Inicio › Foros › Identificar implantes dentales › IDENTIFICAR IMNPLANTE PARA REHABILITRAR CON TRANSEPITELIAL
- AutorEntradas
Buenos días compañeros. Necesitamos rehabilitar con transepitelial estos implantes que veis en foto y en RX periapical y desconocemos marca y modelo
Buenas tardes! Gracias por confiar en http://www.implantdetective.com
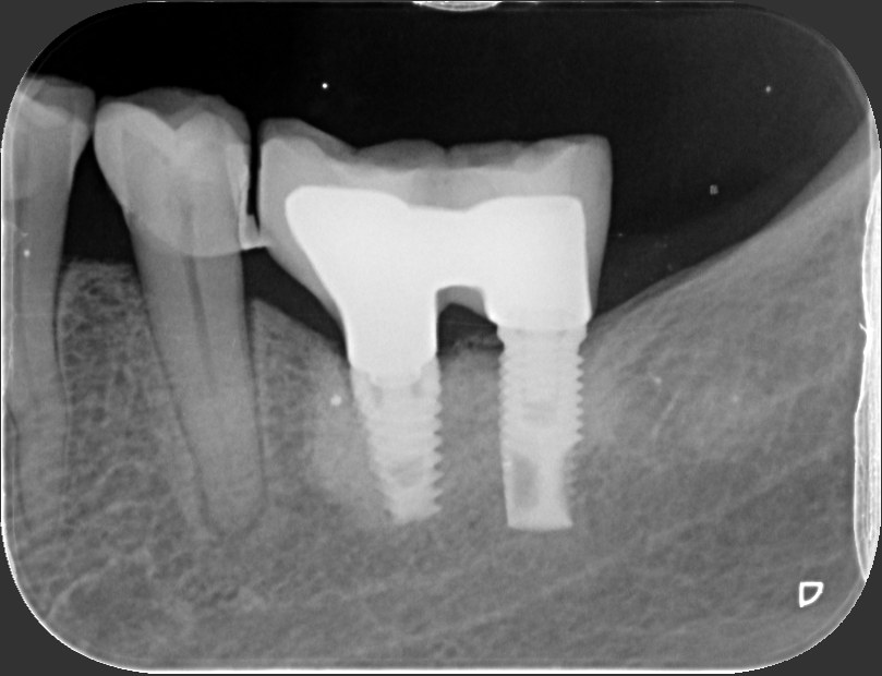
Perdona que te pregunte, pero ¿la rx corresponde con la restauración de la foto? Lo digo porque la rx es un puente posterior, y las imágenes es de un unitario anterior. Los de la rx, el posterior es un hexágono externo plataforma RP (4,1), mientras que el mesial parece un hexágono interno compatible, de plataforma 3,5. En otro implante, parece un Eckermann Duplo.
En cuanto puedas, nos dices.
Un saludo.
Estoy completamente de acuerdo. Se han colado dos casos diferentes.
El implante mesial es un duplo como bien dice José Luis y los otros un hexágono interno y otro hexágono externo.
¿Cuál es el caso que te interesa saber?.
Gracias
Buenas tardes de nuevo. Pido disculpas, la RX inicial no es correcta. La RX correcta es esta que se corresponde con las fotografías
Lo que te dijimos, Eckermann Duplo.
Genial, muchas gracias, Eckermann Duplo de que plataforma?
No sé por qué dijimos Duplo, sería All Espiral, y creo que sólo tiene una plataforma.
- AutorEntradas
- Debes estar registrado para responder a este debate.




