Averiguar Marca de Implante en 24
Buenas tardes, Solicitamos información de la marca del Implante en 24. Muchas gracias. Un saludo.
Buenas tardes, Solicitamos información de la marca del Implante en 24. Muchas gracias. Un saludo.
Buenas tardes, Necesitamos averiguar la marca de los Implantes superiores. Muchas gracias. Un saludo.
gracias de antemano!
Buenas tardes compañeros, necesito saber el tipo de implante que tiene esta paciente en las posiciones 36 y 37. No sé ni puedo ver las conexiones pues sigue cementada la [...]
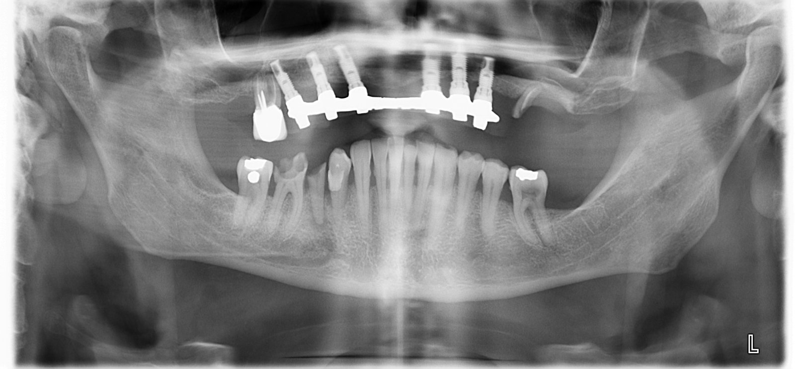
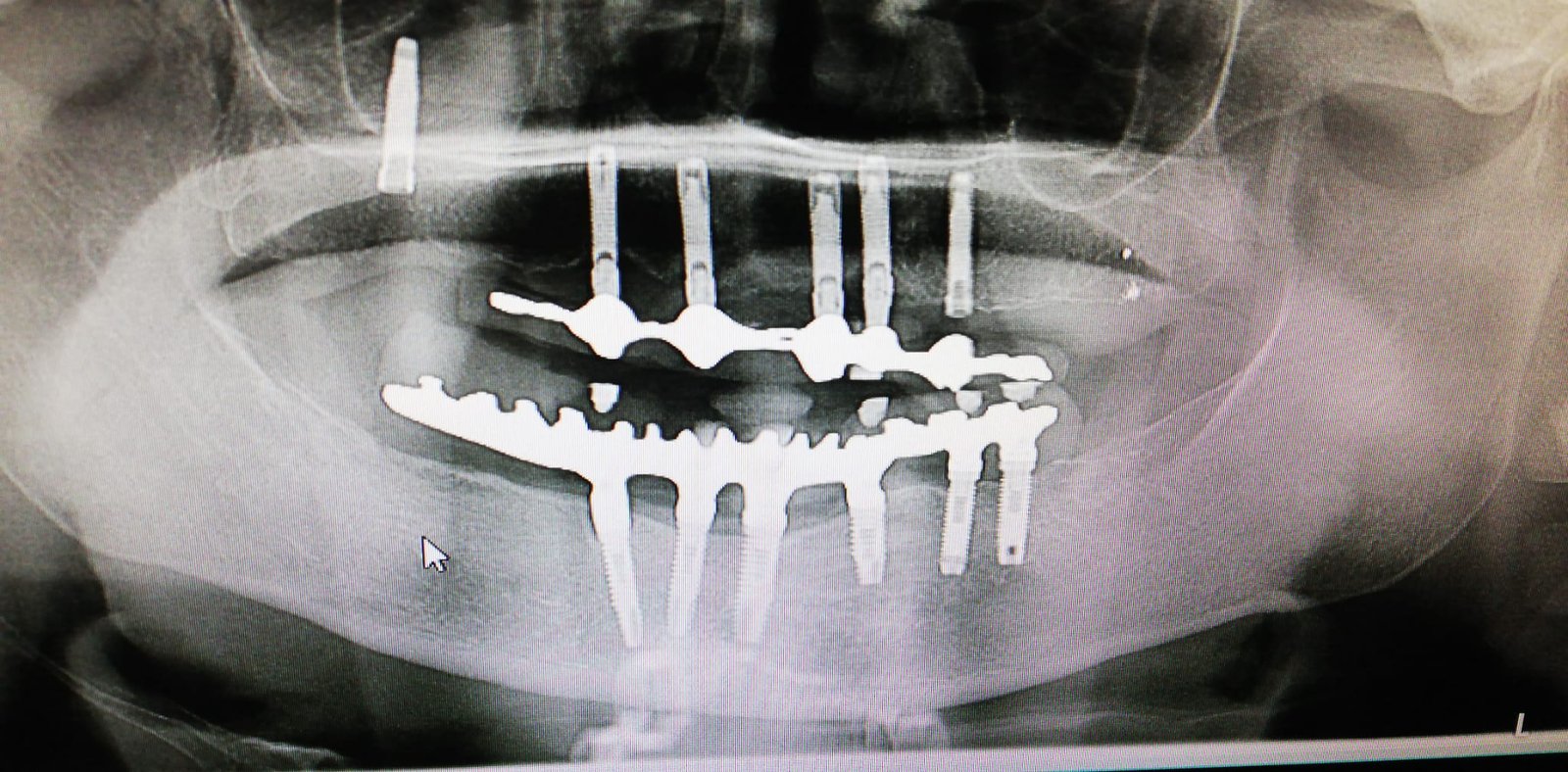
Paciente de 60 años, se colocó implantes hace 20 años, acude a nuestra consulta para cambiar prótesis híbrida. Necesito saber que implantes lleva creemos que son de conexión interna. Además [...]
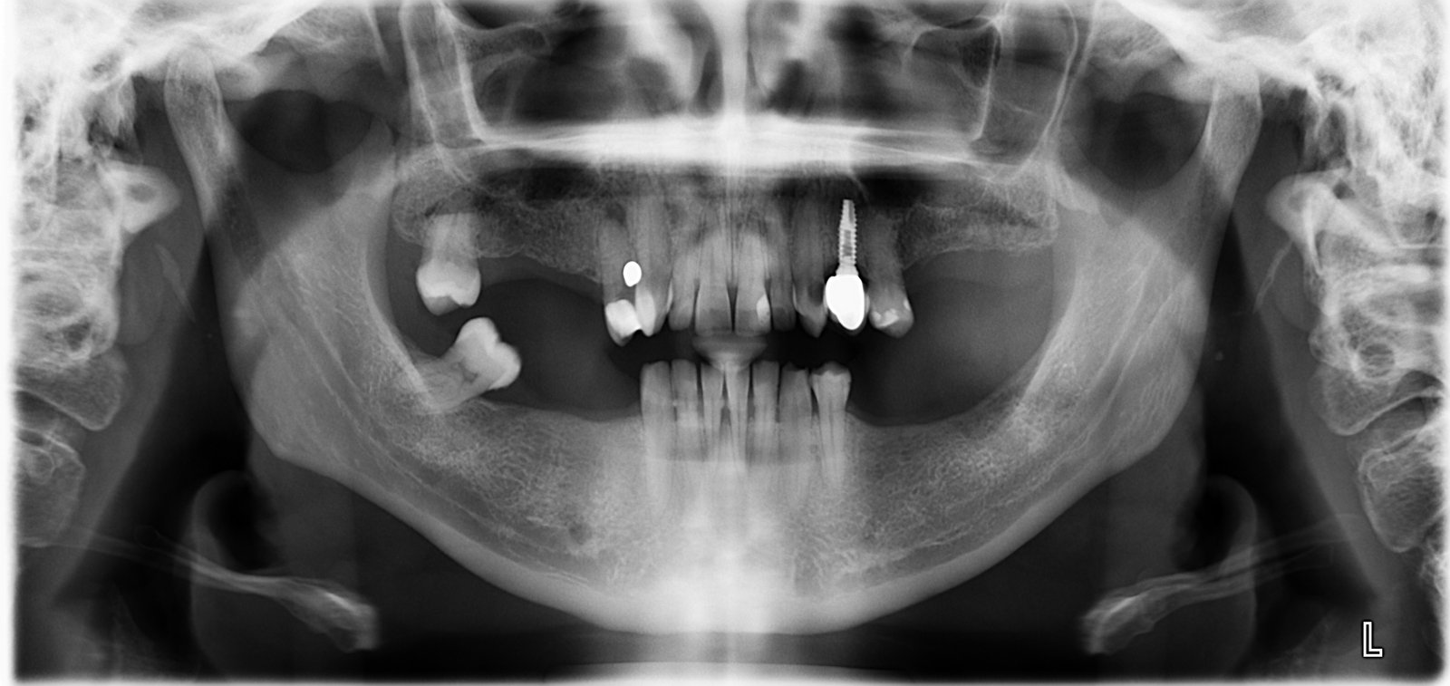
Según la paciente fue colocado hace unos 15 años, sabéis que implante es??
Paciente mujer fumadora de 10 cigarrillos al día, presenta movilidad de rehabilitación superior total con laminas de Linkow bilateral. El tratamiento fue realizado hace 30 años; presenta fistula en palatino. [...]
Buenas tardes. Me gustaría saber si me pueden ayudar a saber cuales son los implantes que tiene mi paciente, para así poder comprar los aditamentos. Muchas gracias de antemano por [...]