Implante desconocido
La paciente cree que el implante es phibo pero no esta segura. por lo que tenemos entendido phibo es compatible con 3I, pero los copings de 3I no nos funcionan. [...]
La paciente cree que el implante es phibo pero no esta segura. por lo que tenemos entendido phibo es compatible con 3I, pero los copings de 3I no nos funcionan. [...]
Buenas compañeros , me podrias ayudar con la marca de este implante? muchas gracias por vuestra labor y vuestra atencion, 1 saludo
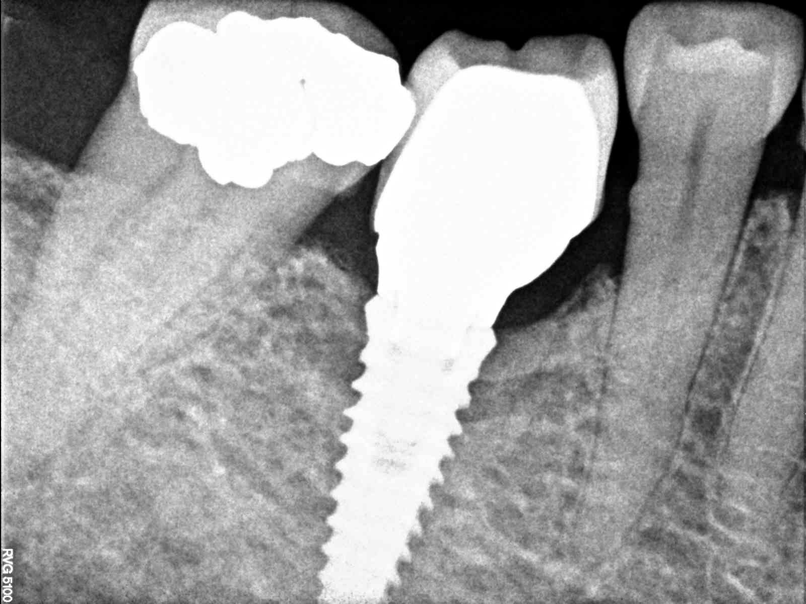
Quiero repetir la prótesis, por lo que necesito saber qué implantes son. Gracias
Buenas tardes Me llega este paciente de idental y soy incapaz de reconocer los implantes agradecería ayuda para identificarlos Muchísimas gracias
Hola. Enhorabuena en primer lugar por vuestra web, es una idea fantástica. Me animo a mandaros mi primer caso, es un implante que lleva un paciente y necesito saber la [...]
esta paciente se puso los implantes hace aproximandamente 20 años, en la clinica donde se los pusieron le dicen q no tienen su ficha y q pueden ser de 3i, [...]
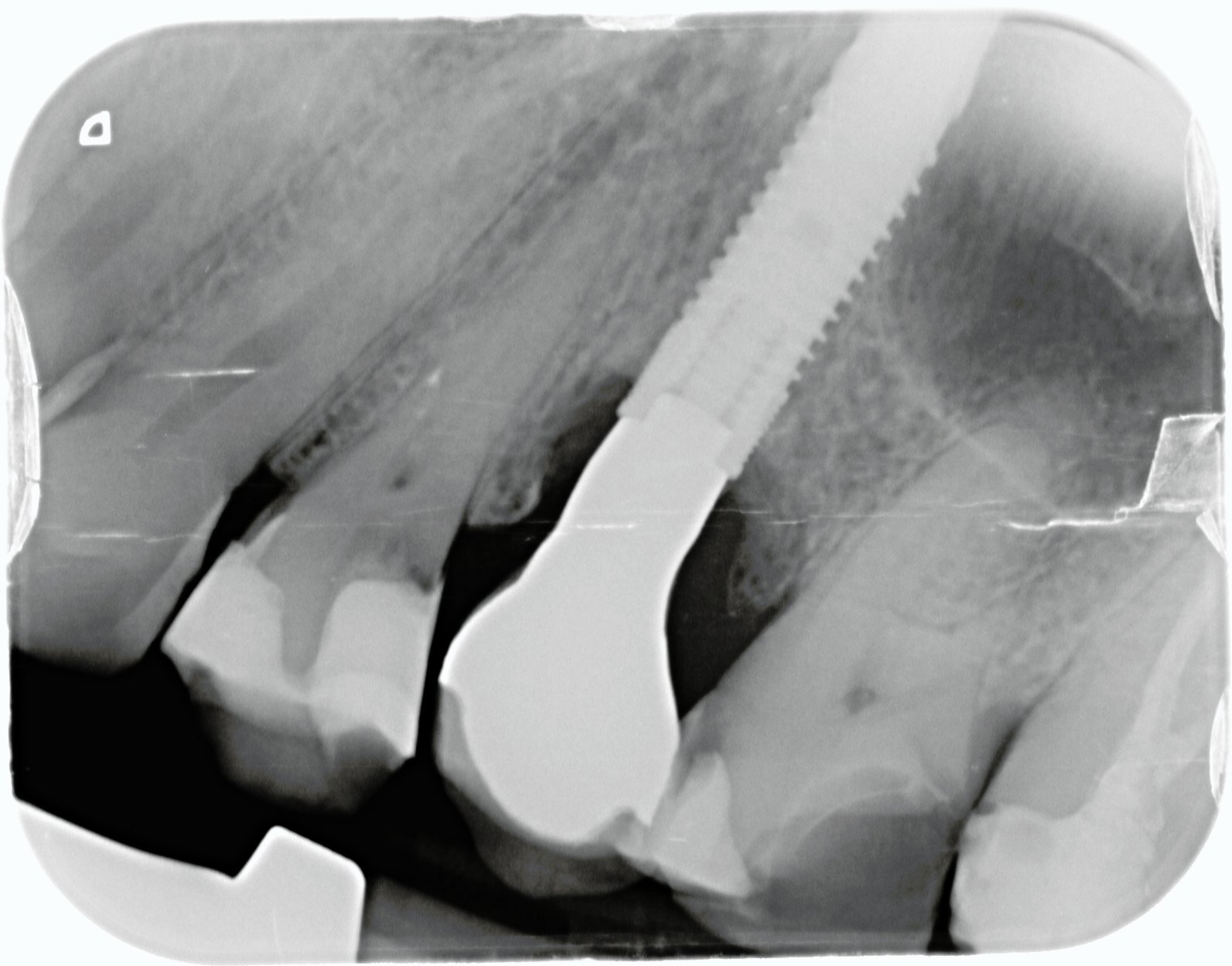
El paciente presenta movilidad en la corona del 25, y necesitamos saber de qué tipo de implante se trata para poder solicitar el instrumental necesario, ya que no quiere volver [...]
El paciente acude con fractura de los implantes 1.2 y 2.2. Necesitaríamos saber marca implante y conexión de los implantes 1.1 y 2.1. Saludos y gracias.
Hola a todos! Hace unos días acudió a consulta una paciente con una CSI que hay que cambiar por fractura de cerámica. Es de una clínica privada que ha cerrado [...]
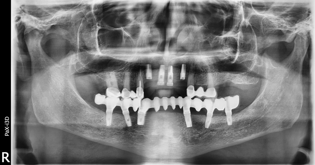
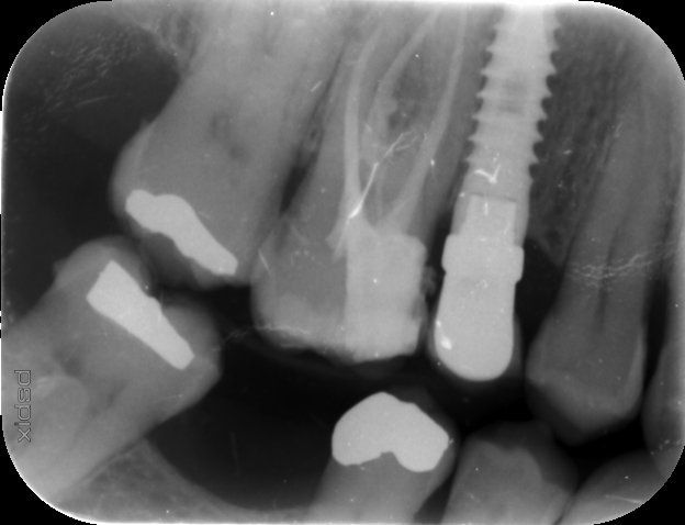
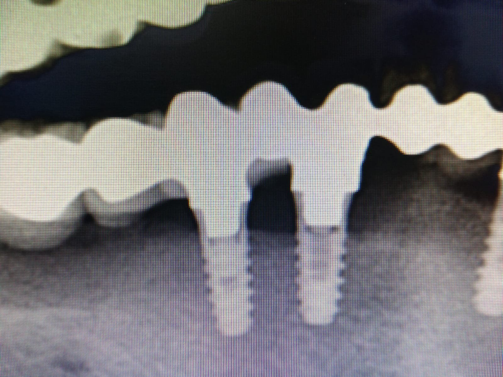
Hola , no sabemos que implante son el de 24 y 25 , si me podeis ayudar gracias.