Implante en 25 sin identificar
Paciente que ha sido tratada anteriormente en 2 consultas. En la primera le colocaron implantes Astra y después de 3 años cargados, 2 de ellos fracasaron por periimplantitis. En la [...]
Paciente que ha sido tratada anteriormente en 2 consultas. En la primera le colocaron implantes Astra y después de 3 años cargados, 2 de ellos fracasaron por periimplantitis. En la [...]
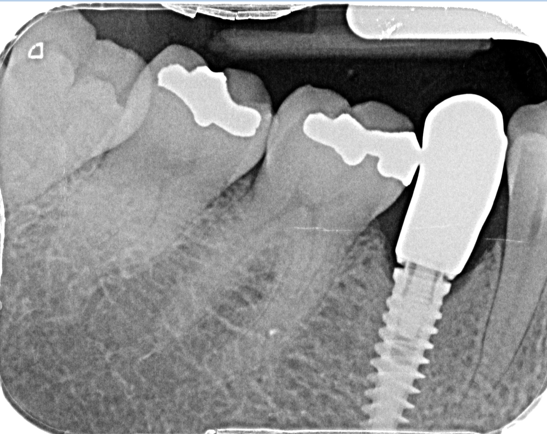
Alguien podria ayudarnos a identificar el implante y el pilar de la rx. Muchas gracias!!!!
Paciente familiar de un compañero con prótesis atornillada de 12 a 22 sobre implantes en 12 y 22. Presenta fractura del tornillo protésico en 12 y fractura de la conexión [...]
Buenos días compañer@s! Me llega a la clínica este caso... tengo que rehabilitarlo, me podríais ayudar a identificar los implantes? Muchas gracias de antemano!!!!!!!!!
De clínica nos llegan estas fotos para ver si sabemos cual es el implante que lleva la paciente. El implante se colocó en I Dental hace un año aproximadamente. Espero [...]
Hola. Alguien puede decirme que implante puede ser este? . Se lo pusieron a una paciente de idental hace 3 meses y la corona de Zirconio dice que ya se [...]
Que implante es???
Me pongo en contacto con ustedes por si podrían ayudarme para saber cuál era la marca habitual de tornillos que utilizaban en las clínicas Idental. Sin más,reciban un cordial saludo. [...]
[…]