Implante en 14
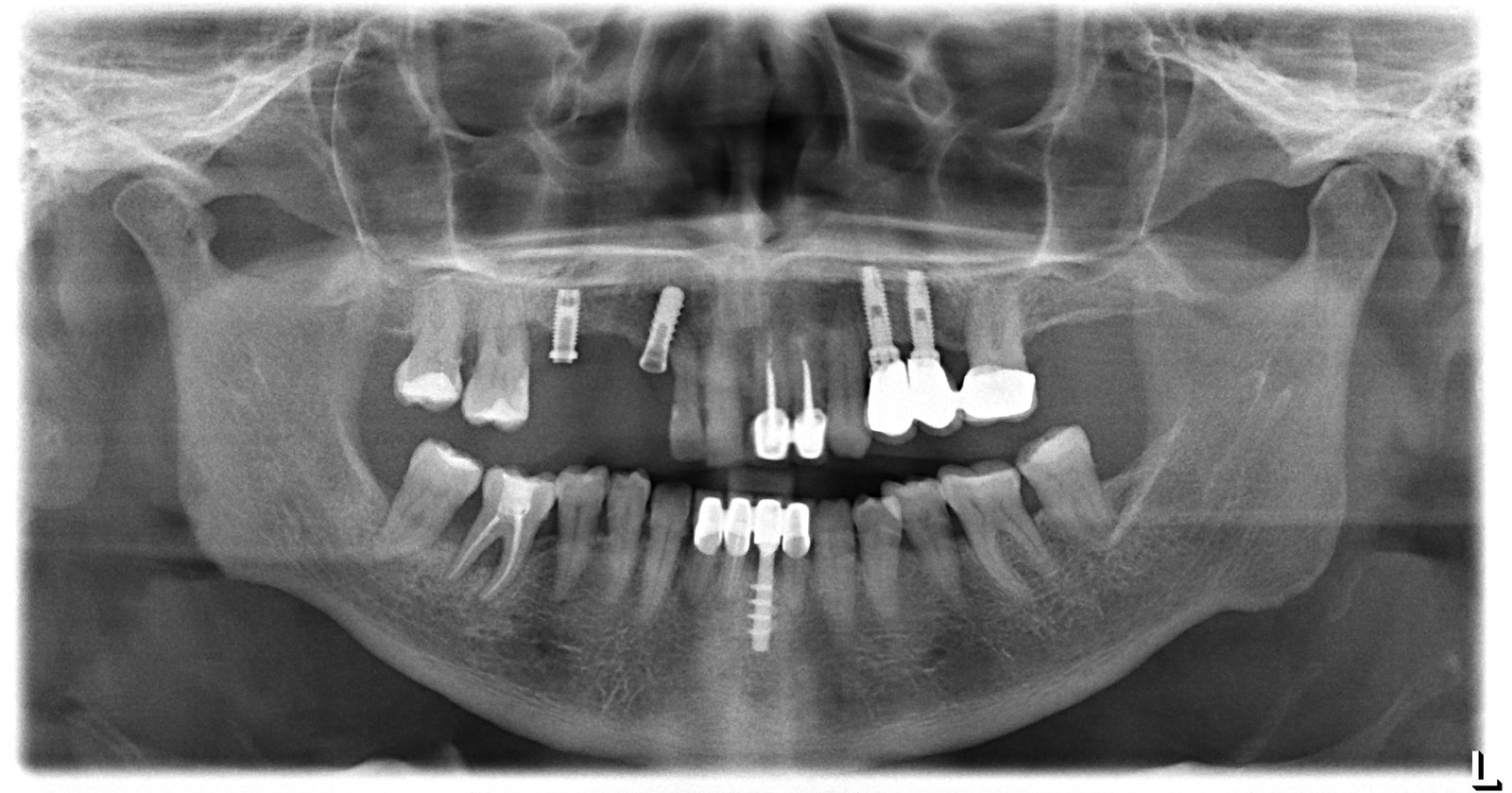
Buenas tardes, adjunto la radiografía del implante del 14, colocado entre 2005 y 2009 según la paciente. Vino con la funda descementada y perforada por lo que queremos cambiarla. ¿Sabéis [...]
Buenas tardes, adjunto la radiografía del implante del 14, colocado entre 2005 y 2009 según la paciente. Vino con la funda descementada y perforada por lo que queremos cambiarla. ¿Sabéis [...]
Paciente que viene de Idental. La prótesis superior hay que cambiarla, pero no sé qué implantes lleva. Ahora lleva una provisional atornillada que se le cae. Que aditamentos necesito??? Que [...]
Paciente de 60 años acude a la consulta para colocar Puente Metal porcelana sobre implantes en primer cuadrante. Los implantes se los colocaron en el hospital de la Princesa hace [...]
buenas tardes me ayudarían a identificar los implantes de 4 cuadrante ? Un saludo
Buenas tardes, Necesito saber qué implante es . Gracias,un saludo.
Buenas tardes: Me ha llegado este caso de un puente para cambiar pero el paciente y la clínica desconocen que implantes son. La radiografía que adjunto está tomada con [...]
Buenas tardes. quería saber cual era el implante situado a nivel del 16. Muchas gracias.
Buenas, acude esta mujer a mi clínica para rehabilitar lo que le queda en maxilar superior. El 13 y el 23 van a ser exodonciados y la idea de la [...]
es un caso de idental, que ha cerrado y ha dejado a los pacientes con el trabajo pagado y a la mitad, tengo varios casos y me gustaria saber con [...]