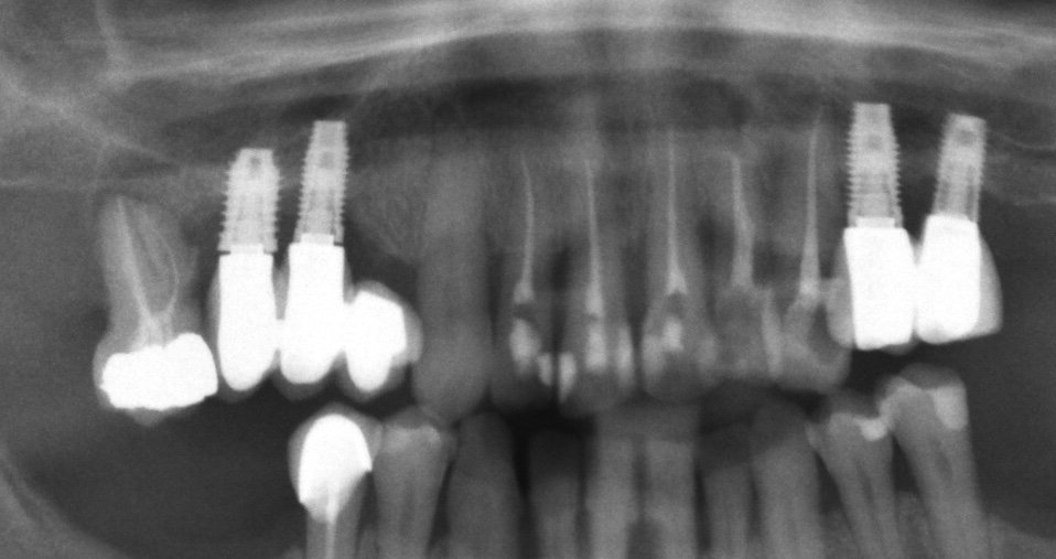
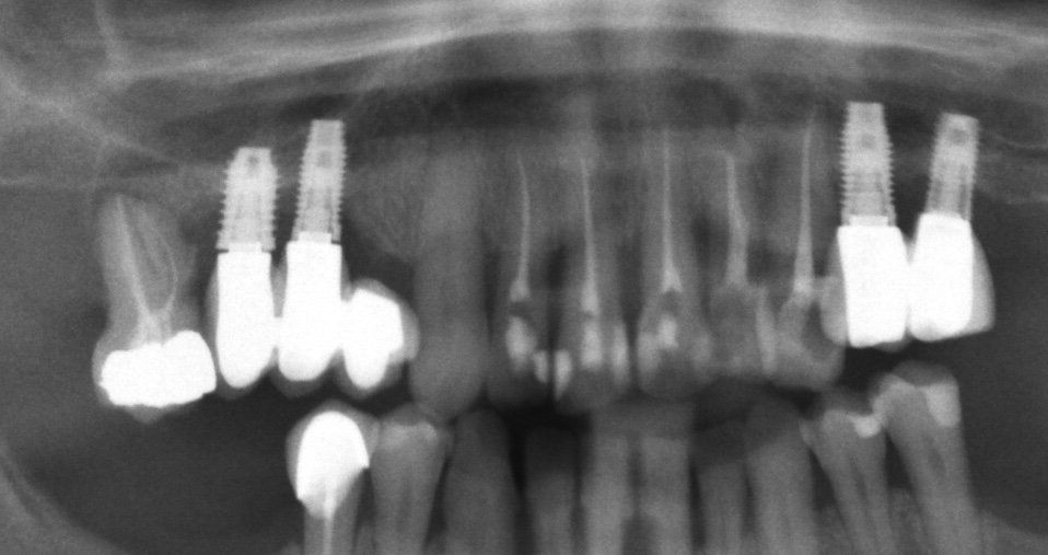
No tenemos información del modelo de implantes sup-inf
Acude paciente a nuestra clínica para ver si la podemos ayudar. No se sujetan bien las prótesis que lleva. La Clinica dónde le colocaron los implantes ha desaparecido. Necesitamos saber [...]
Acude paciente a nuestra clínica para ver si la podemos ayudar. No se sujetan bien las prótesis que lleva. La Clinica dónde le colocaron los implantes ha desaparecido. Necesitamos saber [...]
Buenos días colegas, me podrían colaborar con la marca de los implantes del cuadrante I. Podran ser alpha bio?? Muchas gracias
Buenas tardes, tenemos este implante en una pieza 36 y no sabemos que marca ni modelo es.
buenas tardes compañeros, me podriaid ayudar con la marca de estos implantes? muchas gracias por vuestra atencion, 1 saludo
Buenos días. No consigo descubrir que implante es. A ver si podéis ayudarme. Muchas gracias!
Como cirujano de una de la clinicas que colaboro me mandan esta rx para determinar que implantes lleva en el primer cuadrante para poder realizar la rehabilitacion protesica de nuevo.
Podéis identificar estos implantes?, conexión interna con un hexágono y luego otro hexágono más profundo con lóbulos, tornillo interno de métrica 1,8
Podéis identificar estos implantes?, conexión interna con un hexágono y luego otro hexágono más profundo con lóbulos, tornillo interno de métrica 1,8
Estos implantes fueron colocados en Madrid mas o menos por 1985. Quiero quitar la protesis y por mas que perforo no encuentro las chimeneas y me da miedo cargarme la [...]
Buenas tardes, me ayudais con el implante más mesial? Gracias