Ayuda
Me ayudan para saber que implante y medida es? Gracias
Me ayudan para saber que implante y medida es? Gracias
Buenos días. Me pongo en contacto con vosotros para que me ayudéis con este caso. Este implante es para extracción, pero tiene al lado uno igual al que voy a [...]
Hola compañeros, Hoy he atendido en la consulta a un paciente que ha venido con la corona sobre implante en la mano y con el tornillo protésico roto. [...]
Buenas, paciente acude a consulta con prótesis sobre implante removible totalmente desajustada, necesito identificar marca de implantes y Locator. Los implantes tienen periimplantitis. Gracias.
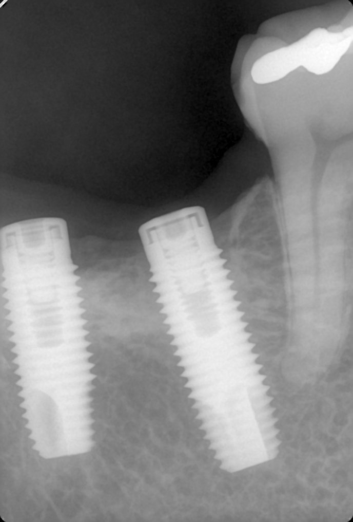
Le han puesto dos, en 47 y 48 pero el 48 no lo voy a rehabilitar. les agradecería conocer especificaciones del implante del 47 para poder rehabilitarlo gracias. son implantes [...]
Hola compañeros. Albert nos pide ayuda con este caso. 😇
Porfavor, podrían ayudarme a identificar los tres implantes de la radiografía. ¿Que conexión tienen?. ¿Que aditamento de protesis necesitaría para poder rehabilitar los? Gracias
El implante de la izquierda no sé de que marca puede tratarse y q conexión y si es compatible con alguna otra.el 22 es un 3i conexion interna de 3.25.muchas [...]
Hola buenas tardes, necesitamos saber que implante es el de la pieza 27. Para poder colocar la corona.
Tengo que rehabilitar estos implantes. Muchas gracias de antemano