multiunits
Estimados compañeros, me ha llegado esta paciente con un tornillo protesico roto dentro de este multiunit en un implante Astra Aqua ( creo) , me podríais decir con cual llave [...]
Implantes en 24 y 25 no se cual es
Necesito tomar medidas y no se cual es la marca,posiblemente se lo hapuesto en suiza,no se acuerda,hace unos 20 años
Marca del implante
Paciente de unos 40 años que hace 10 se puso este implante por un alumno de máster de implantes. Nunca ha estado cargado. No estamos seguros de que marca de [...]
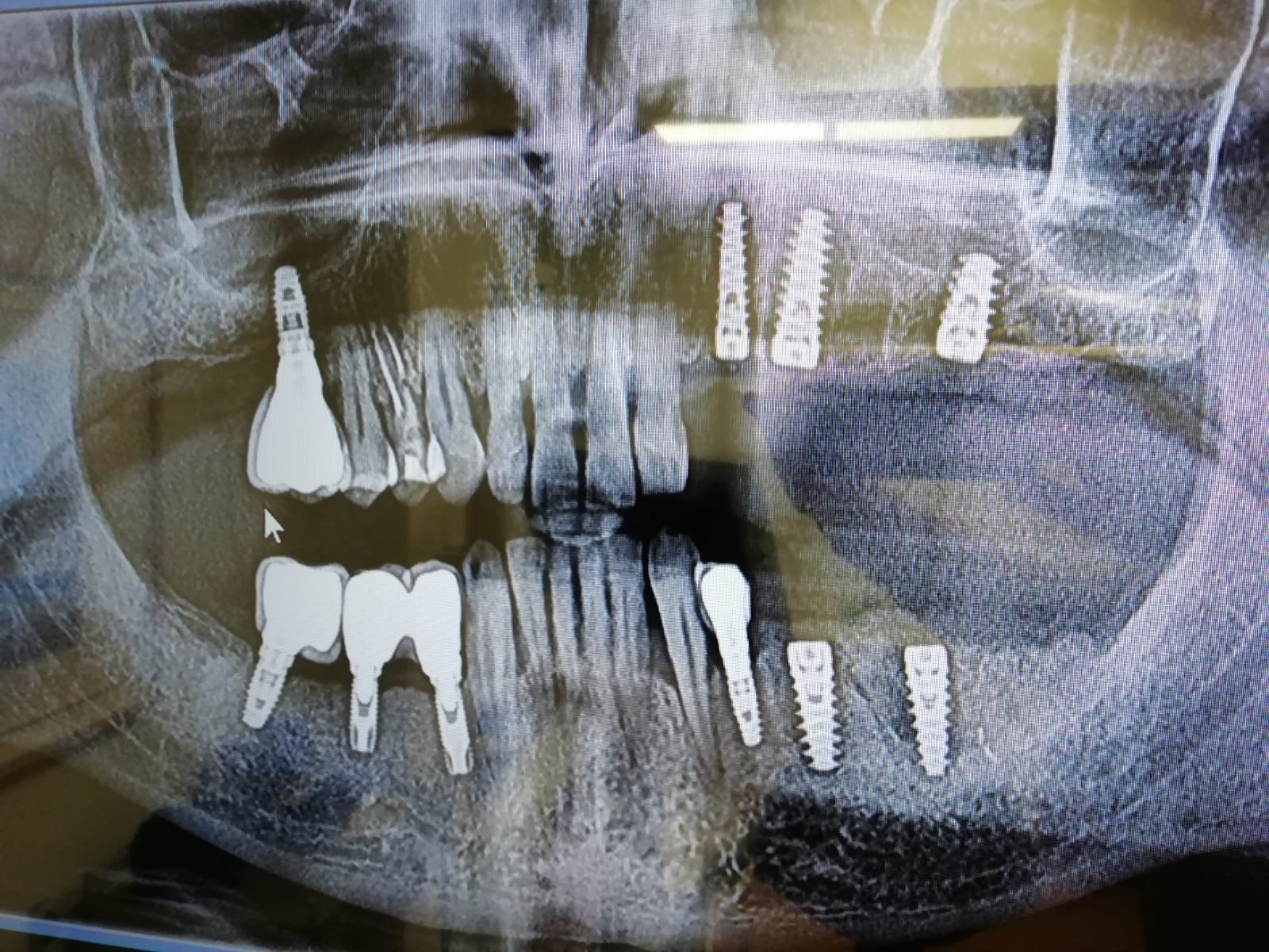
Implantes valencia 1
Necesito saber que marca de implantes son los dos de la derecha. Gracias
No se que sistema de implantes es el usado en este caso…
Paciente masculino de 60 años se presenta con un implante dental instalado en la zona de la pieza 36, instalado ya hace un año y nunca se realizo la rehabilitación [...]
No sé de qué implante se trata
Buenas tardes. Concurre paciente con emergentes ball- atache. Otro colega, le vendió el cambio de los pernos bolas por el desgaste que llevan. Pernos bolas tienen hexágono en parte superior [...]
Implante 47
Buenos días, nos ha llegado este caso en el que tenemos que cambiar la corona del 47, ¿sabríais decirme de qué implante se trata?, ¿sabéis si hay aditamentos para escanear [...]
Implante desconocido
Buenas Noches: Me gustaría saber qué tipos de implantes son estos, para poder rehabilitarlos Gracias









