Identificar implantes molares superiores
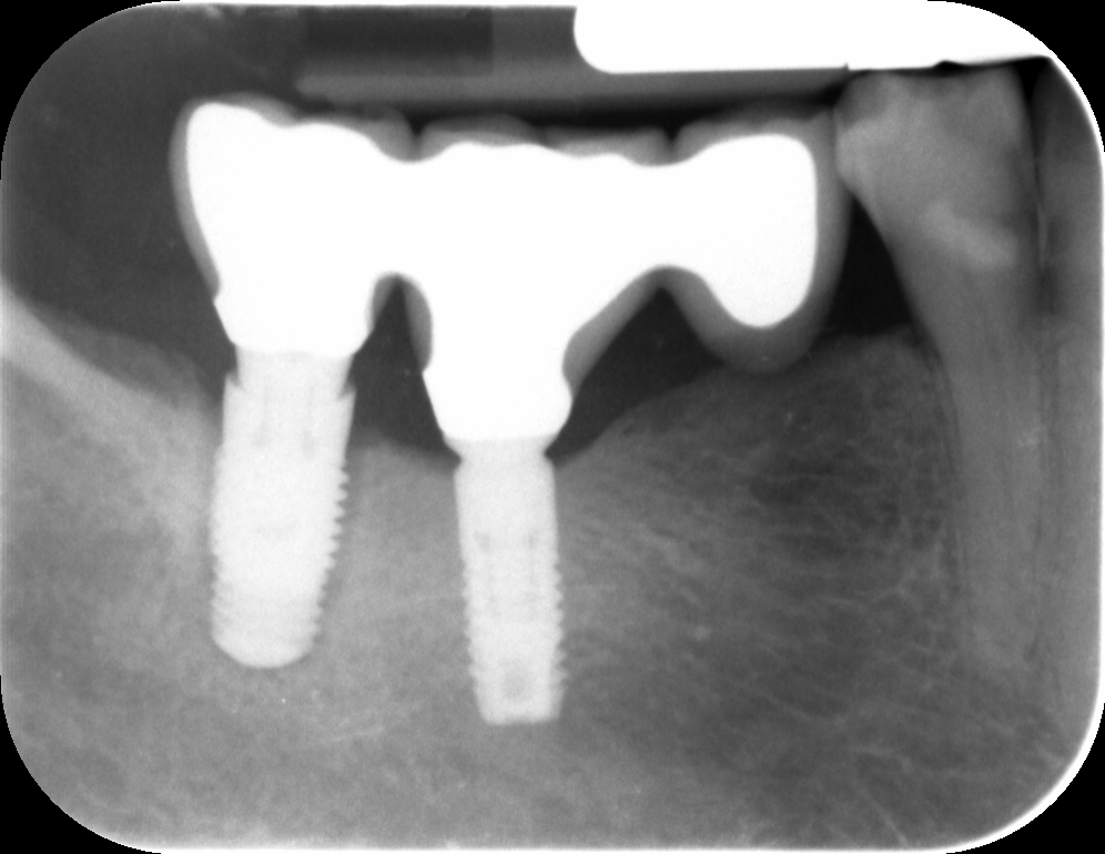
Paciente acude a consulta con los 4 implantes de los molares colocados , los cuales queremos usar junto a los otros 4 que hemos colocado para realizar una prótesis sobre [...]
Paciente acude a consulta con los 4 implantes de los molares colocados , los cuales queremos usar junto a los otros 4 que hemos colocado para realizar una prótesis sobre [...]
Placed in Mexico. Patient now int he U.S. Thanks, Darwin Implant Direct Technical Support
Hola comunidad, Os escribo porque me llegó un paciente con estos dos implantes en posición 46 y 47. No sabía muy bien de qué marca se trataba pero creí que [...]
Buenos días: Tengo el caso de esta paciente que lleva una prótesis cementada y tengo que levantarla para hacerla nueva. No sabemos que marca de implante es. Alguien podría ayudarme [...]
El implante 16 parece ser de una pieza con el pilar. El implante en 14 parece ser de una pieza con un cuello cerámico . Sabéis la marca . Microdent [...]
Esta paciente viene de otra clínica que cerró, y no hay manera de saber cuales son los implantes que lleva. Lleva una sobredentadura sobre una barra. Su problema es que [...]
Paciente que ha cambiado de ciudad y venia con corona desaflojada. Al soltarla se ve que es una conexión externa con corona cementada. ¿ Alguien sabría decirme que implante es?
Estos implantes llevan varios años en boca, completamente oseointegrados, pero necesitamos sustituir la prótesis por razones oclusales e higiénicas, ya que tienen una emergencia gingival en silla de montar absolutamente [...]
buenas tardes, Tengo un caso de un paciente con varios implantes que le pusieron en idental (todos los que aparecen el la rx). No tenemos a quien acudir para identificar [...]
POR FAVOR MIS QUERIDO COLEGAS AYÚDENME A IDENTIFICAR ESTE IMPLANTE TIENE BUENA OSEOINTEGRACION PERO E NECESARIO CAMBIAR LA PARTE PROTESICA FUE COLOCADO EN PERU HACE UNOS 5 AÑOS APARENTEMENTE PARECE [...]