Buscamos marca de Implante ( sector 3 )
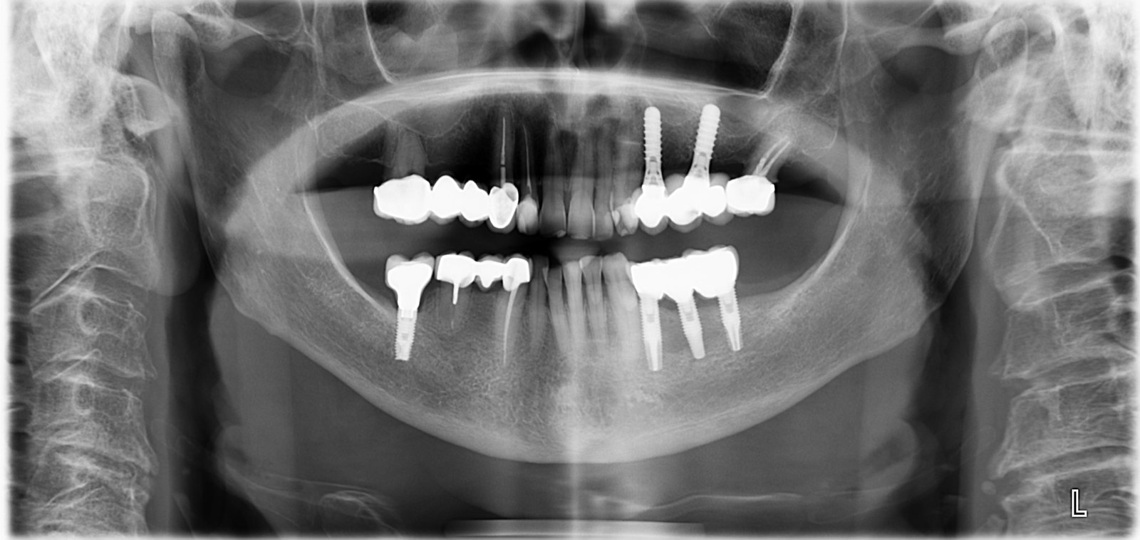
Buenas tardes, Solicitamos por favor, la marca de Implante del sector 3. Tiene un puente atornillado sobre implantes. Esperamos su respuesta lo antes posible, por favor. Muchas gracias de antemano. [...]
Buenas tardes, Solicitamos por favor, la marca de Implante del sector 3. Tiene un puente atornillado sobre implantes. Esperamos su respuesta lo antes posible, por favor. Muchas gracias de antemano. [...]
Hola a todos compañeros. He recibido una paciente a la que, me cuenta, un dentista alemán le colocó 4 implantes con unos retenedores tipo bola; de los cuales uno fracasó [...]
paciente acude con corona de resina cementada sobre un pilar rotatorio sin tornillo pasante.no tiene ningún tipo de información acerca del ioi solo q se lo colocaron hace un par [...]
tengo dudas sobre la marca y la plataforma de estos implantes mandibulares, tiene al parecer un sistema multiunit y necesito saber si es necesaria una llave especial para retirarlos, otra [...]
Me llego esta paciente con este implante q es una conexión cónica y después va el hexágono ,,, no tiene ninguna información del implante y manifiesta que se lo coloraron [...]
Buenos días, tengo este caso de implante fracasado de un puente de 4 unidades de 24 a 27. La paciente se quejará de que algo se movía, quité el puente [...]
Buenos días, os adjunto las fotografías de los análogos y la radiografia panorámica de un caso de sobredentadura al cual le tengo que realizar una nueva con locator o similar, [...]
Buenas, me ha llegado este paciente de IDental, me podes ayudar con los implantes que lleva? los del 4º cuadrante parecen diferentes. Gracias
Implantes colocados en Madrid pero por dentista chilena( por si intuís que los implantes no son europeos y esto da pistas) la dentista ha fallecido y al paciente le es [...]
La paciente acude con 2 implantes colocados sin rehabilitar desde hace años. Ha acudido a distintos dentistas y nadie sabe que lleva puesto. Son de plataforma externa, parecen de diametro [...]