IDENTIFICAR IMPLANTES DEL MAXILAR SUPERIOR
Paciente acude a consulta para rehabilitarlos. La clínica donde se los colocó cerró y no puede localizarlos
Paciente acude a consulta para rehabilitarlos. La clínica donde se los colocó cerró y no puede localizarlos
Buenas compañers! ¿Podríais ayudarme a identificar estos implantes colocados en arcada inferior en Idental, abril de 2018? Muchas gracias!!!
Buenos noches... Subo caso recibido.
Necesito identificar implantes superiores para cambiar protesis
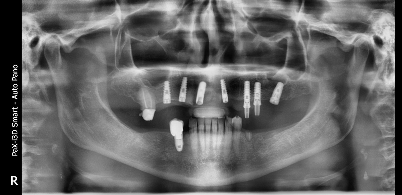
El paciente llega con estos implantes puestos en otra ciudad y sin coronas. Conexión interna. Podrian ayudarme para saber que implantes son?
Buenos días!! Este paciente nos visita por fractura de tornillo!
Tiene las bolas gastadas y las tengo que cambiar. Gracias y saludos