 : RN : 3,3 . En el [...]
Buenas tardes. Viene esta paciente con un implante en 14 con el pilar de prótesis, se le ha roto el provisional, necesita hacer la corona. El implante fue realizado en [...]
Buenos días. me ha aparecido una paciente con implantes de hace muchísimos años y que deswa cambiar las coronas. he podido desatornillarlo pero no encuentro transfer para este caso y [...]
Buenas tardes: presento un caso de un paciente que le colocaron hace unos 15 años implantes y rehabilitaron con una híbrida. La clínica donde se lo realizaron ha desaparecido. Paciente [...]
Buenos días, el caso en cuestión es un paciente al que le colocaron un implante en el 4.1 postextracción y lleva más de un año sin realizar la corona. La [...]