Inicio › Foros › Identificar implantes dentales › Implante conexión interna pieza 24
- AutorEntradas
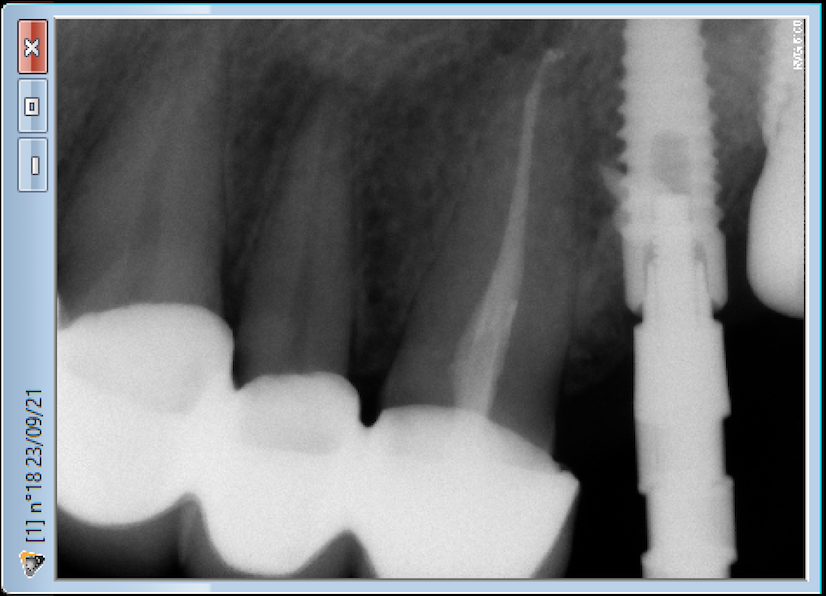
Buenos días. OS adjunto las fotografías de las periapicales de un implante colocado en la pieza 24, para que me ayudéis con la identificación.
Muchas gracias de antemano!!! Un abrazo a todos
Buenos días Fer! Qué bueno verte de nuevo por aquí!
Veo que has probado un transfer de anyridge. ¿Tendrías una foto de la conexión del pilar que llevaba? Me imagino que habrás visto que no es un hexágono interno, pero es que tengo dudas de si lo que se ve es un bisel de esa conexión o pudiera ser una conexión tipo novel active.
Si pudieras mandarnos esa foto, te lo agradeceríamos.
Un saludo!
Buenas tardes Fernando,
Se trata de un implante BTK de 4 mm de diámetro.
La plataforma que tiene es de la conexión interna tipo Zimmer de 3.5 mm. Métrica de tornillo 1.8 mm. Destornillador 1.2 mm hexagonal.
Un saludo y gracias por confiar en el equipo de http://www.implantdetective.com
- AutorEntradas
- Debes estar registrado para responder a este debate.


